We use cookies to enhance the usability of our website. If you continue, we'll assume that you are happy to receive all cookies. More information. Don't show this again.
MVP
SECTIONS
  • TISSUE
  • BRAIN
  • SINGLE CELL TYPE
  • TISSUE CELL TYPE
  • PATHOLOGY
  • DISEASE
  • IMMUNE CELL
  • BLOOD PROTEIN
  • SUBCELLULAR
  • CELL LINE
  • STRUCTURE
  • INTERACTION
ABOUT
  • INTRODUCTION
  • HISTORY
  • ORGANIZATION
  • PUBLICATIONS
  • ANTIBODY SUBMISSION
  • ANTIBODY AVAILABILITY
  • ACKNOWLEDGMENTS
  • CONTACT
NEWS
  • NEWS ARTICLES
  • PRESS ROOM
LEARN
  • DICTIONARY
  • PROTEIN CLASSES
  • PROTEIN EVIDENCE
  • METHODS
  • EDUCATIONAL VIDEOS
DATA
  • DOWNLOADABLE DATA
  • PUBLICATION DATA
  • RELEASE HISTORY
  • SARS-COV-2
HELP
  • ANTIBODY VALIDATION
  • ASSAYS & ANNOTATION
  • DISCLAIMER
  • HELP & FAQ
  • PRIVACY STATEMENT
  • LICENCE & CITATION
Fields »
Search result

Field
Term
Gene name
Class
Subclass
Class
Keyword
Chromosome
External id
Tissue
Cell type
Expression
Patient ID
Tissue
Category
Cluster
Reliability
Brain region
Category
Brain region
Category
Brain region
Category
Cluster
Reliability
Cell type
Category
Cluster
Tissue
Cell type
Enrichment
Cancer
Prognosis
Cancer
Category
Cell type
Category
Cell lineage
Category
Cluster
Annotation
Disease
Location
Searches
Location
Cell line
Type
Phase
Reliability
Cancer type
Category
Cluster
Interacting gene
Number of interactions
Pathway
Category
Score
Score
Score
Validation
Validation
Validation
Validation
Antibodies
Protein structure
In atlas
Column


  • SUMMARY

  • TISSUE

  • BRAIN

  • SINGLE CELL

  • TISSUE CELL

  • PATHOLOGY

  • DISEASE

  • IMMUNE

  • BLOOD

  • SUBCELL

  • CELL LINE

  • STRUCTURE

  • INTERACTION

  • MVP
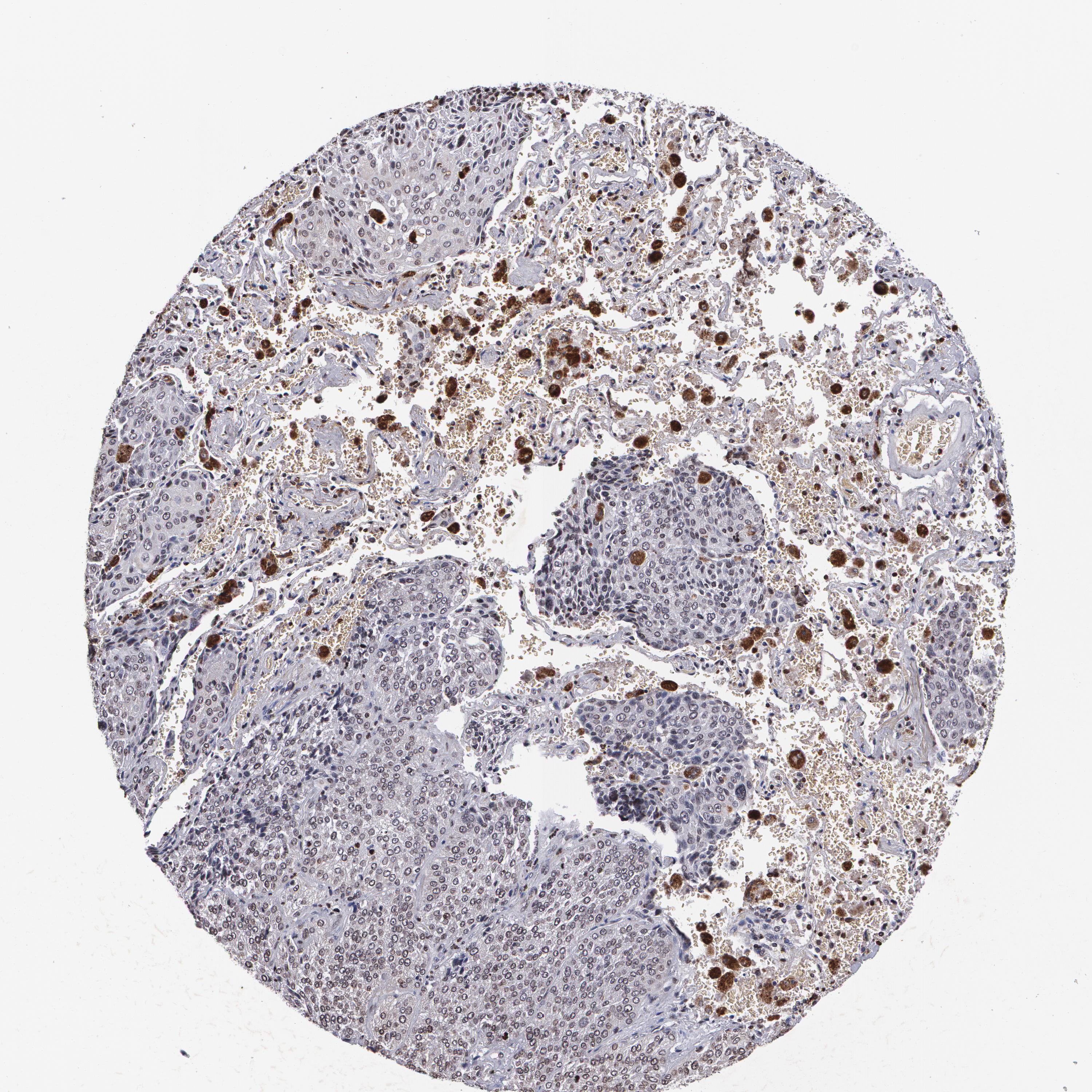
PATHOLOGY LUNG CANCER Show tissue menu
BREAST CANCER CARCINOID CERVICAL CANCER COLORECTAL CANCER ENDOMETRIAL CANCER GLIOMA HEAD AND NECK CANCER LIVER CANCER LUNG CANCER LYMPHOMA
MELANOMA OVARIAN CANCER PANCREATIC CANCER PROSTATE CANCER RENAL CANCER SKIN CANCER STOMACH CANCER TESTIS CANCER THYROID CANCER UROTHELIAL CANCER
LUAD LUSC
ANTIBODIES
AND
VALIDATION
Dictionary
Lung cancer
Human pathology
Lung cancer
LUNG CANCER - Interactive survival scatter ploti

The Survival Scatter plot shows the clinical status (i.e. dead or alive) for all individuals in the patient cohort, based on the same data that underlies the corresponding Kaplan-Meier plots. Patients that are alive at last time for follow-up are shown in blue and patients who have died during the study are shown in red.

The x-axis shows the expression levels (FPKM) of the investigated gene in the tumor tissue at the time of diagnosis. The y-axis shows the follow-up time after diagnosis (years). Both axes are complimented with kernel density curves demonstrating the data density over the axes. The top density plot shows the expression levels (FPKM) distribution among dead (red) and alive patients (blue). The right density plot shows the data density of the survived years of dead patients with high and low expression levels respectively, stratified using the cutoff indicated by the vertical dashed line through the Survival Scatter plot. This cutoff is automatically defined based on the FPKM cutoff that minimizes the p-score. The cutoff can be changed by dragging the vertical line or by entering a cutoff value in the square labeled "Current cut-off".

Under the Survival Scatter plot the p-score landscape (black curve; left axis) is shown together with dead median separation (red curve; right axis). Dead median separation is the difference in median mRNA expression between patients who have died with high and low expression, respectively. It is calculated as follows: median FPKM expression of dead patients with high expression - median FPKM expression of dead patients with low expression. This is intended to aid the user in visually exploring custom cutoffs and the associated p-scores and dead median separation.

Individual patient data is displayed and can be filtered by clicking on one or more of the category buttons on the top of the page. Categories describing expression level and patient information include: high, low, alive, dead, female, male and tumor stages. The scale of the x-axis can be toggled between linear and log-scale by clicking on the "x log" button. Mouse-over function shows TCGA ID, patient information and mRNA expression (FPKM) for each patient.

& Survival analysisi

Kaplan-Meier plots summarize results from analysis of correlation between mRNA expression level and patient survival. Patients were divided based on level of expression into one of the two groups "low" (under cut off) or "high" (over cut off). X-axis shows time for survival (years) and y-axis shows the probability of survival, where 1.0 corresponds to 100 percent.

MVP is not prognostic in lung cancer


Stage:


Survival analysis
Current cut offi

Current cut-off shows the cut-off (FPKM) currently selected. It may be changed manually. When the current cut-off is changed, the vertical dashed line indicating cut-off, the interactive survival scatter plot and the Kaplan-Meier curve will be automatically adjusted to show results accordingly.

:
Best expression cut offi

Based on the FPKM value of each gene, patients were classified into two groups and association between prognosis (survival) and gene expression (FPKM) was examined. The best expression cut-off refers the FPKM value that yields maximal difference with regard to survival between the two groups at the lowest log-rank P-value. Best expression cut-off was selected based on survival analysis .

When clicking on this number, the vertical dashed line indicating cut-off, the interactive survival plot, and the Kaplan-Meier curve will be adjusted to show results based on the best expression cut-off.

: 69.21
Median expressioni

Median expression refers to the median FPKM value calculated based on the gene expression (FPKM) data from all patients in this dataset. When clicking on this number, the vertical dashed line indicating cut-off, the interactive survival plot, and the Kaplan-Meier curve will be adjusted to show results based on the median expression.

: N/A
Median follow up timei

Median follow up time refers to the median time (years) after diagnosis with this type of cancer, based on clinical data from all patients in this dataset.

: N/A
P scorei

Log-rank P value for Kaplan-Meier plot showing results from analysis of correlation between mRNA expression level and patient survival.

N/A
5-year survival highi

5-year survival for patients with higher expression than the expression cutoff.

For melanoma and glioma, 3-year survival is shown.

N/A
5-year survival lowi

5-year survival for patients with lower expression than the expression cutoff.

For melanoma and glioma, 3-year survival is shown.

N/A
TCGA RNA samplesi

RNA-seq data is reported as average FPKM (number Fragments Per Kilobase of exon per Million reads), generated by the The Cancer Genome Atlas (TCGA) .

Normal distribution across the dataset is visualized with box plots, shown as median and 25th and 75th percentiles. Points are displayed as outliers if they are above or below 1.5 times the interquartile range. FPKM values of the individual samples are presented next to the box plot.

