We use cookies to enhance the usability of our website. If you continue, we'll assume that you are happy to receive all cookies. More information. Don't show this again.
KIF6
SECTIONS
  • TISSUE
  • BRAIN
  • SINGLE CELL TYPE
  • TISSUE CELL TYPE
  • PATHOLOGY
  • DISEASE
  • IMMUNE CELL
  • BLOOD PROTEIN
  • SUBCELLULAR
  • CELL LINE
  • STRUCTURE
  • INTERACTION
ABOUT
  • INTRODUCTION
  • HISTORY
  • ORGANIZATION
  • PUBLICATIONS
  • ANTIBODY SUBMISSION
  • ANTIBODY AVAILABILITY
  • ACKNOWLEDGMENTS
  • CONTACT
NEWS
  • NEWS ARTICLES
  • PRESS ROOM
LEARN
  • DICTIONARY
  • PROTEIN CLASSES
  • PROTEIN EVIDENCE
  • METHODS
  • EDUCATIONAL VIDEOS
DATA
  • DOWNLOADABLE DATA
  • PUBLICATION DATA
  • RELEASE HISTORY
  • SARS-COV-2
HELP
  • ANTIBODY VALIDATION
  • ASSAYS & ANNOTATION
  • DISCLAIMER
  • HELP & FAQ
  • PRIVACY STATEMENT
  • LICENCE & CITATION
Fields »
Search result

Field
Term
Gene name
Class
Subclass
Class
Keyword
Chromosome
External id
Tissue
Cell type
Expression
Patient ID
Tissue
Category
Cluster
Reliability
Brain region
Category
Brain region
Category
Brain region
Category
Cluster
Reliability
Cell type
Category
Cluster
Tissue
Cell type
Enrichment
Cancer
Prognosis
Cancer
Category
Cell type
Category
Cell lineage
Category
Cluster
Annotation
Disease
Location
Searches
Location
Cell line
Type
Phase
Reliability
Cancer type
Category
Cluster
Interacting gene
Number of interactions
Pathway
Category
Score
Score
Score
Validation
Validation
Validation
Validation
Antibodies
Protein structure
In atlas
Column


  • SUMMARY

  • TISSUE

  • BRAIN

  • SINGLE CELL

  • TISSUE CELL

  • PATHOLOGY

  • DISEASE

  • IMMUNE

  • BLOOD

  • SUBCELL

  • CELL LINE

  • STRUCTURE

  • INTERACTION

  • KIF6
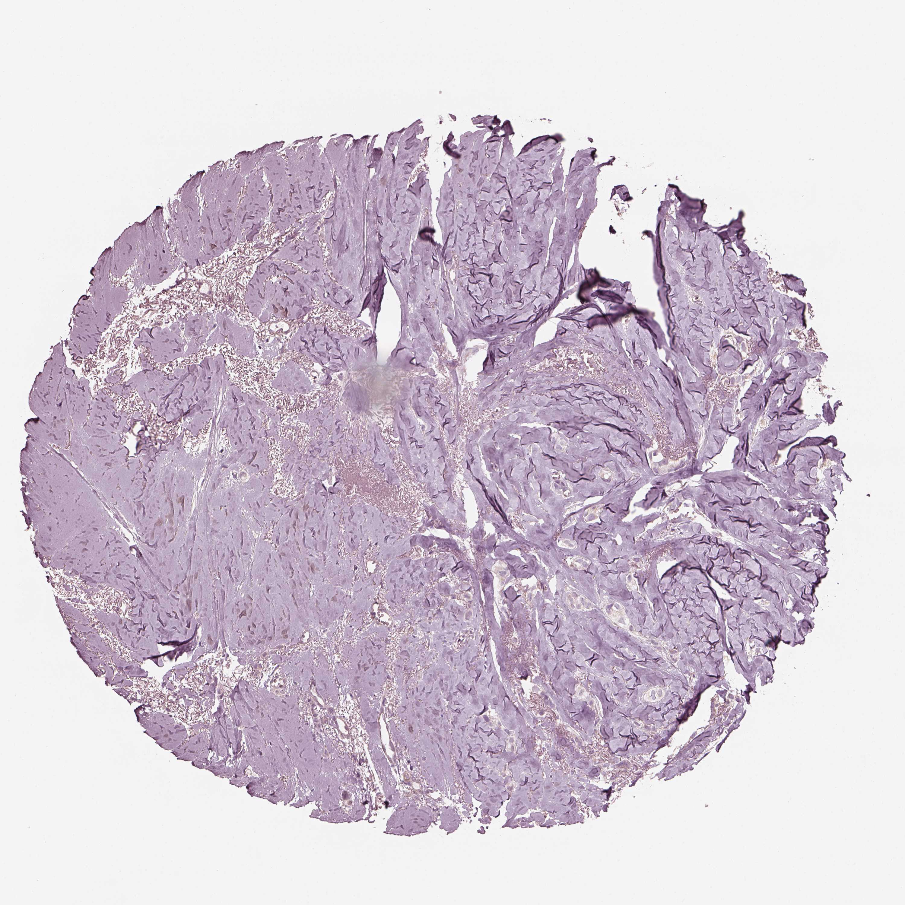
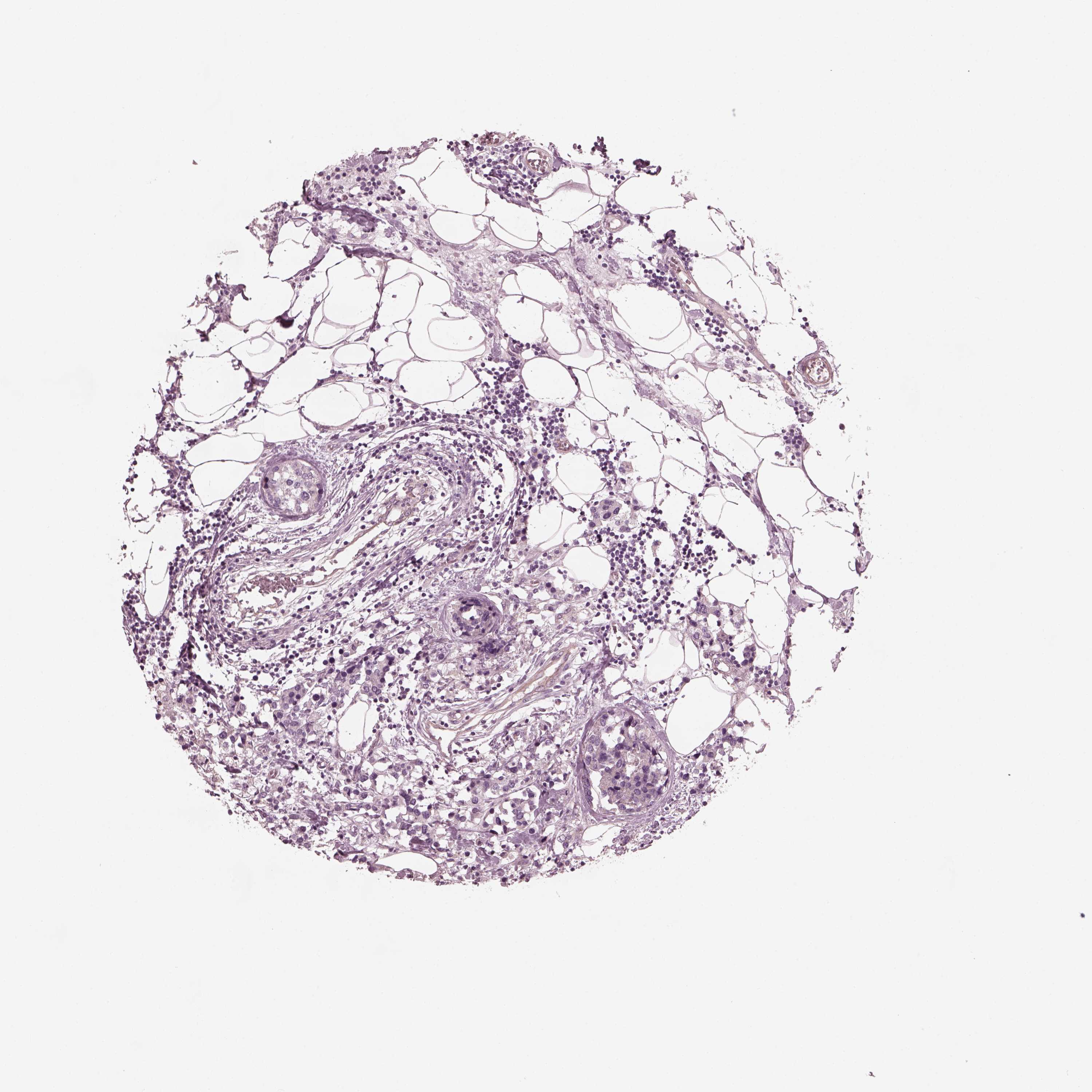
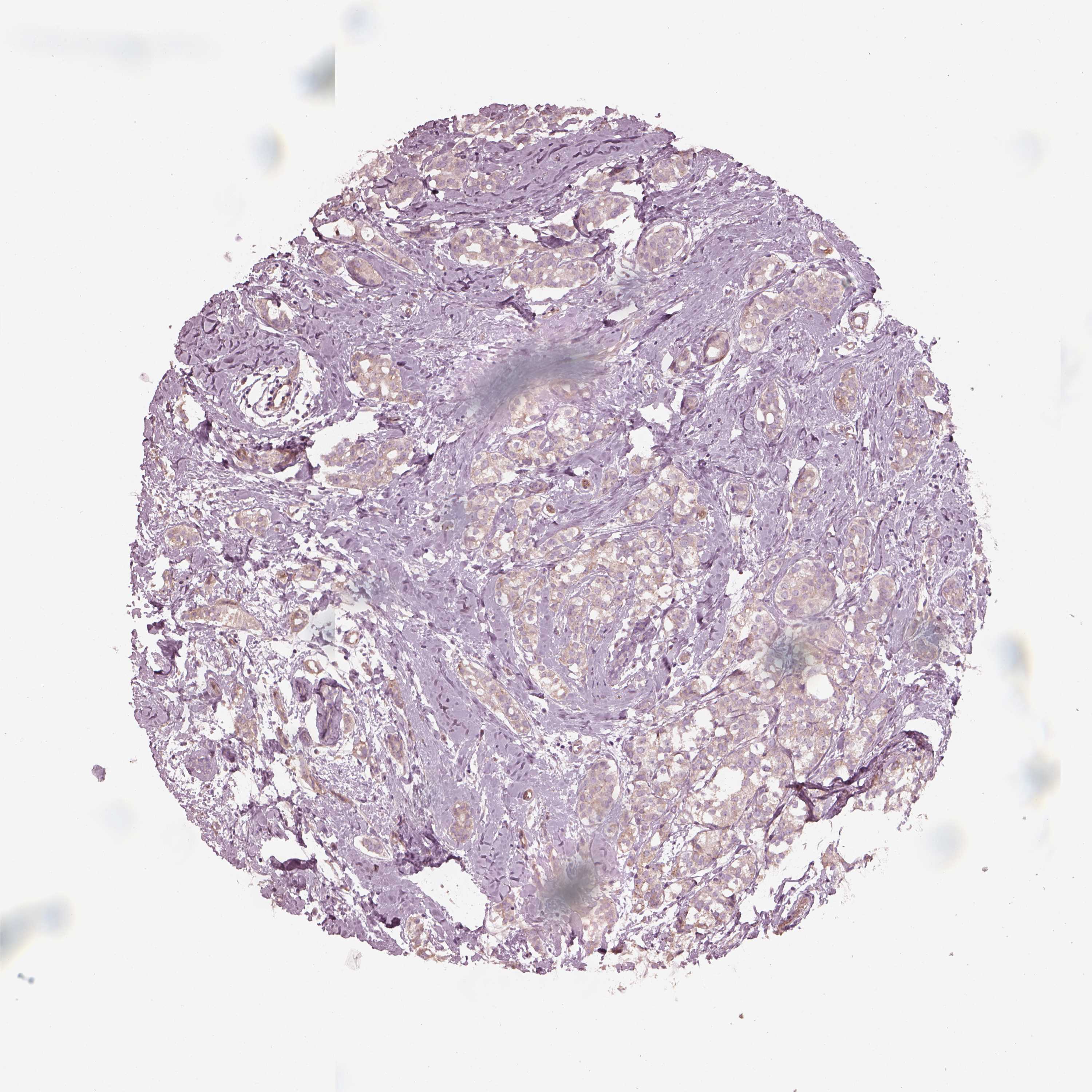
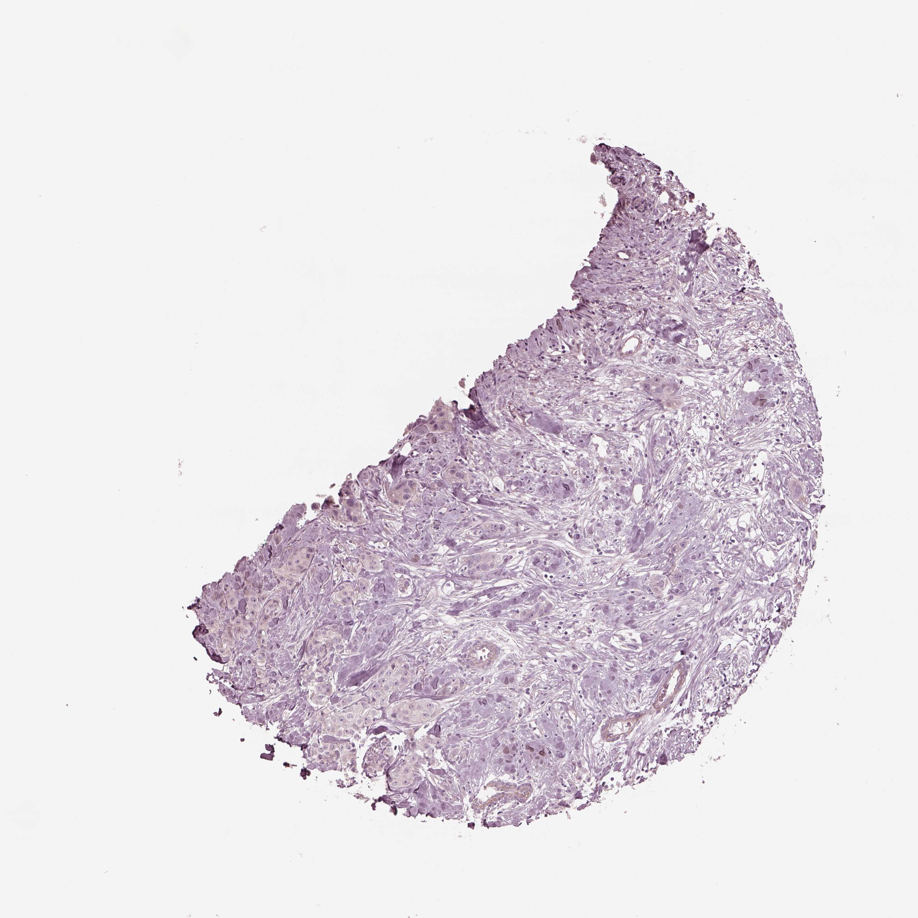
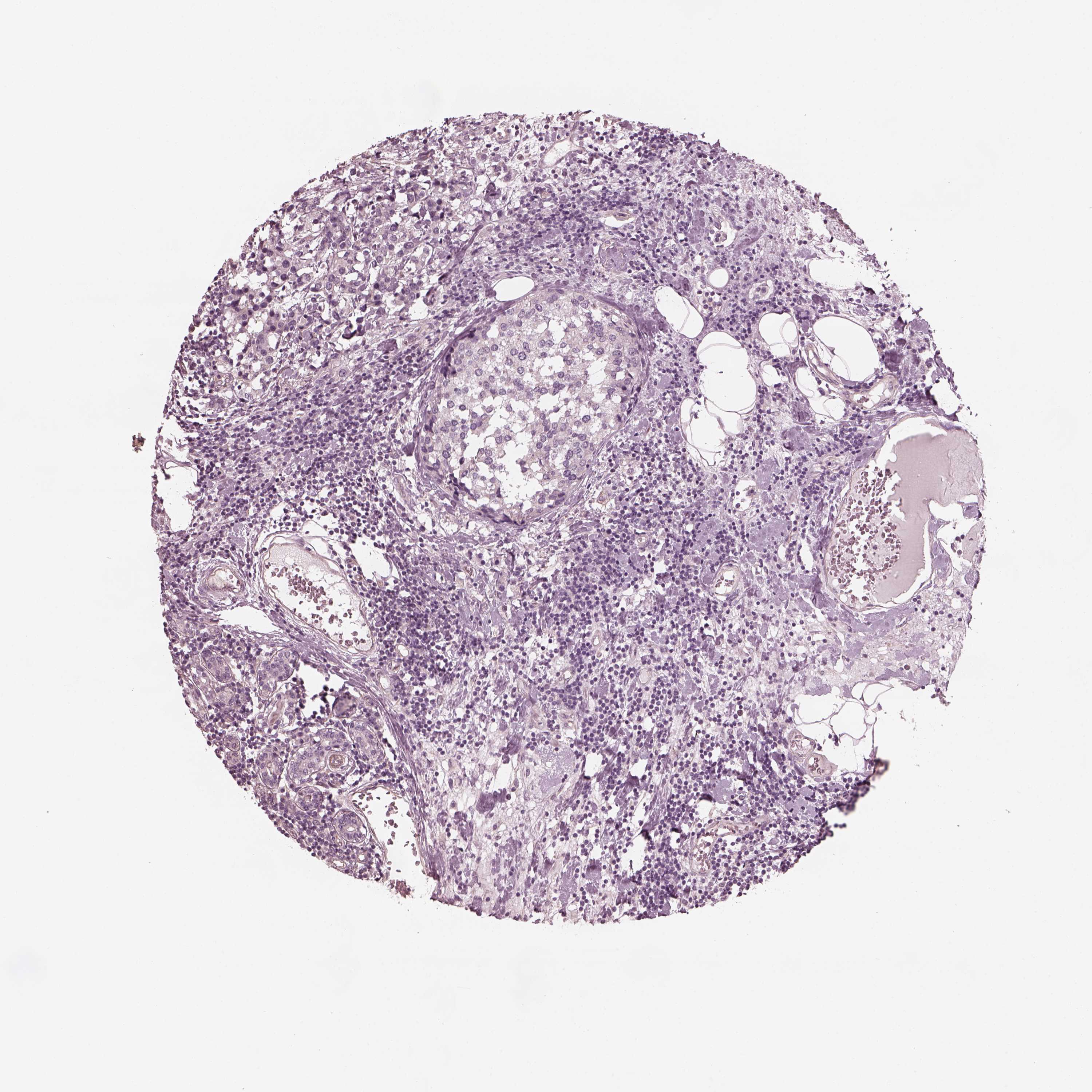
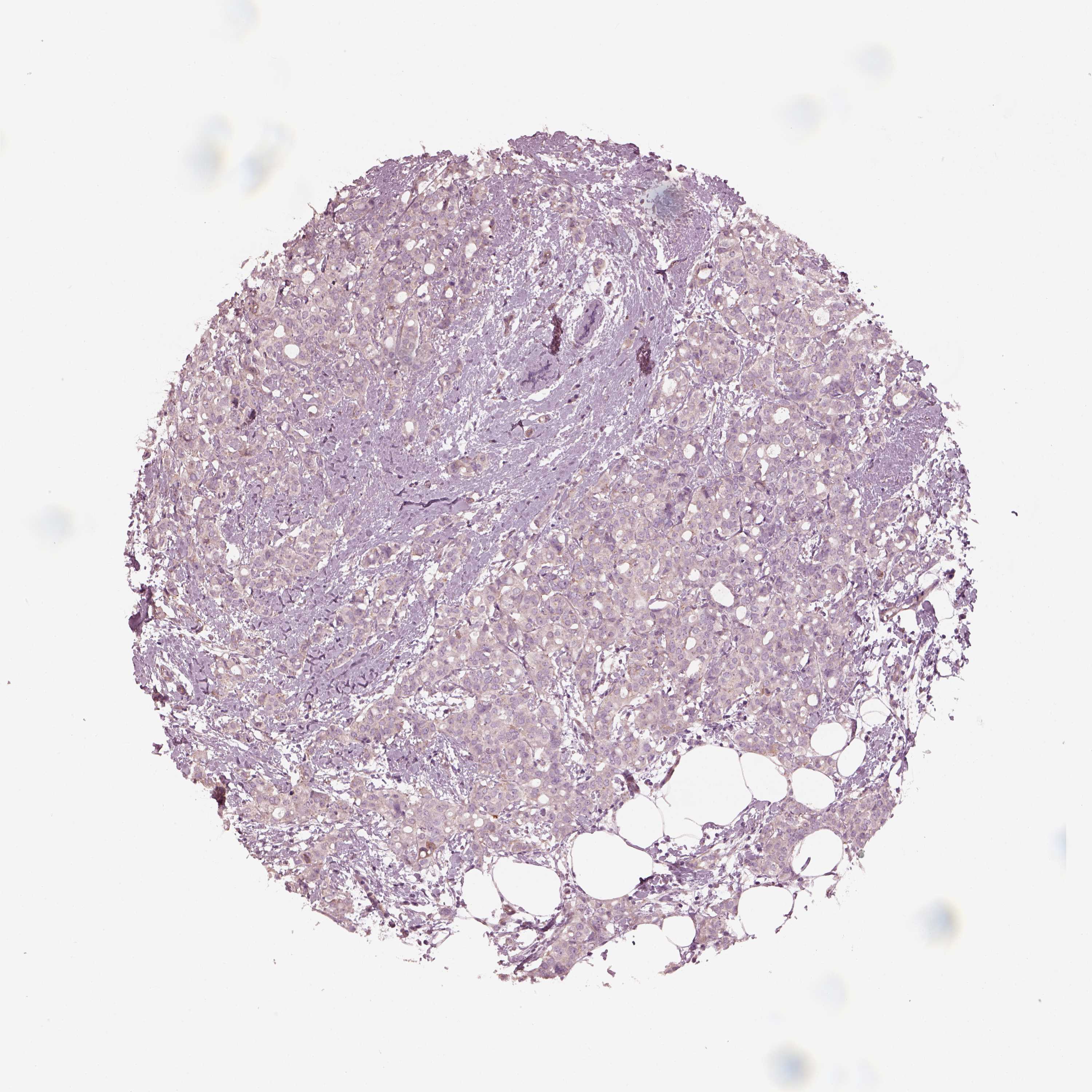
PATHOLOGY BREAST CANCER Show tissue menu
BREAST CANCER CARCINOID CERVICAL CANCER COLORECTAL CANCER ENDOMETRIAL CANCER GLIOMA HEAD AND NECK CANCER LIVER CANCER LUNG CANCER LYMPHOMA
MELANOMA OVARIAN CANCER PANCREATIC CANCER PROSTATE CANCER RENAL CANCER SKIN CANCER STOMACH CANCER TESTIS CANCER THYROID CANCER UROTHELIAL CANCER
ANTIBODIES
AND
VALIDATION
Dictionary
Breast cancer
Human pathology
Breast cancer
BREAST CANCER - Interactive survival scatter ploti