Average FPKM 49.0
Number of samples 994
Samples
Sample Description FPKM
TCGA-MP-A4SW-01A 53 years, male, white, stage:iib, dead, 1778 days 232.6
TCGA-O1-A52J-01A 74 years, female, white, stage:ia, dead, 1798 days 229.6
TCGA-50-8460-01A 74 years, male, white, stage:ia, alive, 829 days 203.9
TCGA-67-6215-01A 52 years, female, white, stage:ib, alive, 174 days 197.9
TCGA-78-7163-01A 60 years, male, white, stage:ib, alive, 7248 days 178.3
TCGA-69-A59K-01A 60 years, female, black or african american, stage:iib, alive, 522 days 170.8
TCGA-55-7281-01A 70 years, female, white, stage:ia, alive, 872 days 170.7
TCGA-78-7535-01A 45 years, male, white, stage:ib, dead, 949 days 169.4
TCGA-44-A47A-01A 78 years, female, white, stage:ib, alive, 466 days 163.0
TCGA-86-8673-01A 61 years, male, white, stage:ib, alive, 862 days 158.7
TCGA-NJ-A4YI-01A 87 years, female, white, stage:iiia, dead, 4 days 158.5
TCGA-NJ-A7XG-01A 49 years, male, black or african american, stage:iiia, alive, 617 days 157.2
TCGA-97-7547-01A 67 years, female, white, stage:ib, alive, 1965 days 156.3
TCGA-55-8506-01A 62 years, female, white, stage:iib, alive, 11 days 152.1
TCGA-49-4490-01A 45 years, female, white, stage:iiia, dead, 385 days 151.8
TCGA-78-7152-01A 65 years, male, white, stage:ib, dead, 1215 days 147.7
TCGA-78-7542-01A 56 years, male, white, stage:ib, dead, 321 days 145.5
TCGA-NJ-A4YG-01A 65 years, male, white, stage:ib, alive, 2261 days 139.5
TCGA-75-7025-01A male, stage:ib, alive, 3305 days 137.8
TCGA-86-8668-01A 61 years, female, white, stage:ia, alive, 423 days 136.7
TCGA-86-8278-01A 63 years, female, white, stage:iib, alive, 944 days 136.3
TCGA-97-8171-01A 81 years, male, asian, stage:iv, alive, 568 days 131.2
TCGA-55-8090-01A 80 years, male, white, stage:ia, dead, 598 days 129.1
TCGA-MP-A4T6-01A 76 years, female, white, stage:iiia, dead, 1790 days 129.1
TCGA-55-8096-01A 67 years, female, white, stage:ib, dead, 719 days 127.4
TCGA-95-A4VK-01A 74 years, female, white, stage:iiia, alive, 651 days 127.1
TCGA-75-6212-01A female, stage:iib, dead, 1516 days 125.0
TCGA-44-7659-01A 70 years, male, white, stage:ia, alive, 691 days 124.5
TCGA-55-A57B-01A 80 years, female, black or african american, stage:ia, alive, 546 days 123.7
TCGA-55-7576-01A 54 years, male, black or african american, stage:ib, alive, 670 days 122.9
TCGA-69-8254-01A 85 years, male, white, alive, 409 days 122.9
TCGA-L9-A50W-01A 75 years, male, black or african american, stage:iia, dead, 442 days 122.4
TCGA-50-6593-01A 49 years, female, white, stage:iiia, dead, 336 days 120.2
TCGA-55-7227-01A 77 years, male, white, stage:iiia, dead, 952 days 118.6
TCGA-55-6712-01A male, white, stage:iia, dead, 171 days 117.9
TCGA-50-8457-01A 63 years, female, black or african american, stage:ia, alive, 1125 days 117.6
TCGA-93-7348-01A 75 years, female, white, stage:ia, alive, 531 days 117.4
TCGA-71-8520-01A 60 years, female, asian, stage:ib, dead, 210 days 117.2
TCGA-J2-A4AG-01A 66 years, female, white, stage:ia, alive, 988 days 115.9
TCGA-62-8397-01A 70 years, female, white, stage:iib, alive, 1289 days 113.7
TCGA-44-6779-01A 50 years, female, white, stage:iib, dead, 500 days 113.5
TCGA-55-6982-01A female, white, stage:iib, dead, 995 days 112.6
TCGA-NJ-A4YP-01A 52 years, male, white, stage:ib, alive, 50 days 112.2
TCGA-55-A48X-01A 63 years, female, white, stage:iia, alive, 689 days 111.9
TCGA-97-A4M7-01A 74 years, male, white, stage:ia, alive, 629 days 111.8
TCGA-55-6980-01A male, white, stage:ia, alive, 2109 days 111.6
TCGA-97-7941-01A 72 years, female, white, stage:ia, alive, 484 days 111.3
TCGA-55-8510-01A 55 years, female, white, stage:ib, alive, 539 days 110.8
TCGA-49-AARN-01A 56 years, female, black or african american, stage:ia, dead, 1135 days 109.9
TCGA-71-6725-01A 48 years, female, asian, stage:ib, alive, 256 days 109.9
TCGA-05-4403-01A 76 years, male, stage:ib, alive, 578 days 109.2
TCGA-67-6216-01A 57 years, female, white, stage:ia, alive, 141 days 109.1
TCGA-62-A46Y-01A 70 years, female, white, stage:iiia, dead, 414 days 108.7
TCGA-55-8514-01A 70 years, female, black or african american, stage:ib, alive, 520 days 108.3
TCGA-55-7283-01A 76 years, female, white, stage:iiia, alive, 609 days 108.1
TCGA-85-A513-01A 60 years, female, asian, stage:ia, alive, 910 days 105.7
TCGA-86-A4JF-01A 56 years, male, white, stage:iib, dead, 737 days 105.4
TCGA-78-7540-01A 66 years, female, white, stage:ib, dead, 1197 days 105.0
TCGA-95-7947-01A 67 years, male, white, stage:ia, alive, 477 days 104.9
TCGA-MP-A4TA-01A 75 years, female, white, stage:ia, dead, 950 days 104.2
TCGA-MN-A4N5-01A 63 years, male, white, stage:ia, alive, 84 days 103.9
TCGA-78-7158-01A 59 years, female, white, stage:iiib, dead, 179 days 102.9
TCGA-49-AAR4-01A 51 years, male, black or african american, stage:iiia, dead, 879 days 102.5
TCGA-49-4512-01A 69 years, female, white, stage:iiia, dead, 905 days 101.9
TCGA-73-4658-01A 80 years, female, white, stage:ib, dead, 1600 days 101.7
TCGA-62-A46S-01A 73 years, male, white, stage:ib, dead, 1653 days 101.6
TCGA-78-7156-01A 62 years, male, white, stage:iv, dead, 976 days 101.3
TCGA-97-8547-01A 78 years, female, stage:iiia, alive, 657 days 101.1
TCGA-97-A4M0-01A 60 years, female, white, stage:ib, alive, 652 days 100.8
TCGA-55-7284-01B 74 years, male, white, stage:iib, dead, 243 days 100.4
TCGA-55-8302-01A 54 years, male, white, stage:ib, alive, 478 days 100.4
TCGA-55-8511-01A 73 years, female, white, stage:ib, alive, 552 days 100.1
TCGA-38-6178-01A 70 years, female, white, stage:iiia, alive, 448 days 100.1
TCGA-50-6673-01A 84 years, female, white, stage:i, dead, 22 days 99.9
TCGA-44-2659-01A 65 years, female, white, stage:iib, alive, 1367 days 99.5
TCGA-73-4666-01A 52 years, female, white, stage:iv, alive, 800 days 99.3
TCGA-55-7994-01A 81 years, male, white, stage:iib, alive, 603 days 99.2
TCGA-99-7458-01A 74 years, female, white, stage:iiia, alive, 747 days 99.2
TCGA-55-7728-01A 64 years, female, white, stage:ib, alive, 704 days 98.1
TCGA-44-2666-01A 43 years, male, white, stage:ib, dead, 97 days 97.8
TCGA-49-4488-01A 74 years, female, white, stage:ia, dead, 869 days 97.2
TCGA-64-1679-01A 58 years, female, white, stage:iiia, alive, 2488 days 97.2
TCGA-78-7145-01A 52 years, female, white, stage:iv, dead, 826 days 96.7
TCGA-93-7347-01A 76 years, female, white, stage:ia, alive, 683 days 96.2
TCGA-55-7573-01A 72 years, female, white, stage:ia, alive, 487 days 95.6
TCGA-80-5608-01A female, stage:ia, alive, 2832 days 94.3
TCGA-67-6217-01A 73 years, female, white, stage:iia, alive, 422 days 94.1
TCGA-53-7626-01A 76 years, female, white, stage:iia, dead, 929 days 94.1
TCGA-91-A4BD-01A 78 years, male, white, stage:iia, alive, 603 days 94.1
TCGA-49-6744-01A 64 years, female, white, stage:iia, alive, 1683 days 93.9
TCGA-05-4433-01A 82 years, male, stage:ib, alive, 730 days 93.0
TCGA-78-7537-01A 72 years, male, stage:ib, dead, 1622 days 92.9
TCGA-69-8253-01A 59 years, female, black or african american, stage:iia, alive, 426 days 92.3
TCGA-55-6984-01A female, white, stage:iib, dead, 760 days 92.3
TCGA-55-8619-01A 72 years, female, white, stage:iib, alive, 416 days 91.9
TCGA-95-8039-01A 72 years, male, white, stage:ia, alive, 830 days 91.7
TCGA-NC-A5HK-01A 58 years, female, white, stage:iib, alive, 128 days 91.6
TCGA-50-5941-01A 55 years, female, white, stage:iiia, alive, 1474 days 91.4
TCGA-69-8453-01A 77 years, male, white, stage:iib, alive, 788 days 91.2
TCGA-67-3773-01A 84 years, female, white, stage:ib, alive, 427 days 91.0
TCGA-55-8301-01A 59 years, male, white, stage:ib, alive, 534 days 90.6
TCGA-05-4249-01A 67 years, male, stage:ib, alive, 1523 days 90.5
TCGA-44-A4SU-01A 68 years, female, white, stage:ia, dead, 409 days 90.2
TCGA-49-AAQV-01A 64 years, female, black or african american, stage:ii, dead, 677 days 89.9
TCGA-97-A4LX-01A 81 years, male, white, stage:ib, alive, 614 days 89.8
TCGA-67-3772-01A 82 years, female, white, stage:ib, alive, 573 days 89.7
TCGA-49-AARE-01A 51 years, female, black or african american, stage:ia, dead, 1229 days 89.5
TCGA-86-8671-01A 72 years, female, white, stage:iib, alive, 839 days 89.4
TCGA-67-4679-01B 69 years, male, white, alive, 448 days 88.8
TCGA-64-5815-01A 74 years, male, white, stage:iib, alive, 866 days 88.7
TCGA-50-5044-01A 72 years, female, white, stage:iiib, dead, 624 days 88.6
TCGA-44-2665-01A 55 years, female, white, stage:iib, alive, 1301 days 88.3
TCGA-55-A493-01A 54 years, female, white, stage:ib, alive, 28 days 87.9
TCGA-38-4625-01A 66 years, female, white, stage:ib, alive, 2973 days 87.5
TCGA-97-A4M6-01A 45 years, female, white, stage:ia, alive, 568 days 87.1
TCGA-97-7546-01A 76 years, female, white, stage:ia, alive, 1285 days 87.0
TCGA-97-8177-01A 59 years, female, white, stage:ib, alive, 499 days 86.5
TCGA-L9-A443-01A 63 years, female, white, stage:ia, dead, 193 days 86.2
TCGA-86-8674-01A 50 years, male, white, stage:iia, alive, 806 days 86.2
TCGA-MP-A4SV-01A 67 years, male, stage:ib, dead, 2620 days 85.9
TCGA-97-A4M1-01A 52 years, female, white, stage:ia, alive, 601 days 85.9
TCGA-05-5715-01A 69 years, female, stage:ib, alive, 62 days 85.6
TCGA-44-A47G-01A 73 years, female, white, stage:ia, alive, 351 days 85.2
TCGA-73-4668-01A 66 years, female, american indian or alaska native, stage:iib, alive, 467 days 85.1
TCGA-97-A4M5-01A 84 years, male, white, stage:ia, alive, 634 days 84.7
TCGA-95-7039-01A 54 years, female, white, stage:iib, alive, 1272 days 84.4
TCGA-44-6776-01A 60 years, female, white, stage:ia, alive, 2616 days 84.2
TCGA-49-6742-01A 70 years, male, white, stage:iia, dead, 488 days 84.0
TCGA-64-5775-01A 71 years, male, white, stage:iiia, dead, 62 days 83.9
TCGA-86-8280-01A 54 years, female, white, stage:iia, alive, 701 days 83.5
TCGA-55-6983-01A male, white, stage:iib, alive, 2823 days 83.5
TCGA-70-6722-01A 47 years, male, asian, stage:iiia, alive, 367 days 83.4
TCGA-55-8513-01A 77 years, female, white, stage:iib, alive, 791 days 83.3
TCGA-86-8279-01A 46 years, male, white, stage:iia, alive, 949 days 83.2
TCGA-62-A46R-01A 54 years, female, white, stage:ib, dead, 1725 days 82.7
TCGA-38-A44F-01A 80 years, male, white, stage:ib, alive, 133 days 82.6
TCGA-64-1680-01A 63 years, male, white, stage:iv, alive, 1126 days 82.5
TCGA-MP-A4TI-01A 72 years, male, white, stage:iia, dead, 429 days 82.5
TCGA-MP-A4TC-01A 78 years, male, white, stage:iiia, dead, 74 days 82.3
TCGA-86-A456-01A 78 years, female, asian, stage:ia, alive, 896 days 82.2
TCGA-55-8203-01A 69 years, female, white, stage:ia, alive, 547 days 82.1
TCGA-50-5936-01A 58 years, male, white, stage:iiia, dead, 257 days 81.6
TCGA-44-6775-01A 72 years, female, white, stage:ib, alive, 705 days 81.5
TCGA-44-A47B-01A 79 years, male, white, stage:ib, alive, 287 days 81.4
TCGA-55-8207-01A 73 years, male, white, stage:ib, alive, 977 days 81.1
TCGA-44-6146-01A 64 years, male, white, stage:iib, alive, 728 days 80.7
TCGA-55-6543-01A female, white, stage:ia, alive, 435 days 80.6
TCGA-68-7757-01B 74 years, male, white, stage:ia, alive, 211 days 80.6
TCGA-64-1681-01A 61 years, female, white, stage:ia, dead, 1167 days 80.4
TCGA-05-4426-01A 71 years, male, stage:ib, alive, 791 days 80.2
TCGA-MP-A4SY-01A 61 years, male, white, stage:iib, dead, 1501 days 80.0
TCGA-55-8512-01A 41 years, male, white, stage:iv, dead, 607 days 79.8
TCGA-86-7953-01A 69 years, female, white, stage:ia, alive, 997 days 79.8
TCGA-49-AARO-01A 39 years, female, black or african american, stage:ia, alive, 3759 days 79.6
TCGA-63-A5MN-01A 78 years, female, stage:iib, dead, 345 days 79.3
TCGA-38-4626-01A 57 years, female, white, alive, 3674 days 79.2
TCGA-05-5423-01A 65 years, male, stage:iib, alive, 151 days 79.1
TCGA-J2-8192-01A 65 years, female, white, stage:iia, alive, 739 days 78.7
TCGA-50-5932-01A 75 years, male, white, stage:iib, dead, 1235 days 78.7
TCGA-97-7552-01A 70 years, male, white, stage:ib, alive, 1932 days 78.2
TCGA-MP-A4T7-01A 75 years, female, stage:iv, dead, 167 days 77.8
TCGA-97-8172-01A 75 years, female, white, stage:ib, alive, 545 days 77.7
TCGA-77-8130-01A 69 years, male, stage:iib, alive, 4765 days 77.6
TCGA-62-A472-01A 70 years, male, white, stage:iib, alive, 910 days 77.5
TCGA-55-8089-01A 56 years, male, white, stage:ia, dead, 702 days 77.4
TCGA-62-8395-01A 80 years, female, white, stage:iib, alive, 1216 days 77.1
TCGA-NJ-A55O-01A 56 years, female, white, stage:iia, alive, 13 days 77.0
TCGA-78-8655-01A 77 years, female, stage:ia, alive, 2360 days 76.7
TCGA-73-4675-01A 59 years, male, white, stage:iiia, dead, 922 days 76.4
TCGA-49-AAR3-01A 69 years, male, black or african american, stage:iib, alive, 1893 days 76.4
TCGA-90-A59Q-01A 61 years, female, white, stage:iia, dead, 322 days 76.4
TCGA-MP-A4T9-01A 54 years, female, white, stage:iiia, dead, 1265 days 76.2
TCGA-55-8097-01A 60 years, female, white, stage:ia, alive, 476 days 75.8
TCGA-69-7764-01A 75 years, male, white, stage:ia, alive, 414 days 75.6
TCGA-L9-A444-01A 60 years, female, white, stage:ia, alive, 307 days 75.6
TCGA-69-7761-01A 85 years, male, white, stage:ib, alive, 186 days 75.5
TCGA-50-5935-01A 86 years, female, white, stage:ia, dead, 653 days 75.2
TCGA-55-8091-01A 75 years, male, white, stage:ib, alive, 600 days 75.2
TCGA-O2-A52Q-01A 45 years, female, white, stage:iii, dead, 113 days 75.2
TCGA-91-6849-01A 75 years, female, black or african american, stage:iiia, alive, 35 days 75.1
TCGA-97-7937-01A 65 years, male, white, stage:ib, alive, 564 days 75.1
TCGA-55-8616-01A 58 years, female, white, stage:ib, alive, 48 days 74.8
TCGA-MP-A4TH-01A 70 years, female, white, stage:ia, alive, 741 days 74.7
TCGA-44-7671-01A 64 years, male, black or african american, stage:ib, alive, 889 days 74.5
TCGA-44-2655-01A 65 years, female, white, stage:ia, alive, 1324 days 74.5
TCGA-73-4662-01A 65 years, female, white, stage:ia, alive, 2515 days 74.1
TCGA-05-4405-01A 74 years, female, stage:ib, alive, 610 days 73.9
TCGA-86-A4P7-01A 63 years, female, white, stage:ib, alive, 415 days 73.8
TCGA-55-8621-01A 75 years, female, white, stage:ia, alive, 515 days 73.6
TCGA-L4-A4E5-01A 48 years, female, white, stage:i, alive, 578 days 73.5
TCGA-55-A492-01A 70 years, female, white, stage:ia, alive, 596 days 73.5
TCGA-95-8494-01A 67 years, male, white, stage:iia, alive, 84 days 73.4
TCGA-86-8055-01A 79 years, male, white, stage:iia, dead, 124 days 73.3
TCGA-55-8508-01A 60 years, female, black or african american, stage:iia, alive, 617 days 73.2
TCGA-05-4250-01A 79 years, female, stage:iiia, dead, 121 days 73.1
TCGA-80-5611-01A male, stage:ib, alive, 2595 days 72.9
TCGA-L9-A743-01A 56 years, male, black or african american, stage:iia, alive, 664 days 72.9
TCGA-62-8398-01A 55 years, male, white, stage:iiia, dead, 444 days 72.8
TCGA-86-8056-01A 64 years, female, white, stage:iiia, alive, 139 days 72.7
TCGA-44-7672-01A 52 years, female, white, stage:ia, alive, 719 days 72.5
TCGA-69-7974-01A 54 years, female, white, stage:iiia, alive, 184 days 72.4
TCGA-49-4505-01A 61 years, female, white, stage:iib, dead, 428 days 72.4
TCGA-63-7020-01A male, stage:ia, alive, 2133 days 72.3
TCGA-78-7148-01A 71 years, male, white, stage:iib, dead, 626 days 72.3
TCGA-22-5472-01A 67 years, male, white, stage:ib, dead, 1975 days 72.2
TCGA-78-8640-01A 59 years, male, stage:iia, alive, 7062 days 72.2
TCGA-L9-A5IP-01A 40 years, female, black or african american, stage:iv, dead, 58 days 72.2
TCGA-55-6985-01A 58 years, female, white, stage:ib, alive, 1233 days 72.2
TCGA-97-8179-01A 72 years, male, white, stage:ia, alive, 435 days 72.2
TCGA-43-2576-01A 62 years, female, white, stage:iiia, alive, 1223 days 72.1
TCGA-55-6986-01A female, white, stage:ib, alive, 3261 days 72.1
TCGA-73-7498-01A 58 years, female, white, stage:ia, alive, 1189 days 72.0
TCGA-50-8459-01A 68 years, male, white, stage:iib, alive, 1119 days 71.6
TCGA-97-A4M3-01A 69 years, female, white, stage:ia, alive, 540 days 71.5
TCGA-95-A4VN-01A 62 years, female, white, stage:iia, alive, 553 days 71.1
TCGA-77-A5G1-01A 75 years, male, stage:iiia, alive, 4026 days 71.0
TCGA-91-7771-01A 62 years, male, white, stage:iib, alive, 492 days 70.9
TCGA-93-8067-01A 77 years, male, asian, stage:ib, alive, 186 days 70.9
TCGA-50-6597-01A 79 years, female, white, stage:ib, dead, 1268 days 70.6
TCGA-49-6745-01A 82 years, male, white, stage:iiia, alive, 522 days 70.5
TCGA-55-1592-01A male, white, stage:ia, dead, 701 days 70.4
TCGA-05-4384-01A 66 years, male, stage:iiia, alive, 426 days 70.2
TCGA-86-7714-01A 61 years, female, black or african american, stage:iiia, dead, 625 days 70.1
TCGA-S2-AA1A-01A 68 years, female, black or african american, stage:ia, alive, 513 days 70.1
TCGA-77-8007-01A 68 years, male, stage:iib, dead, 198 days 69.7
TCGA-78-7153-01A 65 years, female, white, stage:ib, alive, 3635 days 69.7
TCGA-55-7911-01A 70 years, female, white, stage:ia, alive, 537 days 69.7
TCGA-05-4398-01A 47 years, female, stage:iiib, alive, 1431 days 69.7
TCGA-86-8669-01A 64 years, male, white, stage:ia, alive, 938 days 69.6
TCGA-49-AARR-01A 68 years, male, black or african american, stage:ia, alive, 4992 days 69.5
TCGA-56-A4ZJ-01A 75 years, female, white, stage:ia, alive, 640 days 69.2
TCGA-MP-A4TJ-01A 62 years, female, stage:ia, dead, 339 days 69.2
TCGA-97-7554-01A 83 years, female, white, stage:iiia, alive, 775 days 68.8
TCGA-75-5125-01A male, stage:iib, dead, 2027 days 68.8
TCGA-55-8505-01A 62 years, male, white, stage:iiia, alive, 440 days 68.8
TCGA-44-A4SS-01A 73 years, male, white, stage:ia, alive, 415 days 68.6
TCGA-22-1017-01A 62 years, male, white, stage:ia, dead, 1485 days 68.5
TCGA-95-7567-01A 61 years, male, white, stage:iib, alive, 568 days 68.2
TCGA-90-7964-01A 70 years, male, white, stage:ib, alive, 428 days 68.1
TCGA-56-7731-01A 66 years, female, white, stage:ib, dead, 3 days 68.1
TCGA-44-4112-01A 60 years, female, white, stage:ib, dead, 808 days 67.9
TCGA-NJ-A55A-01A 76 years, female, white, stage:ib, alive, 15 days 67.8
TCGA-73-4677-01A 75 years, male, white, dead, 38 days 67.7
TCGA-86-6562-01A 52 years, male, white, stage:iia, dead, 376 days 67.6
TCGA-77-8154-01A 67 years, male, stage:ia, alive, 1841 days 67.3
TCGA-05-5429-01A 60 years, male, stage:iiia, dead, 275 days 67.2
TCGA-55-8205-01A 76 years, female, white, stage:iia, alive, 599 days 67.2
TCGA-69-7980-01A 70 years, female, white, stage:i, alive, 362 days 67.2
TCGA-MN-A4N1-01A 60 years, male, black or african american, stage:iia, alive, 827 days 67.2
TCGA-62-A46P-01A 65 years, male, white, stage:ib, dead, 594 days 67.1
TCGA-50-5942-01A 67 years, female, white, stage:ia, alive, 1847 days 67.0
TCGA-43-6771-01A 85 years, male, white, stage:ib, dead, 166 days 66.8
TCGA-55-A494-01A 61 years, female, white, stage:ib, alive, 481 days 66.8
TCGA-49-4514-01A 79 years, female, white, stage:ia, alive, 1700 days 66.8
TCGA-75-6214-01A female, stage:iiia, dead, 1115 days 66.7
TCGA-44-7662-01A 61 years, male, white, stage:ib, alive, 218 days 66.3
TCGA-55-8206-01A 56 years, male, white, stage:ia, alive, 888 days 66.3
TCGA-99-8025-01A 72 years, female, black or african american, stage:iiia, alive, 1060 days 66.2
TCGA-78-7539-01A 75 years, female, white, stage:iia, alive, 791 days 66.0
TCGA-91-8497-01A 75 years, female, white, stage:ia, dead, 434 days 65.8
TCGA-78-7162-01A 75 years, male, white, stage:ia, dead, 3169 days 65.8
TCGA-78-7149-01A 72 years, male, white, stage:iiib, alive, 3940 days 65.7
TCGA-97-8552-01A 55 years, female, white, stage:i, alive, 626 days 65.7
TCGA-49-4494-01A 77 years, male, white, stage:iiia, dead, 1081 days 65.7
TCGA-NJ-A4YQ-01A 69 years, female, white, stage:ia, alive, 1432 days 65.6
TCGA-49-AAR0-01A 57 years, male, black or african american, stage:ia, alive, 4765 days 65.3
TCGA-49-4501-01A 67 years, female, white, stage:ib, dead, 1421 days 65.2
TCGA-4B-A93V-01A 52 years, female, black or african american, stage:ia, dead, 300 days 65.1
TCGA-55-7995-01A 73 years, female, white, stage:ia, alive, 889 days 65.0
TCGA-55-8299-01A 61 years, female, white, stage:ia, dead, 469 days 65.0
TCGA-38-4629-01A 68 years, male, white, stage:iib, dead, 864 days 65.0
TCGA-44-6145-01A 62 years, female, white, stage:ia, alive, 595 days 64.9
TCGA-99-AA5R-01A 70 years, female, black or african american, stage:ia, alive, 658 days 64.6
TCGA-97-A4M2-01A 66 years, male, white, stage:ia, alive, 624 days 64.6
TCGA-05-4425-01A 70 years, female, stage:iv, alive, 669 days 64.5
TCGA-05-4402-01A 57 years, female, stage:iv, dead, 244 days 64.4
TCGA-78-7143-01A 62 years, female, white, stage:ib, dead, 4961 days 64.4
TCGA-64-1676-01A 58 years, male, white, stage:ia, alive, 1728 days 64.4
TCGA-55-8087-01A 59 years, female, white, stage:ib, alive, 462 days 64.2
TCGA-55-7903-01A 64 years, male, white, stage:ia, alive, 567 days 64.2
TCGA-MP-A4T4-01A 68 years, female, white, stage:iib, dead, 2617 days 64.2
TCGA-55-8092-01A 75 years, male, white, stage:iib, dead, 154 days 64.2
TCGA-93-A4JN-01A 71 years, male, white, stage:iv, alive, 718 days 64.1
TCGA-73-A9RS-01A 41 years, male, black or african american, stage:iib, dead, 340 days 64.0
TCGA-44-8117-01A 54 years, female, white, stage:ib, alive, 385 days 64.0
TCGA-J2-A4AE-01A 77 years, female, white, stage:ia, alive, 1079 days 63.8
TCGA-98-A53D-01A 68 years, male, white, stage:iib, dead, 645 days 63.7
TCGA-38-7271-01A 72 years, female, white, stage:ia, dead, 800 days 63.6
TCGA-69-7978-01A 59 years, male, white, stage:iib, alive, 134 days 63.4
TCGA-50-5933-01A 72 years, male, white, stage:iiib, dead, 2393 days 63.4
TCGA-60-2707-01A 70 years, male, stage:ib, dead, 667 days 63.4
TCGA-64-5778-01A 60 years, male, white, stage:ib, alive, 1305 days 63.0
TCGA-55-8204-01A 87 years, female, white, stage:ib, alive, 515 days 62.9
TCGA-85-8584-01A 71 years, male, white, stage:iia, dead, 383 days 62.9
TCGA-56-A4BW-01A 55 years, male, white, stage:iia, alive, 585 days 62.9
TCGA-55-6979-01A 59 years, female, white, stage:iib, dead, 237 days 62.8
TCGA-49-AAR2-01A 64 years, male, black or african american, stage:ib, alive, 2224 days 62.5
TCGA-98-A53H-01A 76 years, female, white, stage:ia, alive, 618 days 62.5
TCGA-22-1005-01A 63 years, male, white, stage:ia, dead, 1953 days 62.1
TCGA-77-A5FZ-01A 64 years, male, stage:iiib, dead, 3838 days 61.9
TCGA-44-6777-01A 85 years, female, white, stage:ib, dead, 987 days 61.6
TCGA-44-2662-01A 65 years, male, white, stage:ib, alive, 1280 days 61.6
TCGA-43-5668-01A 78 years, male, white, stage:iia, dead, 559 days 61.5
TCGA-97-8176-01A 63 years, male, white, stage:iiia, dead, 468 days 61.5
TCGA-86-8672-01A 59 years, male, white, stage:iib, dead, 19 days 61.3
TCGA-52-7812-01A 68 years, male, white, dead, 835 days 60.9
TCGA-38-4627-01A 64 years, female, white, stage:iia, dead, 1147 days 60.8
TCGA-99-8033-01A 74 years, female, white, stage:iv, dead, 656 days 60.8
TCGA-J2-8194-01A 69 years, female, white, stage:iib, alive, 724 days 60.7
TCGA-78-7166-01A 84 years, male, white, stage:iib, dead, 258 days 60.6
TCGA-86-8075-01A 66 years, female, white, stage:ib, dead, 694 days 60.5
TCGA-86-8074-01A 62 years, female, white, stage:iia, alive, 24 days 60.5
TCGA-97-8174-01A 67 years, male, white, stage:iia, dead, 164 days 60.5
TCGA-L4-A4E6-01A 67 years, male, white, stage:ia, alive, 435 days 60.4
TCGA-55-6981-01A 53 years, female, white, stage:iiia, dead, 1379 days 60.4
TCGA-NK-A5CX-01A 73 years, male, white, stage:iia, alive, 111 days 60.3
TCGA-75-6206-01A male, stage:ib, alive, 2590 days 60.0
TCGA-49-4507-01A 73 years, female, white, stage:iiia, dead, 268 days 59.8
TCGA-55-A4DG-01A 71 years, male, white, stage:ia, alive, 608 days 59.7
TCGA-86-8076-01A 42 years, male, white, stage:ia, alive, 993 days 59.6
TCGA-MP-A4TK-01A 56 years, female, stage:iib, dead, 582 days 59.6
TCGA-86-8359-01A 52 years, male, white, stage:iiia, dead, 444 days 59.5
TCGA-46-3769-01A 57 years, male, white, alive, 135 days 59.5
TCGA-55-A48Z-01A 60 years, female, white, stage:iiib, alive, 651 days 58.9
TCGA-44-8120-01A 58 years, male, black or african american, stage:ib, alive, 260 days 58.9
TCGA-63-A5MG-01A 68 years, male, stage:ib, alive, 2148 days 58.8
TCGA-56-8309-01A 66 years, male, white, stage:ia, alive, 428 days 58.7