The Survival Scatter plot shows the clinical status (i.e. dead or alive) for all individuals in the patient cohort, based on the same data that underlies the corresponding Kaplan-Meier plots. Patients that are alive at last time for follow-up are shown in blue and patients who have died during the study are shown in red.

The x-axis shows the expression levels (FPKM) of the investigated gene in the tumor tissue at the time of diagnosis. The y-axis shows the follow-up time after diagnosis (years). Both axes are complimented with kernel density curves demonstrating the data density over the axes. The top density plot shows the expression levels (FPKM) distribution among dead (red) and alive patients (blue). The right density plot shows the data density of the survived years of dead patients with high and low expression levels respectively, stratified using the cutoff indicated by the vertical dashed line through the Survival Scatter plot. This cutoff is automatically defined based on the FPKM cutoff that minimizes the p-score. The cutoff can be changed by dragging the vertical line or by entering a cutoff value in the square labeled "Current cut-off".

Under the Survival Scatter plot the p-score landscape (black curve; left axis) is shown together with dead median separation (red curve; right axis). Dead median separation is the difference in median mRNA expression between patients who have died with high and low expression, respectively. It is calculated as follows: median FPKM expression of dead patients with high expression - median FPKM expression of dead patients with low expression. This is intended to aid the user in visually exploring custom cutoffs and the associated p-scores and dead median separation.

Individual patient data is displayed and can be filtered by clicking on one or more of the category buttons on the top of the page. Categories describing expression level and patient information include: high, low, alive, dead, female, male and tumor stages. The scale of the x-axis can be toggled between linear and log-scale by clicking on the "x log" button. Mouse-over function shows TCGA ID, patient information and mRNA expression (FPKM) for each patient.

& Survival analysisi

Kaplan-Meier plots summarize results from analysis of correlation between mRNA expression level and patient survival. Patients were divided based on level of expression into one of the two groups "low" (under cut off) or "high" (over cut off). X-axis shows time for survival (years) and y-axis shows the probability of survival, where 1.0 corresponds to 100 percent.

KIF6 is not prognostic in breast cancer


Stage:


Survival analysis
Current cut offi

Current cut-off shows the cut-off (FPKM) currently selected. It may be changed manually. When the current cut-off is changed, the vertical dashed line indicating cut-off, the interactive survival scatter plot and the Kaplan-Meier curve will be automatically adjusted to show results accordingly.

:
Best expression cut offi

Based on the FPKM value of each gene, patients were classified into two groups and association between prognosis (survival) and gene expression (FPKM) was examined. The best expression cut-off refers the FPKM value that yields maximal difference with regard to survival between the two groups at the lowest log-rank P-value. Best expression cut-off was selected based on survival analysis .

When clicking on this number, the vertical dashed line indicating cut-off, the interactive survival plot, and the Kaplan-Meier curve will be adjusted to show results based on the best expression cut-off.

: 0.06
Median expressioni

Median expression refers to the median FPKM value calculated based on the gene expression (FPKM) data from all patients in this dataset. When clicking on this number, the vertical dashed line indicating cut-off, the interactive survival plot, and the Kaplan-Meier curve will be adjusted to show results based on the median expression.

: N/A
Median follow up timei

Median follow up time refers to the median time (years) after diagnosis with this type of cancer, based on clinical data from all patients in this dataset.

: N/A
P scorei

Log-rank P value for Kaplan-Meier plot showing results from analysis of correlation between mRNA expression level and patient survival.

N/A
5-year survival highi

5-year survival for patients with higher expression than the expression cutoff.

For melanoma and glioma, 3-year survival is shown.

N/A
5-year survival lowi

5-year survival for patients with lower expression than the expression cutoff.

For melanoma and glioma, 3-year survival is shown.

N/A
TCGA RNA samplesi

RNA-seq data is reported as average FPKM (number Fragments Per Kilobase of exon per Million reads), generated by the The Cancer Genome Atlas (TCGA) .

Normal distribution across the dataset is visualized with box plots, shown as median and 25th and 75th percentiles. Points are displayed as outliers if they are above or below 1.5 times the interquartile range. FPKM values of the individual samples are presented next to the box plot.

Average FPKM 0.1
Number of samples 1075
Samples
Sample Description FPKM
TCGA-D8-A142-01A 74 years, female, white, stage:iib, alive, 425 days 1.2
TCGA-D8-A1JL-01A 72 years, female, white, stage:iia, alive, 611 days 1.0
TCGA-E9-A1N3-01A 70 years, female, white, stage:iiia, alive, 1059 days 0.9
TCGA-A2-A4S0-01A 77 years, female, white, stage:iia, alive, 706 days 0.8
TCGA-B6-A0RL-01A 60 years, female, black or african american, stage:iia, dead, 2469 days 0.8
TCGA-A2-A3XX-01A 49 years, female, black or african american, stage:iia, dead, 1439 days 0.8
TCGA-A2-A0YJ-01A 39 years, female, white, stage:iiia, alive, 566 days 0.8
TCGA-PL-A8LX-01A 35 years, female, black or african american, stage:iv, alive, 5 days 0.8
TCGA-D8-A27E-01A 66 years, female, white, stage:ia, alive, 530 days 0.8
TCGA-E9-A54X-01A 85 years, female, white, stage:ia, alive, 727 days 0.8
TCGA-AO-A0JI-01A 56 years, female, white, stage:iia, alive, 1528 days 0.7
TCGA-C8-A27A-01A 48 years, female, asian, stage:iib, alive, 747 days 0.7
TCGA-B6-A0I8-01A 46 years, female, white, stage:x, dead, 749 days 0.7
TCGA-A8-A0AD-01A 83 years, female, stage:i, alive, 1157 days 0.7
TCGA-B6-A1KC-01B 67 years, female, white, stage:iib, alive, 1326 days 0.7
TCGA-E2-A15R-01A 64 years, female, white, stage:iia, alive, 1732 days 0.7
TCGA-A7-A3RF-01A 79 years, female, white, stage:iia, alive, 408 days 0.7
TCGA-E2-A15T-01A 65 years, female, white, stage:iia, alive, 1563 days 0.7
TCGA-WT-AB41-01A female, black or african american, stage:iib, alive, 1611 days 0.7
TCGA-BH-A1FR-01A 73 years, female, white, stage:iiib, dead, 1642 days 0.6
TCGA-BH-A1F8-01A 90 years, female, white, stage:iiib, dead, 763 days 0.6
TCGA-GM-A2DM-01A 57 years, female, white, stage:iia, alive, 3226 days 0.6
TCGA-E9-A1NI-01A 52 years, female, white, stage:iia, alive, 300 days 0.5
TCGA-D8-A1XC-01A 85 years, female, white, stage:iiib, dead, 377 days 0.5
TCGA-A7-A3IY-01A 71 years, female, white, stage:i, alive, 345 days 0.5
TCGA-D8-A1XV-01A 84 years, female, white, stage:iia, alive, 461 days 0.5
TCGA-A8-A08S-01A 71 years, female, stage:iia, alive, 1004 days 0.5
TCGA-A8-A08C-01A 65 years, female, stage:iia, alive, 881 days 0.5
TCGA-A2-A0YC-01A 59 years, female, white, stage:iib, alive, 990 days 0.5
TCGA-E9-A1RD-01A 67 years, female, white, stage:iia, alive, 34 days 0.5
TCGA-BH-A0EA-01A 72 years, female, white, stage:iia, dead, 991 days 0.5
TCGA-E2-A56Z-01A 69 years, female, black or african american, stage:iib, alive, 252 days 0.5
TCGA-OL-A6VO-01A 43 years, female, black or african american, stage:ia, alive, 858 days 0.5
TCGA-AC-A3EH-01A 79 years, female, white, stage:iiic, dead, 197 days 0.5
TCGA-AC-A5XU-01A 74 years, female, black or african american, stage:iib, alive, 455 days 0.5
TCGA-AC-A2BM-01A 41 years, female, black or african american, stage:iib, alive, 3022 days 0.4
TCGA-A2-A0D3-01A 42 years, female, white, stage:ia, alive, 1873 days 0.4
TCGA-AO-A12B-01A 63 years, female, white, stage:iia, alive, 2989 days 0.4
TCGA-A8-A08F-01A 59 years, female, stage:iiic, alive, 1004 days 0.4
TCGA-BH-A18S-01A 79 years, female, white, stage:i, dead, 2009 days 0.4
TCGA-BH-A0B8-01A 64 years, female, white, stage:i, alive, 1569 days 0.4
TCGA-BH-A2L8-01A 45 years, female, white, stage:iia, alive, 612 days 0.4
TCGA-D8-A1X7-01A 40 years, female, white, stage:iia, alive, 509 days 0.4
TCGA-C8-A12N-01A 58 years, female, asian, stage:iia, alive, 358 days 0.4
TCGA-BH-A1EV-01A 45 years, female, white, stage:iiia, dead, 365 days 0.4
TCGA-A2-A4S1-01A 66 years, female, white, stage:iia, alive, 820 days 0.4
TCGA-D8-A27K-01A 47 years, female, white, stage:iib, alive, 1461 days 0.4
TCGA-AO-A1KT-01A 78 years, female, white, stage:iia, alive, 541 days 0.4
TCGA-A1-A0SO-01A 68 years, female, white, stage:iib, alive, 852 days 0.4
TCGA-B6-A0RO-01A 71 years, female, white, stage:iiib, alive, 4929 days 0.4
TCGA-A2-A1G4-01A 71 years, female, white, stage:iiia, alive, 595 days 0.4
TCGA-E2-A15D-01A 47 years, female, white, stage:iia, alive, 526 days 0.4
TCGA-AQ-A1H3-01A 49 years, female, white, stage:iiic, alive, 989 days 0.4
TCGA-BH-A0H3-01A 46 years, female, white, stage:i, alive, 1928 days 0.4
TCGA-E9-A1RC-01A 56 years, female, white, stage:iiic, alive, 1224 days 0.4
TCGA-A2-A0CT-01A 71 years, female, white, stage:iia, alive, 2289 days 0.4
TCGA-EW-A1J6-01A 70 years, female, white, stage:i, alive, 875 days 0.4
TCGA-A2-A0T5-01A 39 years, female, white, stage:iia, alive, 531 days 0.4
TCGA-AC-A3YJ-01A 66 years, female, white, stage:iia, alive, 754 days 0.4
TCGA-A7-A3J0-01A 62 years, female, white, stage:iia, alive, 313 days 0.4
TCGA-A2-A0T2-01A 66 years, female, white, stage:iv, dead, 255 days 0.4
TCGA-BH-A204-01A 80 years, female, white, stage:iib, dead, 2534 days 0.4
TCGA-C8-A26V-01A 47 years, female, asian, stage:iiia, alive, 616 days 0.4
TCGA-E2-A156-01A 61 years, female, white, stage:i, alive, 726 days 0.4
TCGA-AO-A1KP-01A 77 years, female, white, stage:iia, alive, 2953 days 0.4
TCGA-A2-A04N-01A 66 years, female, white, stage:ia, alive, 4354 days 0.4
TCGA-B6-A0WX-01A 40 years, female, black or african american, stage:iiia, dead, 639 days 0.4
TCGA-AR-A1AQ-01A 49 years, female, white, stage:iia, alive, 3021 days 0.4
TCGA-D8-A73W-01A 79 years, female, white, stage:iiia, dead, 385 days 0.4
TCGA-E2-A15J-01A 51 years, female, white, stage:i, alive, 1640 days 0.3
TCGA-OL-A5RX-01A 51 years, female, black or african american, stage:ia, alive, 878 days 0.3
TCGA-A2-A1FV-01A 74 years, female, white, stage:iib, alive, 714 days 0.3
TCGA-AR-A24L-01A 26 years, female, white, stage:iib, dead, 2866 days 0.3
TCGA-B6-A0X4-01A 62 years, female, white, stage:iib, dead, 860 days 0.3
TCGA-E9-A1R2-01A 51 years, female, white, stage:iiic, alive, 1063 days 0.3
TCGA-C8-A12U-01A 46 years, female, asian, stage:iib, alive, 385 days 0.3
TCGA-B6-A408-01A 55 years, female, black or african american, stage:iiic, alive, 2072 days 0.3
TCGA-D8-A1JE-01A 62 years, female, white, stage:iia, alive, 575 days 0.3
TCGA-BH-A0BT-01A 56 years, female, white, stage:iia, alive, 2365 days 0.3
TCGA-E9-A5UO-01A 41 years, female, white, stage:iia, alive, 785 days 0.3
TCGA-B6-A0I5-01A 49 years, female, white, stage:iib, alive, 8556 days 0.3
TCGA-A8-A09T-01A 68 years, female, alive, 579 days 0.3
TCGA-E2-A570-01A 47 years, female, black or african american, stage:ib, alive, 931 days 0.3
TCGA-E9-A1R5-01A 63 years, female, white, stage:ia, alive, 92 days 0.3
TCGA-A8-A08L-01A 89 years, female, stage:iiia, dead, 304 days 0.3
TCGA-E2-A1IE-01A 61 years, female, white, stage:iib, alive, 2362 days 0.3
TCGA-E9-A3HO-01A 49 years, female, white, stage:iia, alive, 1158 days 0.3