TCGA-44-7661-01A 69 years, female, white, stage:ib, dead, 557 days 58.7
TCGA-55-7574-01A 64 years, female, white, stage:ib, dead, 995 days 58.6
TCGA-50-5051-01A 42 years, female, white, stage:iiia, dead, 478 days 58.6
TCGA-43-5670-01A 70 years, male, white, stage:iia, alive, 849 days 58.4
TCGA-49-AAR9-01A 61 years, male, black or african american, stage:iib, dead, 260 days 58.4
TCGA-MN-A4N4-01A 57 years, male, white, stage:ia, alive, 1175 days 58.3
TCGA-J2-A4AD-01A 61 years, female, white, stage:ia, dead, 550 days 58.1
TCGA-77-8146-01A 72 years, male, stage:ia, alive, 3189 days 58.0
TCGA-50-5939-01A 85 years, male, white, stage:ib, dead, 460 days 58.0
TCGA-56-8623-01A 71 years, male, white, stage:ib, dead, 692 days 57.9
TCGA-93-A4JO-01A 70 years, male, white, stage:ia, dead, 33 days 57.8
TCGA-86-6851-01A 73 years, female, white, stage:iia, alive, 179 days 57.5
TCGA-05-4434-01A 67 years, female, stage:iv, dead, 457 days 57.3
TCGA-55-6971-01A 59 years, female, white, stage:ib, alive, 1400 days 57.1
TCGA-63-6202-01A male, stage:iia, alive, 1602 days 57.1
TCGA-05-4430-01A 59 years, female, stage:ib, alive, 761 days 57.0
TCGA-22-1000-01A 76 years, male, white, stage:ib, dead, 454 days 56.8
TCGA-39-5039-01A 76 years, male, white, stage:iia, dead, 544 days 56.4
TCGA-86-8585-01A 57 years, male, white, stage:ib, alive, 353 days 56.3
TCGA-98-A53C-01A 77 years, female, white, stage:ia, alive, 822 days 56.3
TCGA-35-3615-01A 57 years, male, white, stage:ib, alive, 14 days 56.2
TCGA-NJ-A55R-01A 67 years, male, white, stage:ia, alive, 603 days 56.1
TCGA-91-6835-01A 81 years, female, white, stage:ia, alive, 79 days 56.1
TCGA-44-2657-01A 74 years, female, white, stage:ib, alive, 1351 days 55.9
TCGA-78-8648-01A 58 years, female, stage:iib, dead, 1209 days 55.9
TCGA-85-8048-01A 62 years, male, white, stage:ia, alive, 765 days 55.7
TCGA-55-8620-01A 60 years, male, white, stage:iv, dead, 375 days 55.4
TCGA-44-3919-01A 71 years, female, white, stage:ia, dead, 1026 days 55.4
TCGA-56-5898-01A 69 years, male, white, stage:ia, alive, 555 days 54.8
TCGA-95-A4VP-01A 66 years, female, white, stage:iiia, alive, 605 days 54.7
TCGA-85-A4QR-01A 67 years, male, white, stage:ib, alive, 600 days 54.7
TCGA-49-6761-01A 68 years, female, white, stage:iiia, alive, 354 days 54.3
TCGA-44-7670-01A 47 years, female, white, stage:iia, alive, 882 days 54.2
TCGA-86-7954-01A 68 years, female, white, stage:ib, alive, 605 days 54.0
TCGA-99-8028-01A 50 years, female, black or african american, stage:ia, alive, 1118 days 53.9
TCGA-78-7159-01A 60 years, female, white, stage:ia, alive, 1974 days 53.8
TCGA-60-2697-01A 41 years, male, white, stage:iia, dead, 372 days 53.7
TCGA-55-6970-01A 67 years, female, white, stage:iiia, dead, 464 days 53.7
TCGA-77-8138-01A 74 years, male, stage:ib, dead, 539 days 53.4
TCGA-56-8622-01A 68 years, male, white, stage:ib, alive, 55 days 53.4
TCGA-98-8021-01A 75 years, female, white, stage:ia, alive, 937 days 53.2
TCGA-44-2661-01A 69 years, female, white, stage:ia, alive, 1159 days 53.2
TCGA-55-8208-01A 73 years, female, white, stage:ia, alive, 674 days 53.2
TCGA-95-7944-01A 71 years, male, white, stage:ia, alive, 377 days 53.1
TCGA-63-A5MM-01A 69 years, female, stage:iib, dead, 456 days 53.1
TCGA-86-7955-01A 62 years, male, white, stage:ib, alive, 1072 days 52.8
TCGA-22-4596-01A 69 years, female, white, stage:ib, dead, 17 days 52.7
TCGA-49-4486-01A 72 years, male, white, stage:ia, dead, 2318 days 52.7
TCGA-62-A46V-01A 78 years, female, white, stage:ib, alive, 2199 days 52.7
TCGA-78-7146-01A 71 years, female, white, stage:iiia, dead, 173 days 52.6
TCGA-55-8507-01A 53 years, male, white, stage:ia, alive, 418 days 52.5
TCGA-86-A4P8-01A 59 years, female, white, stage:iiia, alive, 805 days 52.5
TCGA-55-7816-01A 49 years, female, white, stage:iv, dead, 468 days 52.3
TCGA-93-A4JQ-01A 49 years, male, white, stage:ia, alive, 526 days 52.3
TCGA-63-7022-01A female, stage:ia, alive, 2073 days 52.2
TCGA-94-7033-01A 73 years, male, white, stage:ib, alive, 640 days 52.1
TCGA-67-3774-01A 73 years, female, white, stage:ib, alive, 385 days 52.1
TCGA-05-4422-01A 68 years, male, stage:ib, alive, 365 days 52.1
TCGA-55-8085-01A 64 years, male, white, stage:ia, alive, 904 days 52.0
TCGA-60-2714-01A 66 years, female, white, stage:iib, alive, 1531 days 51.8
TCGA-85-A4QQ-01A 68 years, male, white, stage:ib, dead, 927 days 51.7
TCGA-55-7907-01A 77 years, male, white, stage:iia, dead, 343 days 51.6
TCGA-55-A491-01A 81 years, female, white, stage:ia, alive, 626 days 51.6
TCGA-39-5011-01A 70 years, female, white, stage:ia, alive, 4053 days 51.5
TCGA-34-8455-01A 67 years, male, white, stage:iv, dead, 123 days 51.5
TCGA-56-8626-01A 60 years, male, white, stage:ia, dead, 302 days 51.2
TCGA-85-8350-01A 61 years, male, white, stage:ia, alive, 683 days 51.1
TCGA-50-5045-01A 57 years, female, black or african american, dead, 2174 days 51.0
TCGA-NK-A5CT-01A 70 years, male, white, stage:ia, alive, 1997 days 51.0
TCGA-55-6975-01A male, white, stage:iib, dead, 118 days 50.9
TCGA-78-7167-01A 77 years, male, white, stage:iv, dead, 2681 days 50.8
TCGA-56-8628-01A 78 years, male, white, stage:ia, alive, 616 days 50.8
TCGA-85-A4CL-01A 65 years, male, white, stage:ia, dead, 921 days 50.8
TCGA-66-2765-01A 64 years, male, stage:ib, alive, 61 days 50.8
TCGA-97-7938-01A 76 years, female, white, stage:ia, dead, 18 days 50.7
TCGA-39-5024-01A 65 years, female, white, stage:iiia, alive, 2510 days 50.6
TCGA-92-8064-01A 58 years, male, white, alive, 160 days 50.5
TCGA-MP-A4TD-01A 71 years, male, white, stage:iiia, dead, 307 days 50.3
TCGA-93-A4JP-01A 64 years, male, asian, stage:iv, alive, 578 days 50.1
TCGA-92-8065-01A 74 years, female, white, stage:iib, alive, 70 days 50.1
TCGA-62-8394-01A 65 years, female, white, stage:iiib, dead, 139 days 49.5
TCGA-97-7553-01A 58 years, female, white, stage:ia, alive, 1870 days 49.5
TCGA-L3-A4E7-01A 71 years, male, white, stage:ib, alive, 392 days 49.3
TCGA-55-7914-01A 71 years, female, white, stage:iia, dead, 187 days 49.2
TCGA-50-5055-01A 79 years, female, white, stage:iia, dead, 1830 days 49.1
TCGA-21-1078-01A 77 years, male, white, stage:ib, dead, 474 days 49.0
TCGA-55-6978-01A male, white, stage:iia, dead, 176 days 49.0
TCGA-64-5781-01A 55 years, female, white, stage:ib, alive, 1559 days 48.6
TCGA-44-3396-01A 74 years, female, white, stage:iiia, alive, 1130 days 48.6
TCGA-69-7763-01A 69 years, male, white, stage:ia, alive, 690 days 48.6
TCGA-05-4417-01A 51 years, female, stage:ib, alive, 455 days 48.5
TCGA-85-A50M-01A 47 years, male, asian, stage:iia, dead, 826 days 48.5
TCGA-78-7147-01A 67 years, female, white, stage:iib, dead, 586 days 48.3
TCGA-68-7756-01A 84 years, male, white, stage:iiia, alive, 202 days 48.1
TCGA-77-8131-01A 72 years, male, stage:ib, dead, 383 days 47.9
TCGA-95-7562-01A 71 years, male, black or african american, stage:iia, dead, 87 days 47.9
TCGA-L9-A8F4-01A 64 years, female, black or african american, stage:ib, alive, 476 days 47.8
TCGA-43-2581-01A 47 years, female, white, stage:iiia, alive, 1176 days 47.7
TCGA-34-8454-01A 62 years, female, white, stage:iiia, alive, 1180 days 47.7
TCGA-78-7150-01A 59 years, male, white, stage:iib, dead, 666 days 47.4
TCGA-77-8008-01A 68 years, male, stage:ib, dead, 2639 days 47.3
TCGA-85-6175-01A 63 years, female, white, stage:iib, dead, 294 days 47.3
TCGA-NC-A5HM-01A 76 years, male, white, stage:ib, alive, 1212 days 47.2
TCGA-78-7160-01A 61 years, male, white, stage:iv, dead, 697 days 47.1
TCGA-44-5645-01A 61 years, female, black or african american, stage:ia, alive, 852 days 47.0
TCGA-55-6642-01A 63 years, male, white, stage:ib, alive, 2449 days 47.0
TCGA-50-6595-01A 74 years, female, white, stage:iiia, dead, 189 days 46.9
TCGA-91-A4BC-01A 59 years, male, white, stage:iia, alive, 44 days 46.7
TCGA-MP-A4TF-01A 58 years, female, white, stage:iia, dead, 336 days 46.5
TCGA-94-8491-01A 73 years, male, white, stage:iia, alive, 810 days 46.3
TCGA-91-6828-01A 70 years, male, white, stage:ia, alive, 323 days 46.3
TCGA-85-8481-01A 70 years, male, white, stage:iib, dead, 236 days 46.3
TCGA-43-8118-01A 55 years, female, white, stage:ia, dead, 89 days 46.3
TCGA-39-5029-01A 67 years, male, white, stage:iiia, dead, 740 days 46.2
TCGA-05-4427-01A 65 years, female, stage:iib, alive, 791 days 46.2
TCGA-22-1002-01A 69 years, male, white, stage:ia, dead, 131 days 46.1
TCGA-60-2696-01A 76 years, female, black or african american, stage:iia, dead, 109 days 46.1
TCGA-50-5072-01A 74 years, male, white, stage:iiia, dead, 250 days 46.0
TCGA-MP-A5C7-01A 76 years, female, white, stage:ib, alive, 2248 days 46.0
TCGA-95-7948-01A 42 years, female, white, stage:ib, alive, 476 days 45.8
TCGA-62-A470-01A 84 years, male, white, stage:ib, dead, 1194 days 45.7
TCGA-91-6830-01A 65 years, female, white, stage:iia, alive, 60 days 45.7
TCGA-50-6590-01A 72 years, female, white, stage:ib, dead, 1288 days 45.5
TCGA-05-4397-01A 65 years, male, stage:iib, dead, 731 days 45.2
TCGA-34-A5IX-01A 80 years, male, white, stage:iib, alive, 1031 days 45.1
TCGA-55-8614-01A 76 years, male, white, stage:ib, alive, 536 days 44.9
TCGA-98-8022-01A 61 years, male, white, stage:ia, dead, 933 days 44.7
TCGA-NJ-A4YF-01A 50 years, female, black or african american, stage:ia, alive, 2161 days 44.6
TCGA-49-4487-01A 72 years, female, white, stage:ia, dead, 855 days 44.6
TCGA-66-2780-01A 65 years, male, stage:ib, dead, 366 days 44.5
TCGA-91-6848-01A 59 years, male, white, stage:iiia, alive, 224 days 44.2
TCGA-78-7161-01A 69 years, female, white, stage:iib, dead, 291 days 44.1
TCGA-05-4382-01A 68 years, male, stage:ib, alive, 607 days 44.1
TCGA-78-8660-01A 69 years, male, stage:iib, dead, 321 days 43.9
TCGA-46-3766-01A 62 years, female, white, stage:ia, alive, 370 days 43.7
TCGA-85-A4PA-01A 61 years, male, white, stage:ib, alive, 741 days 43.6
TCGA-60-2698-01A 62 years, male, white, stage:iib, dead, 311 days 43.6
TCGA-96-8170-01A 75 years, female, white, stage:iia, alive, 531 days 43.4
TCGA-55-A48Y-01A 69 years, male, white, stage:iia, alive, 630 days 43.4
TCGA-22-4605-01A 78 years, female, stage:ib, dead, 974 days 43.4
TCGA-86-7713-01A 70 years, male, white, stage:iia, alive, 1157 days 43.4
TCGA-37-A5EL-01A 53 years, male, white, stage:iib, dead, 1143 days 43.3
TCGA-73-4676-01A 45 years, male, white, stage:iia, dead, 281 days 43.3
TCGA-63-A5MS-01A 78 years, male, stage:ib, alive, 2381 days 43.3
TCGA-98-8020-01A 56 years, female, black or african american, stage:iiia, dead, 84 days 43.1
TCGA-05-4389-01A 70 years, male, stage:ia, alive, 1369 days 43.1
TCGA-49-6743-01A 81 years, female, white, stage:iiia, alive, 1621 days 42.9
TCGA-50-5049-01A 70 years, male, white, stage:ia, alive, 3094 days 42.9
TCGA-NC-A5HJ-01A 59 years, male, white, stage:iib, dead, 418 days 42.9
TCGA-55-1596-01A 55 years, male, asian, stage:iib, alive, 2065 days 42.8
TCGA-85-8049-01A 57 years, male, white, stage:ib, alive, 579 days 42.7
TCGA-52-7622-01A 62 years, female, white, stage:ia, alive, 862 days 42.7
TCGA-69-7979-01A 71 years, female, white, stage:ib, alive, 408 days 42.4
TCGA-39-5022-01A 76 years, male, white, stage:ib, dead, 1679 days 42.4
TCGA-60-2715-01A 52 years, male, white, stage:ia, dead, 1075 days 42.1
TCGA-66-2744-01A 71 years, male, stage:iib, alive, 30 days 42.1
TCGA-56-8201-01A 74 years, male, white, stage:iib, dead, 397 days 42.0
TCGA-NC-A5HE-01A 60 years, male, white, stage:iib, alive, 2336 days 41.8
TCGA-56-5897-01A 74 years, male, white, stage:ia, alive, 378 days 41.8
TCGA-85-8479-01A 66 years, male, white, stage:ia, alive, 468 days 41.8
TCGA-05-4432-01A 66 years, male, stage:iib, alive, 761 days 41.7
TCGA-92-8063-01A 52 years, male, white, stage:iiia, alive, 122 days 41.6
TCGA-38-4628-01A 65 years, female, white, stage:iib, dead, 1492 days 41.6
TCGA-05-5425-01A 68 years, male, stage:iib, alive, 882 days 41.5
TCGA-22-4609-01A 81 years, male, white, stage:ia, dead, 291 days 41.4
TCGA-97-8175-01A 55 years, female, white, stage:ib, alive, 551 days 41.3
TCGA-58-8386-01A 75 years, male, stage:iv, dead, 1 days 41.2
TCGA-73-4659-01A 66 years, male, white, stage:iiia, dead, 711 days 41.1