TCGA-E2-A10B-01A 67 years, female, white, stage:iib, alive, 1141 days 0.3
TCGA-D8-A1XM-01A 57 years, female, white, stage:ia, alive, 538 days 0.3
TCGA-AR-A0TR-01A 69 years, female, white, stage:iib, dead, 160 days 0.3
TCGA-AC-A8OR-01A 75 years, female, white, stage:ia, alive, 40 days 0.3
TCGA-E9-A295-01A 71 years, female, white, stage:iia, alive, 375 days 0.3
TCGA-E9-A245-01A 47 years, female, white, stage:iib, dead, 26 days 0.3
TCGA-E9-A228-01A 58 years, female, white, stage:iib, alive, 1285 days 0.3
TCGA-E2-A1IK-01A 71 years, female, white, stage:iia, alive, 1800 days 0.3
TCGA-GM-A2DN-01A 58 years, female, white, stage:iia, alive, 3091 days 0.3
TCGA-AO-A12H-01A 69 years, female, black or african american, stage:iia, alive, 1234 days 0.3
TCGA-E9-A2JS-01A 72 years, female, white, stage:iib, dead, 904 days 0.3
TCGA-AQ-A1H2-01A 84 years, female, white, stage:iiia, alive, 475 days 0.3
TCGA-AQ-A0Y5-01A 70 years, female, white, stage:iiia, dead, 172 days 0.3
TCGA-BH-A0C1-01B 61 years, female, white, stage:iiia, dead, 1411 days 0.3
TCGA-EW-A1P3-01A 48 years, female, white, stage:iia, alive, 1611 days 0.3
TCGA-BH-A0BD-01A 47 years, female, white, stage:iia, alive, 554 days 0.3
TCGA-BH-A18U-01A 72 years, female, white, stage:iiia, dead, 1563 days 0.3
TCGA-D8-A1XY-01A 74 years, female, white, stage:iia, alive, 503 days 0.3
TCGA-3C-AAAU-01A 55 years, female, white, stage:x, alive, 4047 days 0.3
TCGA-D8-A147-01A 45 years, female, white, alive, 584 days 0.3
TCGA-OL-A5RV-01A 43 years, female, black or african american, stage:iiic, alive, 1062 days 0.3
TCGA-D8-A1XG-01A 86 years, female, white, stage:iiib, alive, 448 days 0.3
TCGA-A2-A0T7-01A 51 years, female, white, stage:iia, alive, 631 days 0.3
TCGA-AC-A6NO-01A 43 years, female, black or african american, stage:iib, alive, 51 days 0.3
TCGA-D8-A27M-01A 60 years, female, white, stage:ia, alive, 410 days 0.3
TCGA-E2-A1LK-01A 84 years, female, black or african american, stage:iiic, dead, 266 days 0.3
TCGA-LL-A7T0-01A 70 years, female, black or african american, stage:iib, alive, 376 days 0.3
TCGA-A8-A09B-01A 58 years, female, stage:iiib, alive, 365 days 0.3
TCGA-EW-A1IY-01A 38 years, female, asian, stage:i, alive, 258 days 0.3
TCGA-BH-A0AZ-01A 47 years, female, white, stage:iiia, alive, 1919 days 0.3
TCGA-EW-A1PH-01A 52 years, female, white, stage:iia, alive, 607 days 0.3
TCGA-AO-A03N-01B 59 years, female, white, stage:iib, alive, 2031 days 0.3
TCGA-B6-A40B-01A 76 years, female, white, stage:i, alive, 3152 days 0.3
TCGA-LL-A5YL-01A 64 years, female, white, stage:iib, alive, 519 days 0.3
TCGA-AO-A125-01A 72 years, female, black or african american, stage:iia, alive, 3456 days 0.3
TCGA-A8-A095-01A 45 years, female, stage:i, alive, 1277 days 0.3
TCGA-D8-A1X8-01A 63 years, female, white, stage:iiia, alive, 783 days 0.3
TCGA-E2-A15S-01A 34 years, female, white, stage:iib, alive, 428 days 0.3
TCGA-D8-A1X6-01A 80 years, female, white, stage:iiia, alive, 541 days 0.3
TCGA-BH-A0DD-01A 58 years, male, white, stage:iib, alive, 2486 days 0.3
TCGA-BH-A1ET-01A 55 years, female, white, stage:i, dead, 2520 days 0.3
TCGA-AC-A3QQ-01B 54 years, female, white, stage:ia, alive, 734 days 0.3
TCGA-A7-A4SE-01A 55 years, female, black or african american, stage:iia, alive, 644 days 0.3
TCGA-EW-A6SA-01A 59 years, male, black or african american, stage:ii, alive, 510 days 0.3
TCGA-BH-A1EY-01A 79 years, female, white, stage:iia, dead, 538 days 0.3
TCGA-BH-A0BF-01A 56 years, female, white, stage:iib, dead, 1324 days 0.3
TCGA-BH-A1EW-01A 38 years, female, white, stage:iia, dead, 1694 days 0.3
TCGA-BH-A0W7-01A 49 years, female, white, stage:i, alive, 1363 days 0.2
TCGA-HN-A2NL-01A 56 years, female, stage:iia, alive, 79 days 0.2
TCGA-EW-A1IW-01A 80 years, female, white, stage:iib, alive, 371 days 0.2
TCGA-AR-A1AX-01A 64 years, female, white, stage:i, alive, 2629 days 0.2
TCGA-D8-A1JI-01A 54 years, female, white, stage:iia, alive, 577 days 0.2
TCGA-AR-A24T-01A 46 years, female, white, stage:iiic, alive, 3202 days 0.2
TCGA-EW-A1P0-01A 55 years, female, white, stage:iib, alive, 1251 days 0.2
TCGA-EW-A1J5-01A 59 years, female, white, stage:iib, alive, 477 days 0.2
TCGA-A2-A3KD-01A 47 years, female, white, stage:iiia, alive, 1206 days 0.2
TCGA-JL-A3YX-01A female, asian, stage:iia, alive, 352 days 0.2
TCGA-4H-AAAK-01A 50 years, female, white, stage:iiia, alive, 348 days 0.2
TCGA-AR-A0TW-01A 50 years, female, white, stage:iiia, alive, 3009 days 0.2
TCGA-B6-A0IO-01A 66 years, female, white, stage:iia, alive, 5042 days 0.2
TCGA-BH-A0HN-01A 67 years, female, white, stage:ia, alive, 516 days 0.2
TCGA-D8-A141-01A 40 years, female, white, alive, 626 days 0.2
TCGA-AR-A24N-01A 54 years, female, white, stage:i, alive, 3035 days 0.2
TCGA-AC-A2FE-01A 62 years, female, white, stage:iiic, dead, 2636 days 0.2
TCGA-A2-A25C-01A 50 years, female, white, stage:iib, alive, 523 days 0.2
TCGA-AR-A0TT-01A 53 years, female, black or african american, stage:iiia, alive, 3316 days 0.2
TCGA-C8-A1HJ-01A 53 years, female, asian, stage:iia, alive, 5 days 0.2
TCGA-B6-A1KF-01A 68 years, female, white, stage:iib, alive, 3088 days 0.2
TCGA-AR-A251-01A 51 years, female, white, stage:iiia, alive, 3030 days 0.2
TCGA-BH-A0BV-01A 78 years, female, white, stage:iib, alive, 1519 days 0.2
TCGA-A1-A0SG-01A 61 years, female, white, stage:iib, alive, 434 days 0.2
TCGA-A7-A2KD-01A 53 years, female, black or african american, stage:iiia, alive, 679 days 0.2
TCGA-E2-A154-01A 68 years, female, white, stage:i, alive, 591 days 0.2
TCGA-BH-A1EX-01A 67 years, female, white, stage:iib, dead, 1508 days 0.2
TCGA-D8-A1XF-01A 45 years, female, white, stage:iia, alive, 463 days 0.2
TCGA-C8-A134-01A 52 years, female, asian, stage:iia, alive, 383 days 0.2
TCGA-BH-A0WA-01A 82 years, female, white, stage:i, alive, 701 days 0.2
TCGA-A2-A0ER-01A 63 years, female, white, stage:ib, alive, 2263 days 0.2
TCGA-EW-A6SD-01A 32 years, female, black or african american, stage:iib, alive, 1010 days 0.2
TCGA-B6-A0RP-01A 73 years, female, white, dead, 3126 days 0.2
TCGA-S3-A6ZF-01A 64 years, female, black or african american, stage:iia, alive, 572 days 0.2
TCGA-C8-A1HO-01A 34 years, female, asian, stage:iiic, alive, 375 days 0.2
TCGA-EW-A1P5-01A 77 years, female, white, stage:iib, alive, 703 days 0.2
TCGA-E9-A1ND-01A 75 years, female, white, stage:iib, alive, 1266 days 0.2
TCGA-C8-A1HI-01A female, asian, stage:iiia, alive, 343 days 0.2
TCGA-A8-A075-01A 42 years, female, stage:iib, alive, 518 days 0.2
TCGA-C8-A12X-01A 62 years, female, asian, stage:iib, alive, 385 days 0.2
TCGA-UL-AAZ6-01A 73 years, female, black or african american, stage:iia, alive, 518 days 0.2
TCGA-AR-A2LL-01A 70 years, female, white, stage:iib, alive, 2012 days 0.2
TCGA-BH-A0B7-01A 42 years, female, white, stage:iib, alive, 2559 days 0.2
TCGA-C8-A138-01A 54 years, female, asian, stage:iiia, alive, 380 days 0.2
TCGA-A8-A091-01A 61 years, female, stage:iia, alive, 1004 days 0.2
TCGA-B6-A0WT-01A 61 years, female, white, stage:iib, alive, 5739 days 0.2
TCGA-AR-A24U-01A 48 years, female, white, stage:iia, alive, 3128 days 0.2
TCGA-AR-A0U2-01A 47 years, female, white, stage:iiia, dead, 2551 days 0.2
TCGA-A8-A07P-01A 68 years, female, stage:iib, alive, 334 days 0.2
TCGA-B6-A0WY-01A 40 years, female, white, stage:iiia, dead, 3461 days 0.2
TCGA-A8-A09V-01A 51 years, female, stage:iia, alive, 457 days 0.2
TCGA-A2-A0SV-01A 63 years, female, white, stage:iv, dead, 825 days 0.2
TCGA-A8-A08Z-01A 76 years, female, alive, 1217 days 0.2
TCGA-A8-A08B-01A 52 years, female, stage:iia, alive, 1156 days 0.2
TCGA-E2-A1II-01A 51 years, female, white, stage:i, alive, 1025 days 0.2
TCGA-D8-A1JC-01A 59 years, female, white, stage:iiia, alive, 480 days 0.2
TCGA-A8-A07U-01A 66 years, female, stage:iiia, alive, 760 days 0.2
TCGA-C8-A27B-01A 48 years, female, asian, stage:iib, alive, 439 days 0.2
TCGA-A2-A0EQ-01A 64 years, female, black or african american, stage:iia, alive, 2426 days 0.2
TCGA-A7-A3IZ-01A 63 years, female, white, stage:iia, alive, 322 days 0.2
TCGA-A2-A3XS-01A 63 years, female, black or african american, stage:iiia, dead, 1032 days 0.2