TCGA-49-AARQ-01A 41 years, female, black or african american, stage:i, alive, 6732 days 41.0
TCGA-94-A4VJ-01A 71 years, female, white, stage:ia, alive, 430 days 41.0
TCGA-21-1083-01A 75 years, male, white, stage:ia, dead, 1315 days 40.9
TCGA-52-7811-01A 67 years, male, white, stage:ib, dead, 266 days 40.9
TCGA-05-4415-01A 57 years, male, stage:iiib, dead, 91 days 40.9
TCGA-43-6773-01A 76 years, male, white, stage:iib, dead, 116 days 40.9
TCGA-55-8094-01A 51 years, male, white, stage:iv, alive, 541 days 40.6
TCGA-44-6148-01A 60 years, male, white, stage:ia, alive, 704 days 40.6
TCGA-NC-A5HT-01A 69 years, male, white, stage:iiia, alive, 804 days 40.5
TCGA-85-7697-01A 49 years, male, white, stage:iib, alive, 1063 days 40.3
TCGA-22-4595-01A 57 years, male, white, stage:iiia, dead, 734 days 40.2
TCGA-34-5927-01A 70 years, female, white, stage:ia, alive, 1361 days 40.2
TCGA-68-A59J-01A 74 years, female, white, stage:ib, alive, 409 days 40.1
TCGA-66-2790-01A 72 years, male, stage:iib, alive, 699 days 39.9
TCGA-58-8393-01A 68 years, female, white, stage:ib, alive, 1058 days 39.7
TCGA-44-A479-01A 74 years, female, black or african american, stage:ib, alive, 486 days 39.7
TCGA-33-4589-01A 62 years, female, white, stage:iib, dead, 47 days 39.7
TCGA-55-8615-01A 67 years, male, white, stage:iiia, alive, 446 days 39.4
TCGA-NC-A5HG-01A 59 years, male, white, stage:iiia, alive, 1963 days 39.4
TCGA-05-4396-01A 76 years, male, stage:iiib, dead, 303 days 39.4
TCGA-92-7340-01A 45 years, female, white, stage:iia, alive, 82 days 39.0
TCGA-77-8136-01A 74 years, female, stage:iib, dead, 1189 days 38.8
TCGA-60-2721-01A 73 years, male, white, stage:ib, alive, 983 days 38.7
TCGA-85-A4JB-01A 74 years, male, white, stage:iib, alive, 942 days 38.4
TCGA-63-7021-01A male, stage:ia, alive, 2142 days 38.4
TCGA-56-7822-01A 76 years, male, black or african american, stage:iib, dead, 532 days 38.4
TCGA-96-8169-01A 67 years, female, white, stage:ia, alive, 557 days 38.4
TCGA-MP-A4T8-01A 68 years, male, stage:iiia, dead, 161 days 38.4
TCGA-35-4122-01A 69 years, male, white, stage:ia, alive, 225 days 38.3
TCGA-85-A511-01A 62 years, male, white, stage:iib, dead, 455 days 38.2
TCGA-73-7499-01A 81 years, female, white, stage:ib, dead, 1531 days 38.1
TCGA-68-8250-01A 66 years, male, black or african american, stage:ia, alive, 244 days 38.1
TCGA-60-2720-01A 60 years, female, white, stage:ib, alive, 97 days 38.1
TCGA-33-A5GW-01A 67 years, male, white, stage:iia, dead, 9 days 37.8
TCGA-NC-A5HF-01A 74 years, male, white, stage:iiib, dead, 138 days 37.8
TCGA-05-4420-01A 41 years, male, stage:ib, alive, 912 days 37.7
TCGA-21-5783-01A 76 years, male, white, stage:ib, dead, 2680 days 37.7
TCGA-91-6829-01A 79 years, male, white, stage:ib, dead, 1258 days 37.4
TCGA-56-8503-01A 76 years, female, white, stage:iib, alive, 41 days 37.4
TCGA-55-6987-01A 77 years, male, white, stage:ia, alive, 2137 days 37.3
TCGA-60-2712-01A 79 years, female, white, stage:iib, dead, 274 days 37.3
TCGA-22-5489-01A 64 years, male, white, stage:ia, dead, 1912 days 37.2
TCGA-50-6594-01A 79 years, female, black or african american, stage:iiia, dead, 370 days 37.1
TCGA-66-2763-01A 63 years, female, stage:ib, alive, 30 days 37.1
TCGA-77-8145-01A 73 years, male, stage:iiib, dead, 212 days 37.1
TCGA-56-A49D-01A 67 years, male, white, stage:iiia, alive, 637 days 37.0
TCGA-56-7222-01A 60 years, male, white, stage:ib, dead, 562 days 36.7
TCGA-05-4390-01A 58 years, female, stage:ib, alive, 1126 days 36.7
TCGA-39-5034-01A 73 years, female, white, stage:iib, dead, 1107 days 36.7
TCGA-22-5492-01A 73 years, female, stage:iiia, dead, 506 days 36.6
TCGA-96-A4JL-01A 78 years, female, asian, stage:iia, alive, 842 days 36.6
TCGA-49-6767-01A 46 years, female, white, stage:iib, alive, 677 days 36.5
TCGA-85-8072-01A 60 years, male, white, stage:ia, alive, 932 days 36.5
TCGA-22-1011-01A 73 years, male, white, stage:ib, dead, 53 days 36.5
TCGA-63-A5MR-01A 70 years, female, stage:ib, alive, 2716 days 36.5
TCGA-34-2608-01A 84 years, male, white, stage:ib, dead, 1000 days 36.5
TCGA-56-A5DS-01A 72 years, female, white, stage:ib, alive, 8 days 36.3
TCGA-44-6778-01A 59 years, male, black or african american, stage:ia, alive, 1864 days 36.3
TCGA-62-8399-01A 62 years, male, white, stage:iiia, alive, 2696 days 36.3
TCGA-22-1016-01A 65 years, male, white, stage:ib, dead, 822 days 36.2
TCGA-85-8351-01A 72 years, male, white, stage:iia, alive, 510 days 36.1
TCGA-69-7760-01A 73 years, male, white, stage:iib, alive, 202 days 36.1
TCGA-46-6025-01A 71 years, male, white, stage:iib, alive, 324 days 36.1
TCGA-05-4418-01A 69 years, male, stage:iiia, dead, 274 days 36.1
TCGA-69-7765-01A 56 years, male, black or african american, alive, 165 days 36.1
TCGA-55-A490-01A 78 years, male, white, stage:iia, dead, 99 days 36.1
TCGA-77-8143-01A 76 years, male, stage:iiia, dead, 803 days 36.1
TCGA-56-8305-01A 72 years, male, white, stage:ib, alive, 105 days 36.1
TCGA-39-5035-01A 72 years, female, white, stage:ia, alive, 2080 days 36.1
TCGA-55-7727-01A 71 years, male, white, stage:iiia, alive, 119 days 36.0
TCGA-75-5147-01A female, stage:ib, alive, 1333 days 36.0
TCGA-37-4141-01A 65 years, female, white, stage:ia, alive, 12 days 36.0
TCGA-98-A53B-01A 69 years, male, white, stage:ib, dead, 61 days 35.8
TCGA-56-8629-01A 63 years, male, white, stage:iia, alive, 481 days 35.8
TCGA-MP-A4TE-01A 56 years, male, white, stage:iia, dead, 896 days 35.7
TCGA-NC-A5HO-01A 70 years, female, white, stage:iiia, alive, 1336 days 35.7
TCGA-67-3771-01A 77 years, female, black or african american, stage:ia, alive, 610 days 35.5
TCGA-78-7220-01A 53 years, female, white, stage:iiia, dead, 807 days 35.4
TCGA-O2-A52V-01A 75 years, female, black or african american, stage:ii, dead, 1335 days 35.3
TCGA-50-5944-01A 69 years, female, white, stage:ia, alive, 1750 days 35.3
TCGA-63-A5MT-01A 74 years, male, stage:iib, alive, 498 days 35.3
TCGA-43-6647-01A 69 years, female, white, stage:iib, alive, 757 days 35.2
TCGA-33-AASD-01A 83 years, male, black or african american, stage:ia, dead, 3376 days 35.2
TCGA-39-5030-01A 81 years, female, asian, stage:iiia, dead, 59 days 35.1
TCGA-56-8307-01A 55 years, female, white, stage:iib, alive, 818 days 35.0
TCGA-85-6561-01A 66 years, male, white, stage:ib, alive, 1224 days 34.9
TCGA-77-6842-01A 79 years, male, white, stage:iib, dead, 899 days 34.9
TCGA-66-2777-01A 71 years, male, stage:ib, alive, 61 days 34.9
TCGA-91-8496-01A 63 years, female, white, stage:ib, alive, 505 days 34.8
TCGA-46-3767-01A 76 years, male, white, stage:ia, alive, 388 days 34.6
TCGA-55-A4DF-01A 88 years, male, white, stage:ia, dead, 614 days 34.4
TCGA-56-8625-01A 66 years, female, white, stage:iiia, dead, 315 days 34.4
TCGA-90-A4EE-01A 53 years, male, white, stage:iia, alive, 688 days 34.4
TCGA-67-3770-01A 70 years, female, white, stage:ia, alive, 610 days 34.3
TCGA-21-5784-01A 80 years, female, white, stage:ib, alive, 1268 days 34.3
TCGA-78-7633-01A 67 years, male, white, stage:ib, dead, 1528 days 34.3
TCGA-34-5241-01A 79 years, male, white, stage:ib, dead, 515 days 34.3
TCGA-60-2725-01A 74 years, male, white, stage:ib, alive, 816 days 34.3
TCGA-83-5908-01A 59 years, female, white, stage:ia, alive, 824 days 34.2
TCGA-21-5787-01A 65 years, male, black or african american, stage:iiia, dead, 329 days 34.2
TCGA-53-7624-01A 40 years, female, white, stage:iv, dead, 1043 days 34.2
TCGA-22-4593-01A 77 years, male, white, stage:iia, dead, 1067 days 34.2
TCGA-94-7943-01A 80 years, male, white, stage:ia, alive, 559 days 34.0
TCGA-55-6972-01A 72 years, male, white, stage:ib, dead, 1632 days 33.9
TCGA-85-8582-01A 49 years, male, white, stage:ia, alive, 1160 days 33.9
TCGA-05-4424-01A 70 years, male, stage:iib, alive, 913 days 33.8
TCGA-44-5644-01A 51 years, female, white, stage:ib, alive, 863 days 33.7
TCGA-43-A56U-01A 76 years, female, white, stage:ia, alive, 432 days 33.6
TCGA-60-2724-01A 47 years, male, white, stage:iiia, alive, 717 days 33.6
TCGA-85-8288-01A 70 years, male, white, stage:iia, dead, 402 days 33.5
TCGA-85-7710-01A 59 years, female, white, stage:ia, alive, 42 days 33.4
TCGA-49-4510-01A 51 years, female, black or african american, stage:iib, dead, 896 days 33.3
TCGA-90-6837-01A 64 years, male, white, stage:iib, alive, 758 days 33.3
TCGA-39-5028-01A 75 years, male, white, stage:iiia, dead, 52 days 33.2
TCGA-50-7109-01A 60 years, male, white, stage:ia, dead, 308 days 33.2
TCGA-90-7766-01A 66 years, female, white, stage:ia, alive, 289 days 33.2
TCGA-69-7973-01A 42 years, female, white, stage:ib, alive, 230 days 33.1
TCGA-78-7154-01A 72 years, male, white, stage:iiia, dead, 593 days 33.1
TCGA-77-8144-01A 70 years, male, stage:ib, alive, 833 days 32.9
TCGA-56-8624-01A 84 years, male, white, stage:iib, alive, 420 days 32.7
TCGA-99-8032-01A 62 years, male, white, stage:ia, alive, 44 days 32.7
TCGA-37-3792-01A 69 years, male, white, stage:ib, alive, 12 days 32.5
TCGA-O2-A52N-01A 78 years, male, white, stage:i, dead, 1006 days 32.5
TCGA-85-A5B5-01A 58 years, male, white, stage:ia, alive, 111 days 32.4
TCGA-44-7667-01A 49 years, female, white, stage:iib, alive, 1097 days 32.4
TCGA-66-2788-01A 56 years, male, stage:ib, alive, 699 days 32.3
TCGA-66-2782-01A 71 years, male, stage:iib, dead, 365 days 32.2
TCGA-22-4594-01A 60 years, female, stage:iiia, dead, 1470 days 32.1
TCGA-43-A56V-01A 61 years, male, black or african american, stage:iiia, alive, 366 days 32.1
TCGA-85-A50Z-01A 57 years, male, white, stage:iia, alive, 493 days 31.9
TCGA-60-2709-01A 69 years, male, black or african american, stage:ib, alive, 1505 days 31.9
TCGA-85-8276-01A 62 years, male, white, stage:iia, alive, 1050 days 31.8
TCGA-77-8150-01A 64 years, male, stage:iiia, dead, 1655 days 31.8
TCGA-56-1622-01A 58 years, male, white, stage:ib, dead, 881 days 31.8
TCGA-62-A471-01A 64 years, male, white, stage:iib, alive, 1246 days 31.7
TCGA-85-A4JC-01A 84 years, male, white, stage:iia, dead, 604 days 31.7
TCGA-22-5474-01A 74 years, male, white, stage:ib, dead, 445 days 31.7
TCGA-21-1076-01A 54 years, female, white, stage:ib, alive, 1852 days 31.6
TCGA-98-8023-01A 70 years, male, white, stage:iiia, alive, 649 days 31.4
TCGA-66-2770-01A 79 years, male, stage:ib, alive, 700 days 31.2
TCGA-NC-A5HQ-01A 70 years, male, white, stage:iiia, dead, 448 days 31.2
TCGA-43-8115-01A 72 years, female, white, stage:iia, alive, 407 days 31.2
TCGA-21-5782-01A 68 years, female, white, stage:ib, dead, 962 days 31.1
TCGA-66-2767-01A 62 years, male, stage:iiib, alive, 61 days 31.1
TCGA-85-8355-01A 63 years, male, white, stage:ia, alive, 61 days 31.0
TCGA-77-A5G7-01B 63 years, male, stage:ia, dead, 180 days 30.9
TCGA-66-2794-01A 64 years, male, stage:iiib, alive, 1645 days 30.7
TCGA-60-2716-01A 39 years, male, stage:iib, alive, 1475 days 30.6
TCGA-38-4632-01A 42 years, male, black or african american, stage:iv, dead, 1357 days 30.6
TCGA-91-6831-01A 66 years, male, white, stage:ib, alive, 310 days 30.4
TCGA-66-2768-01A 57 years, male, stage:iib, alive, 61 days 30.3
TCGA-18-3407-01A 72 years, male, asian, stage:ib, dead, 136 days 30.3
TCGA-18-3419-01A 73 years, male, stage:iib, alive, 2811 days 30.2
TCGA-63-A5MV-01A 69 years, male, stage:iia, alive, 1100 days 30.1
TCGA-56-A62T-01A 78 years, male, black or african american, stage:iia, alive, 440 days 30.1
TCGA-66-2773-01A 69 years, male, stage:ib, dead, 92 days 30.1
TCGA-86-7701-01A 66 years, male, white, stage:iv, alive, 947 days 30.0
TCGA-77-6844-01A 74 years, male, white, stage:iiia, dead, 2284 days 30.0
TCGA-18-3409-01A 74 years, male, white, stage:ia, alive, 3747 days 30.0
TCGA-63-A5ML-01A 68 years, male, stage:ib, alive, 1386 days 30.0
TCGA-43-A475-01A 67 years, female, white, stage:iib, alive, 296 days 29.8
TCGA-91-6836-01A 52 years, female, white, stage:ib, alive, 417 days 29.8
TCGA-86-8073-01A 58 years, male, white, stage:ib, alive, 740 days 29.7
TCGA-85-8287-01A 72 years, male, white, stage:ia, dead, 23 days 29.6
TCGA-05-5420-01A 67 years, male, stage:iiia, alive, 457 days 29.5
TCGA-66-2786-01A 68 years, female, stage:ia, alive, 790 days 29.5
TCGA-56-A4ZK-01A 76 years, female, white, stage:ib, alive, 570 days 29.5
TCGA-XC-AA0X-01A 77 years, female, black or african american, stage:ia, dead, 6 days 29.4
TCGA-98-A538-01A 67 years, male, white, stage:iib, alive, 826 days 29.4
TCGA-64-5774-01A 60 years, male, white, stage:ib, alive, 2676 days 29.4
TCGA-44-6774-01A 56 years, female, white, stage:iiia, alive, 658 days 29.4
TCGA-18-3415-01A 77 years, male, stage:ib, dead, 2803 days 29.3
TCGA-34-5232-01A 75 years, female, black or african american, stage:iia, alive, 2471 days 29.2
TCGA-NC-A5HN-01A 77 years, male, white, stage:iia, alive, 1499 days 28.9
TCGA-34-5239-01A 75 years, male, white, stage:iiia, alive, 1834 days 28.8
TCGA-77-8139-01A 72 years, male, stage:iib, alive, 3166 days 28.8
TCGA-37-5819-01A 65 years, male, white, stage:iiia, alive, 103 days 28.7
TCGA-38-4631-01A 72 years, female, white, stage:ib, dead, 354 days 28.7
TCGA-56-A4BX-01A 70 years, male, white, stage:iia, alive, 405 days 28.6
TCGA-75-5146-01A male, stage:ib, alive, 2368 days 28.5
TCGA-50-5946-01A 62 years, male, white, stage:ia, alive, 1617 days 28.3
TCGA-60-2706-01A 58 years, male, white, stage:ia, alive, 2820 days 28.2
TCGA-L9-A7SV-01A 69 years, male, black or african american, stage:iia, alive, 565 days 28.2
TCGA-22-5471-01A 76 years, male, white, stage:ib, alive, 1845 days 28.2
TCGA-94-A5I4-01A 61 years, male, white, stage:iia, alive, 491 days 28.2
TCGA-62-8402-01A 73 years, female, white, stage:iiia, dead, 1498 days 28.1
TCGA-33-4582-01A 55 years, male, white, stage:ia, dead, 3149 days 28.1
TCGA-33-6737-01A 71 years, male, white, stage:iiia, dead, 601 days 28.1
TCGA-43-2578-01A 59 years, female, white, stage:ia, dead, 684 days 28.0
TCGA-77-A5GB-01B 90 years, male, stage:ib, dead, 937 days 28.0
TCGA-44-3398-01A 77 years, female, white, stage:ia, alive, 1163 days 28.0
TCGA-69-8255-01A 72 years, male, white, stage:ia, alive, 129 days 27.9
TCGA-63-A5MP-01A 57 years, male, stage:iib, alive, 769 days 27.8
TCGA-85-8580-01A 52 years, female, white, stage:ib, alive, 1113 days 27.6
TCGA-78-8662-01A 53 years, female, stage:ib, dead, 3361 days 27.6
TCGA-55-7726-01A 72 years, female, white, stage:ia, alive, 652 days 27.5
TCGA-NK-A7XE-01A 66 years, male, black or african american, stage:iiib, alive, 13 days 27.5
TCGA-55-5899-01A male, white, alive, 930 days 27.4
TCGA-85-8071-01A 52 years, male, white, stage:iia, alive, 815 days 27.4
TCGA-58-8391-01A 57 years, female, white, stage:iiia, alive, 2167 days 27.3
TCGA-22-5481-01A 72 years, female, white, stage:iib, dead, 2409 days 27.3
TCGA-60-2713-01A 64 years, male, white, stage:ib, alive, 1731 days 27.2
TCGA-53-A4EZ-01A 63 years, male, white, stage:iia, alive, 1071 days 27.2
TCGA-98-A53I-01A 64 years, male, white, stage:iia, alive, 565 days 27.1
TCGA-98-A53J-01A 78 years, male, white, stage:ib, alive, 630 days 27.0
TCGA-55-7910-01A 50 years, female, black or african american, stage:iia, alive, 1040 days 27.0
TCGA-77-8133-01A 74 years, male, stage:iia, dead, 1640 days 27.0
TCGA-85-7844-01A 71 years, male, white, stage:ib, alive, 911 days 26.9
TCGA-66-2734-01A 62 years, female, stage:ib, alive, 1311 days 26.9
TCGA-73-4670-01A 69 years, female, white, stage:iv, alive, 131 days 26.9
TCGA-55-7570-01A 60 years, male, black or african american, stage:ia, alive, 824 days 26.8
TCGA-86-7711-01A 70 years, male, white, stage:iia, dead, 1046 days 26.8
TCGA-50-5068-01A 59 years, female, white, stage:iib, dead, 1499 days 26.7
TCGA-34-5236-01A 60 years, male, white, stage:iib, dead, 276 days 26.7
TCGA-50-6592-01A 71 years, female, white, stage:ib, dead, 777 days 26.6
TCGA-55-7913-01B 61 years, female, black or african american, stage:ia, dead, 561 days 26.6
TCGA-60-2710-01A 67 years, female, white, stage:iia, alive, 2024 days 26.3
TCGA-66-2791-01A 66 years, male, stage:iiib, dead, 153 days 26.3
TCGA-77-8156-01A 60 years, male, stage:ib, alive, 1106 days 26.2
TCGA-NC-A5HP-01A 69 years, male, white, stage:iv, dead, 770 days 26.2
TCGA-58-8390-01A 70 years, male, white, stage:iia, alive, 911 days 26.2
TCGA-94-A5I6-01A 62 years, male, white, stage:iib, alive, 538 days 26.1
TCGA-56-8083-01A 56 years, male, white, stage:ib, alive, 150 days 26.1
TCGA-56-6545-01A 77 years, female, white, stage:ib, alive, 666 days 25.8
TCGA-55-1594-01A 68 years, male, white, stage:iiia, alive, 1178 days 25.8
TCGA-43-A474-01A 66 years, male, white, stage:iia, alive, 353 days 25.8
TCGA-34-5929-01A 79 years, female, white, stage:ib, dead, 151 days 25.8
TCGA-77-7338-01A 64 years, male, white, stage:ib, dead, 5 days 25.8
TCGA-94-7557-01A 73 years, male, black or african american, stage:ib, dead, 5 days 25.8
TCGA-22-0944-01A 61 years, male, white, stage:ib, dead, 223 days 25.7
TCGA-66-2778-01A 68 years, female, stage:iiib, alive, 578 days 25.6
TCGA-58-A46J-01A 64 years, male, white, stage:iib, alive, 2589 days 25.5
TCGA-94-8035-01A 64 years, male, white, stage:iib, alive, 122 days 25.3
TCGA-22-4601-01A 73 years, female, white, stage:iiia, dead, 1057 days 25.3
TCGA-66-2789-01A 73 years, male, stage:iiib, dead, 123 days 25.3
TCGA-21-1079-01A 71 years, male, white, stage:iiia, dead, 965 days 25.3
TCGA-21-1070-01A 61 years, female, black or african american, stage:iiia, alive, 3636 days 25.2
TCGA-55-6968-01A 61 years, male, white, stage:iv, dead, 1293 days 25.1
TCGA-56-7580-01A 84 years, male, white, stage:ib, alive, 925 days 25.0
TCGA-77-A5GH-01A 81 years, male, stage:ib, alive, 1182 days 24.9
TCGA-33-6738-01A 80 years, male, white, stage:iiia, alive, 1927 days 24.8
TCGA-51-6867-01A 72 years, female, white, stage:i, dead, 1856 days 24.7
TCGA-43-8116-01A 73 years, male, white, stage:ia, alive, 358 days 24.7
TCGA-58-8388-01A 60 years, male, white, stage:ib, dead, 412 days 24.6
TCGA-50-5931-01A 75 years, female, white, stage:ib, dead, 434 days 24.5
TCGA-MF-A522-01A 54 years, male, white, stage:ib, dead, 360 days 24.5
TCGA-46-3768-01A 58 years, male, white, stage:iiia, dead, 299 days 24.4
TCGA-34-7107-01A 70 years, male, white, stage:ii, dead, 34 days 24.4
TCGA-44-2668-01B 51 years, male, white, stage:ib, dead, 761 days 24.4
TCGA-85-8353-01A 72 years, male, white, stage:iiia, dead, 94 days 24.2
TCGA-LA-A446-01A 69 years, male, white, stage:ia, alive, 401 days 24.1
TCGA-66-2785-01A 65 years, male, stage:ib, alive, 60 days 24.0
TCGA-98-7454-01A 73 years, male, white, stage:ib, alive, 652 days 24.0
TCGA-66-2753-01A 69 years, male, stage:ib, alive, 31 days 24.0
TCGA-98-A539-01A 63 years, male, white, stage:iib, alive, 173 days 24.0
TCGA-18-3414-01A 73 years, male, asian, stage:iv, dead, 716 days 23.9
TCGA-85-8666-01A 65 years, male, white, stage:ib, dead, 687 days 23.9
TCGA-18-5595-01A 50 years, male, stage:ib, dead, 827 days 23.8
TCGA-49-4506-01A 68 years, female, white, stage:iib, dead, 999 days 23.8
TCGA-37-3789-01A 65 years, male, white, stage:ib, alive, 13 days 23.7
TCGA-39-5036-01A 73 years, male, white, stage:ib, alive, 2165 days 23.7
TCGA-44-8119-01A 73 years, male, white, stage:iib, alive, 285 days 23.6
TCGA-85-7696-01A 64 years, male, white, stage:ia, alive, 1111 days 23.6
TCGA-18-3417-01A 65 years, male, stage:iv, dead, 1097 days 23.6
TCGA-21-A5DI-01A 77 years, male, white, stage:ia, alive, 979 days 23.6
TCGA-22-5485-01A 58 years, female, white, stage:ia, dead, 916 days 23.5
TCGA-66-2783-01A 67 years, male, stage:iiib, alive, 759 days 23.4
TCGA-68-A59I-01A 73 years, female, black or african american, stage:iiia, alive, 428 days 23.3
TCGA-66-2755-01A 63 years, male, stage:ib, alive, 28 days 23.3
TCGA-39-5019-01A 70 years, male, white, stage:ib, alive, 3387 days 23.2
TCGA-60-2726-01A 56 years, male, white, stage:iia, dead, 358 days 23.2
TCGA-66-2781-01A 67 years, male, stage:ib, alive, 121 days 23.1
TCGA-18-3416-01A 83 years, male, stage:iib, dead, 973 days 23.1
TCGA-56-A5DR-01A 81 years, male, white, stage:ia, alive, 4 days 23.0
TCGA-56-8308-01A 79 years, male, white, stage:iib, alive, 517 days 23.0
TCGA-75-7027-01A male, stage:ib, alive, 3059 days 23.0
TCGA-35-4123-01A 38 years, male, white, stage:ia, alive, 182 days 23.0
TCGA-77-A5GF-01A 70 years, male, stage:iia, dead, 840 days 23.0
TCGA-77-8148-01A 68 years, male, stage:iiia, alive, 2023 days 22.9
TCGA-85-7843-01A 50 years, male, white, stage:iia, alive, 35 days 22.9
TCGA-37-A5EM-01A 49 years, male, white, stage:ii, alive, 867 days 22.9
TCGA-33-4586-01A 57 years, male, white, stage:iiia, dead, 428 days 22.8
TCGA-58-A46M-01A 61 years, male, white, stage:iib, alive, 1072 days 22.7
TCGA-33-A4WN-01A 61 years, male, white, stage:ib, dead, 143 days 22.7
TCGA-44-7660-01A 72 years, male, white, stage:ib, alive, 592 days 22.7
TCGA-77-6843-01A 74 years, male, white, stage:iia, dead, 2224 days 22.7
TCGA-21-1071-01A 67 years, male, white, stage:ib, dead, 1426 days 22.6
TCGA-44-3917-01A 33 years, female, white, stage:ib, alive, 1183 days 22.6
TCGA-77-7335-01A 62 years, female, white, stage:iiib, dead, 2133 days 22.6
TCGA-21-1077-01A 64 years, male, white, stage:iib, dead, 1058 days 22.4
TCGA-90-A4ED-01A 69 years, male, white, stage:ib, alive, 615 days 22.4
TCGA-18-4721-01A 74 years, male, white, stage:ia, alive, 4694 days 22.4
TCGA-66-2737-01A 72 years, male, stage:iib, alive, 61 days 22.4
TCGA-NC-A5HL-01A 73 years, male, white, stage:iia, dead, 88 days 22.3
TCGA-94-8490-01A 70 years, male, white, stage:iib, alive, 153 days 22.2
TCGA-51-4079-01A 73 years, female, black or african american, stage:ib, dead, 12 days 22.1
TCGA-21-1081-01A 69 years, male, white, stage:iib, dead, 284 days 22.1
TCGA-05-5428-01A 57 years, male, stage:iia, alive, 670 days 22.0
TCGA-34-5234-01A 71 years, female, white, stage:ia, alive, 2271 days 22.0
TCGA-34-5928-01A 83 years, female, white, stage:iib, alive, 1196 days 22.0
TCGA-85-6798-01A 57 years, male, white, stage:iiia, dead, 195 days 21.9
TCGA-33-4566-01A 40 years, male, white, stage:ib, dead, 5287 days 21.7
TCGA-18-4086-01A 65 years, male, stage:ib, dead, 85 days 21.7
TCGA-33-AASB-01A 66 years, male, black or african american, stage:ib, dead, 211 days 21.7
TCGA-85-7698-01A 48 years, male, white, stage:ia, alive, 952 days 21.6
TCGA-22-4604-01A 73 years, male, white, stage:iia, dead, 399 days 21.6
TCGA-37-A5EN-01A 59 years, male, white, stage:iiib, alive, 660 days 21.5
TCGA-22-5480-01A 66 years, female, white, stage:ia, dead, 2170 days 21.3
TCGA-22-5478-01A 79 years, male, stage:ib, dead, 24 days 21.3
TCGA-78-7536-01A 70 years, male, white, stage:iiia, dead, 244 days 21.3
TCGA-68-8251-01A 78 years, male, white, stage:ib, alive, 406 days 21.2
TCGA-44-7669-01A 59 years, male, black or african american, stage:iia, dead, 574 days 21.1
TCGA-85-7950-01A 46 years, male, white, stage:ib, alive, 576 days 21.0
TCGA-56-8304-01A 73 years, female, white, stage:ia, alive, 106 days 20.9
TCGA-55-7725-01A 68 years, female, white, stage:ia, alive, 442 days 20.6
TCGA-56-A4BY-01A 66 years, male, white, stage:ib, dead, 543 days 20.6
TCGA-22-4607-01A 75 years, male, white, stage:ib, dead, 587 days 20.6
TCGA-91-6840-01A 59 years, female, white, stage:ia, alive, 372 days 20.6
TCGA-95-7043-01A 63 years, female, white, stage:ia, dead, 503 days 20.5
TCGA-NC-A5HD-01A 79 years, male, white, stage:iib, dead, 2 days 20.5
TCGA-39-5031-01A 77 years, female, stage:ia, dead, 1841 days 20.4
TCGA-43-6770-01A 59 years, female, black or african american, stage:ib, alive, 653 days 20.4
TCGA-92-7341-01A 71 years, male, white, stage:ib, alive, 106 days 20.4
TCGA-LA-A7SW-01A 71 years, male, black or african american, stage:iiia, dead, 408 days 20.3
TCGA-60-2695-01A 74 years, female, white, stage:ib, alive, 642 days 20.3
TCGA-66-2800-01A 70 years, male, stage:iiib, alive, 1492 days 20.2
TCGA-NC-A5HI-01A 68 years, female, white, stage:ib, alive, 1743 days 20.1
TCGA-96-A4JK-01A 65 years, male, white, stage:iia, alive, 589 days 20.1
TCGA-64-1677-01A 78 years, female, white, stage:iiia, dead, 628 days 20.0
TCGA-85-6560-01A 59 years, male, white, stage:iia, alive, 1259 days 19.8
TCGA-33-AASL-01A 57 years, female, black or african american, stage:ia, dead, 826 days 19.8
TCGA-85-A4CN-01A 56 years, female, white, stage:iib, alive, 1038 days 19.8