TCGA-A2-A0YT-01A 56 years, female, white, stage:iiib, dead, 723 days 0.2
TCGA-A2-A0YE-01A 48 years, female, white, stage:iib, alive, 554 days 0.2
TCGA-E9-A22H-01A 42 years, female, white, stage:iib, alive, 1232 days 0.2
TCGA-A2-A0SU-01A 66 years, female, white, stage:iia, alive, 1662 days 0.2
TCGA-GM-A2DF-01A 53 years, female, black or african american, stage:iia, alive, 2155 days 0.2
TCGA-BH-A0B5-01A 40 years, female, white, stage:iiia, alive, 2136 days 0.2
TCGA-BH-A28Q-01A 46 years, female, white, stage:iib, alive, 1119 days 0.2
TCGA-EW-A6SC-01A 60 years, female, black or african american, stage:iia, alive, 952 days 0.2
TCGA-AN-A0FK-01A 88 years, female, white, stage:iiib, alive, 213 days 0.2
TCGA-C8-A1HF-01A female, asian, stage:iia, alive, 332 days 0.2
TCGA-AR-A2LK-01A 62 years, female, white, stage:iii, dead, 1649 days 0.2
TCGA-AR-A24X-01A 52 years, female, white, stage:iia, alive, 3004 days 0.2
TCGA-E9-A5UP-01A 64 years, female, white, stage:iia, alive, 803 days 0.2
TCGA-AO-A12A-01A 47 years, female, white, stage:iia, alive, 3112 days 0.2
TCGA-BH-A0BQ-01A 39 years, female, white, stage:i, alive, 2255 days 0.2
TCGA-B6-A0X0-01A 54 years, female, white, stage:i, dead, 3945 days 0.2
TCGA-A1-A0SD-01A 59 years, female, white, stage:iia, alive, 437 days 0.2
TCGA-E9-A249-01A 45 years, female, white, stage:iia, alive, 217 days 0.2
TCGA-GM-A3XG-01A 46 years, female, white, stage:iiia, alive, 1330 days 0.2
TCGA-AR-A2LR-01A 49 years, female, white, stage:i, alive, 1742 days 0.2
TCGA-BH-A0E9-01B 53 years, female, white, stage:iib, alive, 2489 days 0.2
TCGA-BH-A0E6-01A 69 years, female, white, stage:ia, alive, 293 days 0.2
TCGA-BH-A0DO-01B 78 years, female, white, stage:i, alive, 1644 days 0.2
TCGA-A8-A09Q-01A 83 years, female, stage:iiib, alive, 761 days 0.2
TCGA-A7-A5ZV-01A 62 years, female, black or african american, stage:iia, alive, 368 days 0.2
TCGA-A8-A08G-01A 41 years, female, stage:iia, alive, 607 days 0.2
TCGA-E9-A1RI-01A 43 years, female, white, stage:iiia, alive, 1449 days 0.2
TCGA-AR-A1AK-01A 70 years, female, white, stage:i, alive, 3159 days 0.2
TCGA-D8-A1XT-01A 61 years, female, white, stage:iia, alive, 506 days 0.2
TCGA-E2-A15P-01A 61 years, female, white, stage:ia, alive, 595 days 0.2
TCGA-A7-A13G-01B 79 years, female, white, stage:iia, alive, 718 days 0.2
TCGA-BH-A1F0-01A 80 years, female, white, stage:iia, dead, 785 days 0.2
TCGA-AO-A1KS-01A 69 years, female, white, stage:iia, alive, 350 days 0.2
TCGA-AN-A0AR-01A 55 years, female, white, stage:iia, alive, 10 days 0.2
TCGA-D8-A1Y3-01A 61 years, female, white, stage:iiia, alive, 430 days 0.2
TCGA-C8-A12M-01A 70 years, female, asian, stage:iia, alive, 358 days 0.2
TCGA-B6-A400-01A 43 years, female, black or african american, stage:iiia, alive, 215 days 0.2
TCGA-B6-A0RN-01A 60 years, female, white, stage:ia, alive, 8008 days 0.2
TCGA-AR-A5QQ-01A 68 years, female, white, stage:iiia, dead, 322 days 0.2
TCGA-AO-A124-01A 38 years, female, white, stage:iia, alive, 3506 days 0.2
TCGA-A2-A0EN-01A 70 years, female, white, stage:iia, alive, 2718 days 0.2
TCGA-A8-A08R-01A 52 years, female, stage:iib, alive, 30 days 0.2
TCGA-BH-AB28-01A 53 years, female, white, stage:iiia, alive, 287 days 0.2
TCGA-BH-A8FZ-01A 58 years, female, white, stage:ia, alive, 574 days 0.2
TCGA-A2-A0T4-01A 62 years, female, white, stage:iia, alive, 624 days 0.2
TCGA-A2-A25E-01A 34 years, female, black or african american, stage:iiia, alive, 3204 days 0.2
TCGA-3C-AALI-01A 50 years, female, black or african american, stage:iib, alive, 4005 days 0.2
TCGA-A2-A1G0-01A 49 years, female, white, stage:iib, alive, 616 days 0.2
TCGA-EW-A1OW-01A 58 years, female, black or african american, stage:iia, alive, 694 days 0.2
TCGA-A8-A09D-01A 47 years, female, stage:iib, alive, 1522 days 0.2
TCGA-A7-A6VW-01A 48 years, female, black or african american, stage:iia, alive, 285 days 0.2
TCGA-E2-A106-01A 34 years, female, asian, stage:ib, alive, 2541 days 0.2
TCGA-AO-A0J8-01A 61 years, female, white, stage:iia, alive, 680 days 0.2
TCGA-A2-A0CV-01A 41 years, female, asian, stage:iib, alive, 3011 days 0.2
TCGA-AR-A1AT-01A 62 years, female, white, stage:iia, dead, 1272 days 0.2
TCGA-A7-A26I-01B 65 years, female, white, stage:iia, alive, 661 days 0.2
TCGA-AR-A0TS-01A 46 years, female, white, stage:iib, alive, 2558 days 0.2
TCGA-BH-A1FH-01A 47 years, female, white, stage:iv, dead, 1034 days 0.2
TCGA-BH-A1F5-01A 62 years, female, white, stage:iia, dead, 2712 days 0.2
TCGA-E2-A1LI-01A 57 years, female, white, stage:iib, alive, 3121 days 0.2
TCGA-E9-A1N5-01A 45 years, female, white, stage:iib, alive, 1120 days 0.2
TCGA-LD-A7W6-01A 55 years, female, white, stage:iib, alive, 404 days 0.2
TCGA-A2-A0YH-01A 53 years, female, white, stage:iiia, alive, 659 days 0.2
TCGA-B6-A40C-01A 51 years, female, white, stage:iib, alive, 2164 days 0.2
TCGA-OL-A66N-01A 59 years, female, white, stage:iiic, alive, 792 days 0.2
TCGA-AR-A1AM-01A 52 years, female, white, stage:iiia, alive, 2991 days 0.2
TCGA-GM-A3NY-01A 72 years, female, white, stage:iib, alive, 1162 days 0.2
TCGA-E2-A14X-01A 55 years, female, black or african american, stage:iiia, alive, 972 days 0.2
TCGA-A2-A0YG-01A 63 years, female, white, stage:iiic, alive, 666 days 0.2
TCGA-E2-A9RU-01A 90 years, female, black or african american, stage:iiic, alive, 538 days 0.2
TCGA-BH-A0DS-01A 71 years, female, white, stage:iiia, alive, 78 days 0.2
TCGA-A8-A07G-01A 65 years, female, stage:iia, alive, 577 days 0.2
TCGA-A2-A0SX-01A 48 years, female, white, stage:ia, alive, 1534 days 0.2
TCGA-E9-A2JT-01A 63 years, female, white, stage:iia, alive, 288 days 0.2
TCGA-AC-A3HN-01A 87 years, female, white, stage:iib, alive, 496 days 0.2
TCGA-OL-A6VR-01A 48 years, female, black or african american, stage:ia, alive, 1220 days 0.2
TCGA-AC-A7VB-01A 51 years, female, black or african american, stage:iia, alive, 250 days 0.2
TCGA-BH-A1FE-01A 31 years, female, white, stage:iib, dead, 2273 days 0.2
TCGA-BH-A18V-01A 48 years, female, white, stage:iib, dead, 1556 days 0.2
TCGA-BH-A0AU-01A 45 years, female, white, stage:iia, alive, 1914 days 0.2
TCGA-E2-A15F-01A 64 years, female, white, stage:i, alive, 658 days 0.2
TCGA-A2-A0YL-01A 48 years, female, white, stage:iiia, alive, 1474 days 0.2
TCGA-A2-A0CK-01A 60 years, female, white, stage:iiia, alive, 4159 days 0.2
TCGA-AN-A0AJ-01A 79 years, female, white, stage:iib, alive, 303 days 0.2
TCGA-E2-A14U-01A 75 years, female, white, stage:i, alive, 1318 days 0.2
TCGA-A2-A3XU-01A 35 years, female, black or african american, stage:iib, dead, 912 days 0.2
TCGA-V7-A7HQ-01A 75 years, female, black or african american, stage:iiia, alive, 2033 days 0.2
TCGA-E9-A1NG-01A 62 years, female, white, stage:iia, dead, 786 days 0.2
TCGA-A7-A0DC-01B 63 years, female, white, stage:ia, alive, 906 days 0.2
TCGA-E2-A1L9-01A 40 years, female, white, stage:iia, alive, 598 days 0.2
TCGA-AR-A252-01A 50 years, female, white, stage:i, alive, 2838 days 0.2
TCGA-BH-A1EU-01A 83 years, female, white, stage:i, dead, 1286 days 0.2
TCGA-D8-A1XO-01A 56 years, female, white, stage:iib, alive, 1682 days 0.2
TCGA-EW-A1PE-01A 56 years, female, white, stage:iia, alive, 320 days 0.2
TCGA-E2-A14Y-01A 35 years, female, white, stage:iia, alive, 2109 days 0.2
TCGA-E9-A22B-01A 71 years, female, white, stage:ia, alive, 1167 days 0.2
TCGA-AC-A2QH-01B 58 years, female, white, stage:iib, alive, 1005 days 0.2
TCGA-AR-A0TV-01A 66 years, female, stage:iia, alive, 2288 days 0.2
TCGA-AN-A03Y-01A 66 years, female, white, stage:iia, alive, 10 days 0.2
TCGA-BH-A202-01A 60 years, female, white, stage:ii, alive, 795 days 0.2
TCGA-LL-A442-01A 56 years, female, black or african american, stage:iia, alive, 889 days 0.2
TCGA-A7-A26E-01B 71 years, female, white, stage:iiia, alive, 954 days 0.2
TCGA-A2-A04X-01A 34 years, female, white, stage:iia, alive, 1686 days 0.2
TCGA-AO-A0J6-01A 61 years, female, white, stage:iia, alive, 1140 days 0.2
TCGA-BH-A1F6-01A 51 years, female, white, dead, 2965 days 0.2
TCGA-E2-A1LA-01A 59 years, female, stage:iia, alive, 748 days 0.2
TCGA-AR-A24P-01A 47 years, female, white, stage:i, alive, 84 days 0.2