TCGA-85-8052-01A 53 years, male, white, stage:iib, alive, 734 days 19.8
TCGA-39-5016-01A 44 years, male, white, stage:iia, alive, 3850 days 19.8
TCGA-51-4081-01A 55 years, male, white, stage:iib, alive, 911 days 19.7
TCGA-22-5479-01A 64 years, male, white, stage:ib, dead, 2625 days 19.6
TCGA-77-8153-01A 77 years, female, stage:ib, alive, 1992 days 19.6
TCGA-22-0940-01A 71 years, male, white, stage:iia, dead, 669 days 19.6
TCGA-50-5066-01A 72 years, male, black or african american, stage:ib, alive, 1442 days 19.5
TCGA-33-4547-01A 68 years, male, white, stage:ib, alive, 2419 days 19.4
TCGA-22-5473-01A 78 years, male, white, dead, 1933 days 19.3
TCGA-85-A510-01A 74 years, female, white, stage:iib, alive, 482 days 19.2
TCGA-77-A5GA-01A 76 years, male, stage:ib, alive, 1280 days 19.1
TCGA-85-7699-01A 73 years, male, white, stage:iiia, dead, 1001 days 19.0
TCGA-77-A5G3-01A 63 years, male, stage:iib, alive, 4570 days 19.0
TCGA-43-7656-01A 71 years, male, white, stage:ia, alive, 596 days 18.9
TCGA-21-1082-01A 61 years, male, white, stage:ib, alive, 3644 days 18.8
TCGA-85-A53L-01A 63 years, male, asian, stage:iia, alive, 377 days 18.8
TCGA-63-A5MB-01A 62 years, male, stage:ib, alive, 3123 days 18.7
TCGA-33-AAS8-01A 59 years, female, black or african american, stage:ia, dead, 1114 days 18.7
TCGA-96-7545-01A 73 years, male, white, stage:ia, dead, 1736 days 18.6
TCGA-60-2704-01A 73 years, male, white, stage:iib, dead, 1154 days 18.5
TCGA-66-2727-01A 55 years, female, stage:ib, dead, 516 days 18.2
TCGA-22-5483-01A 74 years, male, white, stage:iia, dead, 573 days 18.2
TCGA-77-A5G8-01B 71 years, male, stage:iib, alive, 1884 days 18.2
TCGA-34-2600-01A 76 years, female, white, stage:ia, dead, 1874 days 18.1
TCGA-64-5779-01A 61 years, male, white, stage:iiia, alive, 864 days 18.1
TCGA-56-8082-01A 80 years, female, white, stage:iia, alive, 455 days 18.1
TCGA-77-7138-01A 67 years, male, stage:ib, dead, 340 days 18.0
TCGA-56-7221-01A 79 years, male, white, stage:ib, alive, 608 days 18.0
TCGA-52-7809-01A 74 years, male, white, stage:ib, dead, 166 days 18.0
TCGA-53-7813-01A 51 years, female, white, stage:iiib, alive, 424 days 17.9
TCGA-85-8277-01A 70 years, male, white, stage:iiia, dead, 307 days 17.7
TCGA-NK-A5D1-01A 57 years, male, white, stage:iia, alive, 511 days 17.7
TCGA-66-2771-01A 60 years, male, stage:iib, alive, 578 days 17.6
TCGA-86-8358-01A 44 years, male, white, stage:ib, alive, 653 days 17.5
TCGA-66-2769-01A 75 years, male, stage:iiib, dead, 215 days 17.5
TCGA-50-5930-01A 47 years, male, white, stage:iiia, dead, 282 days 17.5
TCGA-22-A5C4-01A 70 years, male, white, stage:iia, alive, 671 days 17.4
TCGA-22-5482-01A 81 years, male, white, stage:ib, dead, 357 days 17.0
TCGA-90-7767-01A 56 years, male, white, stage:iib, alive, 89 days 16.9
TCGA-60-2708-01A 64 years, female, white, stage:iib, alive, 2447 days 16.8
TCGA-44-5643-01A 53 years, male, black or african american, stage:iiia, alive, 1013 days 16.7
TCGA-33-4538-01A 66 years, male, white, stage:iiia, dead, 2979 days 16.7
TCGA-37-4129-01A 52 years, female, white, stage:ia, alive, 242 days 16.7
TCGA-85-A512-01A 46 years, male, white, stage:iia, alive, 465 days 16.7
TCGA-43-7657-01A 68 years, female, white, stage:ia, alive, 236 days 16.6
TCGA-37-3783-01A 51 years, male, white, stage:iiia, alive, 122 days 16.3
TCGA-60-2703-01A 73 years, male, white, stage:iib, dead, 2945 days 16.1
TCGA-77-A5G6-01A 66 years, male, stage:iiia, dead, 678 days 16.1
TCGA-77-7337-01A 65 years, male, white, stage:iib, dead, 3253 days 15.9
TCGA-46-3765-01A 59 years, female, white, stage:ia, alive, 405 days 15.8
TCGA-22-1012-01A 80 years, female, white, stage:ib, dead, 429 days 15.8
TCGA-34-2596-01A 70 years, male, white, stage:iib, dead, 80 days 15.8
TCGA-60-2711-01A 64 years, female, white, stage:ib, alive, 1260 days 15.8
TCGA-33-4583-01A 73 years, male, white, stage:ia, dead, 4601 days 15.7
TCGA-66-2757-01A 65 years, female, stage:ia, dead, 1338 days 15.7
TCGA-O2-A52W-01A 63 years, male, black or african american, stage:i, dead, 261 days 15.7
TCGA-77-8140-01A 66 years, female, stage:iib, dead, 351 days 15.7
TCGA-56-7730-01A 73 years, male, white, stage:iia, dead, 198 days 15.6
TCGA-43-6143-01A 70 years, male, white, stage:ib, alive, 699 days 15.4
TCGA-21-5786-01A 64 years, male, white, stage:ib, alive, 1032 days 15.4
TCGA-66-2787-01A 57 years, male, stage:ia, alive, 1217 days 15.4
TCGA-43-3394-01A 52 years, male, black or african american, stage:ib, dead, 1190 days 15.2
TCGA-44-2656-01B 59 years, male, white, stage:ib, alive, 1429 days 15.2
TCGA-66-2759-01A 66 years, male, stage:iiia, alive, 762 days 15.1
TCGA-34-8456-01A 71 years, female, white, stage:iia, alive, 804 days 15.1
TCGA-18-3410-01A 81 years, male, stage:iib, dead, 146 days 14.9
TCGA-33-AASI-01A 65 years, female, black or african american, stage:iib, dead, 1344 days 14.9
TCGA-86-A4D0-01A 48 years, male, white, stage:iia, dead, 116 days 14.8
TCGA-85-8352-01A 67 years, male, white, stage:iiia, dead, 161 days 14.8
TCGA-58-8392-01A 70 years, male, white, stage:ib, dead, 501 days 14.7
TCGA-J1-A4AH-01A 70 years, male, white, stage:iia, alive, 581 days 14.7
TCGA-NC-A5HR-01A 75 years, female, white, stage:iia, alive, 1244 days 14.7
TCGA-58-A46K-01A 59 years, male, white, stage:iiia, dead, 1045 days 14.7
TCGA-39-5021-01A 70 years, male, white, stage:ib, dead, 2086 days 14.6
TCGA-34-5231-01A 72 years, male, white, stage:ia, dead, 1984 days 14.5
TCGA-68-7755-01A 60 years, female, white, stage:iia, alive, 83 days 14.5
TCGA-58-A46L-01A 73 years, male, white, stage:iiia, alive, 1723 days 14.4
TCGA-18-3412-01A 52 years, male, white, stage:ib, dead, 345 days 14.3
TCGA-77-8128-01A 60 years, male, stage:iiia, dead, 1150 days 14.2
TCGA-33-4532-01A 68 years, male, white, stage:ib, dead, 3924 days 14.2
TCGA-77-7141-01A 64 years, male, white, stage:ib, alive, 15 days 14.1
TCGA-58-8387-01A 60 years, male, white, stage:iia, dead, 403 days 14.1
TCGA-66-2758-01A 71 years, male, stage:ib, alive, 639 days 14.0
TCGA-85-8070-01A 71 years, male, white, stage:ib, alive, 960 days 14.0
TCGA-56-8504-01A 74 years, male, white, stage:ib, alive, 510 days 14.0
TCGA-52-7810-01A 60 years, female, white, stage:iib, alive, 923 days 13.9
TCGA-56-7582-01A 84 years, male, white, stage:ib, alive, 601 days 13.8
TCGA-66-2754-01A 67 years, male, stage:iiia, alive, 61 days 13.8
TCGA-18-3411-01A 64 years, female, stage:iiia, alive, 3576 days 13.7
TCGA-22-5491-01A 74 years, male, white, stage:ia, dead, 1713 days 13.6
TCGA-56-7823-01B 58 years, female, white, stage:iia, alive, 1011 days 13.6
TCGA-63-A5MI-01A 65 years, male, stage:iiia, alive, 1784 days 13.6
TCGA-66-2795-01A 68 years, male, stage:iiib, alive, 122 days 13.6
TCGA-60-2723-01A 74 years, female, white, stage:ib, alive, 1092 days 13.5
TCGA-46-6026-01A 81 years, male, white, stage:iib, alive, 423 days 13.5
TCGA-55-7815-01A 77 years, male, stage:ib, alive, 773 days 13.4
TCGA-63-A5MJ-01A 54 years, male, stage:iib, alive, 1824 days 13.3
TCGA-60-2719-01A 83 years, female, white, stage:ib, alive, 1297 days 13.3
TCGA-58-A46N-01A 52 years, male, white, stage:ib, alive, 910 days 13.2
TCGA-43-7658-01A 75 years, female, white, stage:ia, dead, 2378 days 13.1
TCGA-60-2722-01A 66 years, male, white, stage:iib, alive, 908 days 13.1
TCGA-18-4083-01A 63 years, male, white, stage:iib, dead, 188 days 12.9
TCGA-38-4630-01A 75 years, female, white, stage:ib, dead, 1073 days 12.8
TCGA-77-8009-01A 68 years, male, stage:iib, dead, 1695 days 12.6
TCGA-22-4591-01A 80 years, male, white, stage:iiia, dead, 623 days 12.5
TCGA-39-5027-01A 73 years, male, white, stage:ib, alive, 3108 days 12.4
TCGA-21-1072-01A 75 years, male, white, stage:ib, alive, 3016 days 12.4
TCGA-18-5592-01A 57 years, male, stage:iib, alive, 1519 days 12.3
TCGA-L3-A524-01A 45 years, female, white, stage:iib, dead, 490 days 12.3
TCGA-62-A46O-01A 65 years, female, white, stage:ib, dead, 1454 days 12.2
TCGA-77-7463-01A 75 years, male, white, stage:ib, dead, 1423 days 12.2
TCGA-35-5375-01A 61 years, male, white, stage:iiia, alive, 264 days 12.0
TCGA-56-7579-01A 62 years, male, white, stage:iiia, dead, 951 days 12.0
TCGA-66-2742-01A 70 years, male, stage:iv, alive, 641 days 11.8
TCGA-34-5240-01A 73 years, female, white, stage:iib, alive, 1541 days 11.6
TCGA-O2-A5IB-01A 71 years, female, white, stage:iii, dead, 340 days 11.6
TCGA-21-1080-01A 66 years, male, white, stage:ib, alive, 3724 days 11.6
TCGA-63-7023-01A male, stage:iia, alive, 1682 days 11.6
TCGA-77-6845-01A 69 years, male, white, stage:iib, dead, 708 days 11.6
TCGA-70-6723-01A 65 years, male, asian, stage:iia, alive, 375 days 11.6
TCGA-77-7142-01A 59 years, female, white, stage:ib, alive, 2227 days 11.5
TCGA-55-7724-01A 76 years, female, white, stage:ib, alive, 705 days 11.4
TCGA-63-A5MW-01A 76 years, male, stage:ib, alive, 1639 days 11.3
TCGA-66-2792-01A 58 years, male, stage:iib, alive, 913 days 11.3
TCGA-22-4613-01A 73 years, female, white, stage:ia, dead, 358 days 11.3
TCGA-66-2793-01A 68 years, male, stage:iiib, dead, 306 days 11.1
TCGA-85-8354-01A 53 years, male, white, stage:ib, alive, 995 days 11.0
TCGA-44-3918-01A 60 years, female, white, stage:ia, alive, 1036 days 10.9
TCGA-66-2756-01A 68 years, male, stage:iiib, alive, 30 days 10.9
TCGA-63-A5MH-01A 68 years, male, stage:ia, alive, 2026 days 10.8
TCGA-18-3406-01A 67 years, male, white, stage:ia, dead, 371 days 10.8
TCGA-77-7465-01A 59 years, male, white, stage:iia, alive, 990 days 10.7
TCGA-22-4599-01A 73 years, female, white, stage:ib, dead, 1161 days 10.6
TCGA-37-4130-01A 56 years, male, white, stage:ia, alive, 247 days 10.5
TCGA-91-8499-01A 76 years, female, white, stage:ia, alive, 36 days 10.5
TCGA-86-8054-01A 61 years, male, white, stage:iib, alive, 1148 days 10.4
TCGA-77-7139-01A 56 years, male, white, stage:iib, alive, 4261 days 10.4
TCGA-37-4133-01A 63 years, male, white, stage:iiia, alive, 238 days 10.3
TCGA-O2-A52S-01A 58 years, female, white, stage:iii, dead, 387 days 10.3
TCGA-90-7769-01A 55 years, male, white, stage:iib, alive, 358 days 10.1
TCGA-43-3920-01A 71 years, male, white, stage:ib, alive, 1007 days 9.9
TCGA-33-AASJ-01A 60 years, male, black or african american, stage:ib, dead, 3600 days 9.8
TCGA-66-2766-01A 54 years, male, stage:iiia, alive, 31 days 9.7
TCGA-56-7223-01A 66 years, male, white, stage:iiia, dead, 442 days 9.6
TCGA-91-6847-01A 62 years, female, white, stage:ib, alive, 842 days 9.3
TCGA-22-5477-01A 65 years, male, white, stage:ia, dead, 1346 days 9.3
TCGA-18-3421-01A 65 years, male, white, stage:ib, alive, 2645 days 9.1
TCGA-33-4533-01A 76 years, female, black or african american, stage:ib, alive, 4068 days 9.1
TCGA-39-5037-01A 65 years, male, white, stage:iia, alive, 1690 days 9.0
TCGA-39-5040-01A 59 years, male, white, stage:iiia, dead, 519 days 9.0
TCGA-63-A5MY-01A 63 years, male, stage:ia, alive, 1052 days 8.9
TCGA-37-4135-01A 68 years, male, white, stage:ib, alive, 207 days 8.8
TCGA-96-7544-01A 83 years, male, white, stage:iib, dead, 2160 days 8.6
TCGA-51-4080-01A 65 years, male, black or african american, stage:iiib, dead, 12 days 8.5
TCGA-64-1678-01A 71 years, female, white, alive, 1189 days 7.9
TCGA-98-A53A-01A 70 years, male, black or african american, stage:ib, dead, 552 days 7.9
TCGA-37-4132-01A 61 years, female, white, stage:iv, alive, 227 days 7.7
TCGA-33-4587-01A 63 years, female, white, stage:ib, dead, 1656 days 7.7
TCGA-21-1075-01A 57 years, male, white, stage:iib, alive, 2134 days 6.9
TCGA-85-8664-01A 73 years, male, white, stage:iib, dead, 550 days 6.5
TCGA-44-6147-01B 67 years, female, white, stage:ia, alive, 845 days 6.3
TCGA-NC-A5HH-01A 53 years, male, white, stage:ia, alive, 37 days 6.2
TCGA-77-7140-01A 69 years, female, white, stage:iib, dead, 632 days 6.0
TCGA-NK-A5CR-01A 77 years, male, stage:ib, alive, 2542 days 5.7
TCGA-18-3408-01A 77 years, female, white, stage:ib, dead, 2304 days 5.1
TCGA-50-6591-01A 63 years, female, white, stage:iv, dead, 119 days 5.1
TCGA-78-7155-01A 68 years, male, white, stage:ib, dead, 1171 days 4.6
Show allShow less
LUNG CANCER - Protein expressioni

A mouse-over function shows sample information and annotation data. Click on an image to view it in a full screen mode. Samples can be filtered based on level of antibody staining by selecting one or several of the following categories: high, medium, low and not detected. The assay and annotation is described here.

Note that samples used for immunohistochemistry by the Human Protein Atlas do not correspond to samples in the TCGA dataset.

 

Antibody stainingi

Antibody staining in the annotated cell types in the current human tissue is reported as not detected, low, medium, or high, based on conventional immunohistochemistry profiling in selected tissues. This score is based on the combination of the staining intensity and fraction of stained cells.

Each image is clickable and will lead to virtual microscopy that enables deeper exploration of all samples and also displays staining intensity scores, fraction scores and subcellular localization as well as patient and tissue information for each sample.


Antibody HPA002321

Antibody HPA064740

Antibody CAB002752

Antibody CAB022717
 Staining
  High
  Medium
  Low
  Not detected
 Intensity
  Strong
  Moderate
  Weak
  Negative
 Quantity
  >75%
  75%-25%
  <25%
  None
 Location
  Nuclear
  Cytoplasmic/membranous
  Cytoplasmic/membranous,nuclear
  None
Click images for details

Contact

  • NEWS ARTICLES
  • PRESS ROOM

The Project

  • INTRODUCTION
  • ORGANIZATION
  • PUBLICATIONS

The Human Protein Atlas

  • DOWNLOADABLE DATA
  • LICENCE & CITATION
  • HELP & FAQ
The Human Protein Atlas project is funded
by the Knut & Alice Wallenberg Foundation.


contact@proteinatlas.org