TCGA-E2-A1L6-01A 44 years, female, white, stage:iia, alive, 1648 days 0.2
TCGA-A2-A0CQ-01A 62 years, female, black or african american, stage:ia, alive, 2695 days 0.2
TCGA-OL-A5RW-01A 40 years, female, black or african american, stage:iia, alive, 1106 days 0.2
TCGA-AR-A0U4-01A 54 years, female, white, stage:iia, alive, 3261 days 0.2
TCGA-C8-A1HN-01A 56 years, female, asian, stage:iia, alive, 394 days 0.1
TCGA-E2-A1BD-01A 53 years, female, white, stage:iia, alive, 1133 days 0.1
TCGA-A8-A06T-01A 75 years, female, stage:iiia, alive, 1614 days 0.1
TCGA-A2-A0EW-01A 53 years, female, white, stage:iiic, dead, 1884 days 0.1
TCGA-EW-A1P6-01A 64 years, female, white, stage:iib, alive, 562 days 0.1
TCGA-AR-A2LM-01A 49 years, female, white, stage:ii, alive, 1935 days 0.1
TCGA-AO-A0J3-01A 67 years, female, white, stage:iib, alive, 651 days 0.1
TCGA-BH-A203-01A 78 years, female, white, stage:iib, dead, 1174 days 0.1
TCGA-D8-A1X5-01A 81 years, female, white, stage:iiic, alive, 565 days 0.1
TCGA-BH-A42T-01A 75 years, female, black or african american, stage:iia, dead, 320 days 0.1
TCGA-AR-A24R-01A 45 years, female, white, stage:iiia, alive, 3430 days 0.1
TCGA-EW-A1PD-01A 61 years, male, white, stage:iia, alive, 424 days 0.1
TCGA-AR-A1AW-01A 65 years, female, white, stage:iia, alive, 2632 days 0.1
TCGA-A7-A4SB-01A 56 years, female, white, stage:iiia, alive, 418 days 0.1
TCGA-D8-A73X-01A 53 years, female, white, stage:iia, alive, 767 days 0.1
TCGA-LL-A73Z-01A 55 years, female, black or african american, stage:iv, dead, 227 days 0.1
TCGA-BH-A0E0-01A 38 years, female, white, stage:iiic, alive, 134 days 0.1
TCGA-D8-A1Y0-01A 65 years, female, white, stage:iiia, alive, 472 days 0.1
TCGA-A8-A099-01A 76 years, female, stage:x, alive, 304 days 0.1
TCGA-E2-A15G-01A 76 years, female, white, stage:iia, alive, 554 days 0.1
TCGA-C8-A12Z-01A 45 years, female, asian, stage:iib, alive, 382 days 0.1
TCGA-AC-A8OQ-01A 72 years, female, black or african american, stage:iib, alive, 34 days 0.1
TCGA-OL-A5RY-01A 52 years, female, black or african american, stage:iia, alive, 752 days 0.1
TCGA-BH-A0B3-01A 53 years, female, white, stage:iib, alive, 1203 days 0.1
TCGA-D8-A27L-01A 49 years, female, white, stage:iiia, alive, 499 days 0.1
TCGA-A2-A04W-01A 50 years, female, white, stage:iib, alive, 3102 days 0.1
TCGA-BH-A0BL-01A 35 years, female, white, stage:i, alive, 2278 days 0.1
TCGA-A8-A09N-01A 57 years, female, stage:iiic, alive, 31 days 0.1
TCGA-BH-A0C3-01A 47 years, female, white, stage:i, alive, 2709 days 0.1
TCGA-A2-A0YD-01A 63 years, female, white, stage:iib, alive, 769 days 0.1
TCGA-E2-A14T-01A 52 years, female, white, stage:iia, alive, 2311 days 0.1
TCGA-AO-A12E-01A 51 years, female, white, stage:iib, alive, 2142 days 0.1
TCGA-A8-A09I-01A 84 years, female, stage:iia, alive, 1371 days 0.1
TCGA-BH-A0GZ-01A 62 years, female, white, stage:iia, alive, 328 days 0.1
TCGA-E2-A573-01A 48 years, female, black or african american, stage:ia, alive, 1062 days 0.1
TCGA-E9-A1R4-01A 66 years, female, white, stage:ia, alive, 186 days 0.1
TCGA-C8-A274-01A 63 years, female, asian, stage:iia, alive, 508 days 0.1
TCGA-AR-A24W-01A 55 years, female, white, stage:iib, alive, 991 days 0.1
TCGA-A8-A07O-01A 51 years, female, stage:iia, alive, 304 days 0.1
TCGA-D8-A1JT-01A 70 years, female, white, stage:iia, alive, 405 days 0.1
TCGA-AR-A0U3-01A 59 years, female, white, stage:iib, alive, 4080 days 0.1
TCGA-BH-A0DP-01A 60 years, female, white, stage:iib, alive, 476 days 0.1
TCGA-AC-A3YI-01A 74 years, female, white, stage:iiic, alive, 707 days 0.1
TCGA-A7-A0CJ-01A 57 years, female, white, stage:iia, alive, 931 days 0.1
TCGA-AC-A23E-01A 50 years, female, white, stage:iib, alive, 698 days 0.1
TCGA-B6-A0RG-01A 26 years, female, white, stage:iib, alive, 2082 days 0.1
TCGA-A8-A09E-01A 73 years, female, stage:iiib, alive, 1492 days 0.1
TCGA-AR-A2LO-01A 46 years, female, white, stage:iib, alive, 1198 days 0.1
TCGA-EW-A2FW-01A 52 years, female, white, stage:iia, alive, 672 days 0.1
TCGA-BH-A0W5-01A 77 years, female, white, stage:iia, alive, 1288 days 0.1
TCGA-E2-A155-01A 58 years, female, white, stage:iib, alive, 640 days 0.1
TCGA-B6-A0RI-01A 44 years, female, white, stage:iiib, alive, 7126 days 0.1
TCGA-AO-A03T-01A 42 years, female, white, stage:iib, alive, 2124 days 0.1
TCGA-BH-A1FJ-01A 66 years, female, white, stage:iiia, dead, 1927 days 0.1
TCGA-AO-A03O-01A 69 years, female, black or african american, stage:iia, dead, 2483 days 0.1
TCGA-D8-A27T-01A 53 years, female, white, stage:iiic, alive, 398 days 0.1
TCGA-AO-A1KQ-01A 84 years, male, white, stage:iiib, alive, 1882 days 0.1
TCGA-EW-A1OX-01A 43 years, female, white, stage:iia, alive, 911 days 0.1
TCGA-BH-A0BW-01A 71 years, female, black or african american, stage:i, alive, 2371 days 0.1
TCGA-EW-A1PA-01A 59 years, female, white, stage:iib, alive, 575 days 0.1
TCGA-D8-A1JH-01A 56 years, female, white, stage:ia, alive, 426 days 0.1
TCGA-AO-A12D-01A 43 years, female, white, stage:iia, alive, 2515 days 0.1
TCGA-EW-A2FR-01A 59 years, female, black or african american, stage:iiic, alive, 1673 days 0.1
TCGA-A8-A0A6-01A 64 years, female, stage:iiic, alive, 640 days 0.1
TCGA-AC-A3TM-01A 50 years, female, white, stage:iiia, alive, 762 days 0.1
TCGA-E9-A22G-01A 47 years, female, white, stage:iia, alive, 1239 days 0.1
TCGA-BH-A0W3-01A 58 years, female, white, stage:iia, alive, 728 days 0.1
TCGA-C8-A3M8-01A 68 years, female, asian, stage:ia, alive, 394 days 0.1
TCGA-E2-A2P5-01A 78 years, female, black or african american, stage:iiic, dead, 821 days 0.1
TCGA-B6-A0WV-01A 67 years, female, white, stage:iib, dead, 2417 days 0.1
TCGA-AR-A5QP-01A 54 years, female, white, stage:iib, alive, 1185 days 0.1
TCGA-BH-A0HI-01A 78 years, female, white, stage:ia, alive, 620 days 0.1
TCGA-AC-A2FB-01A 65 years, female, white, stage:iia, alive, 1234 days 0.1
TCGA-AC-A3W7-01A 66 years, female, white, stage:iib, alive, 471 days 0.1
TCGA-BH-A0DK-01A 49 years, female, white, stage:iia, alive, 423 days 0.1
TCGA-D8-A1XL-01A 34 years, female, white, stage:iib, alive, 606 days 0.1
TCGA-A8-A093-01A 61 years, female, stage:iia, alive, 546 days 0.1
TCGA-E9-A1NH-01A 71 years, female, white, stage:iib, alive, 576 days 0.1
TCGA-GM-A3XN-01A 44 years, female, white, stage:iiia, alive, 2019 days 0.1
TCGA-E2-A574-01A 44 years, female, black or african american, stage:iia, alive, 1179 days 0.1
TCGA-B6-A0IC-01A 90 years, female, white, stage:x, dead, 1542 days 0.1
TCGA-BH-A0W4-01A 46 years, female, white, stage:iia, alive, 759 days 0.1
TCGA-D8-A1JB-01A 54 years, female, white, stage:iib, alive, 1688 days 0.1
TCGA-A7-A0DA-01A 62 years, female, white, stage:iia, alive, 1085 days 0.1
TCGA-AC-A2FM-01A 87 years, female, white, stage:iib, dead, 792 days 0.1
TCGA-C8-A278-01A 61 years, female, asian, stage:iiia, alive, 297 days 0.1
TCGA-E2-A1IF-01A 74 years, female, white, stage:i, alive, 1138 days 0.1
TCGA-C8-A1HE-01A female, asian, stage:iia, alive, 375 days 0.1
TCGA-AC-A3OD-01B 69 years, female, white, stage:iib, alive, 451 days 0.1
TCGA-A2-A0CS-01A 73 years, female, white, stage:iv, dead, 2348 days 0.1
TCGA-BH-A0DT-01A 41 years, female, white, stage:iia, alive, 2403 days 0.1
TCGA-AC-A6IX-01A 49 years, female, white, stage:iiic, alive, 373 days 0.1
TCGA-BH-A18R-01A 50 years, female, white, stage:iia, dead, 1142 days 0.1
TCGA-AO-A03L-01A 34 years, female, asian, stage:iiia, alive, 2442 days 0.1
TCGA-BH-A0BG-01A 73 years, female, white, stage:i, alive, 1871 days 0.1
TCGA-E2-A1IL-01A 78 years, female, white, stage:iia, alive, 118 days 0.1
TCGA-A7-A6VX-01A 68 years, female, black or african american, stage:iia, alive, 317 days 0.1
TCGA-E2-A1IU-01A 61 years, female, white, stage:ia, alive, 337 days 0.1
TCGA-E9-A1NE-01A 28 years, female, white, stage:iib, alive, 1088 days 0.1
TCGA-AN-A0FF-01A 32 years, female, white, stage:ia, alive, 172 days 0.1
TCGA-BH-A18P-01A 60 years, female, white, stage:i, dead, 921 days 0.1
TCGA-A2-A0YI-01A 62 years, female, white, stage:i, alive, 1505 days 0.1
TCGA-GM-A5PX-01A 65 years, female, white, stage:iib, alive, 551 days 0.1
TCGA-BH-A0EI-01A 51 years, female, white, stage:iia, alive, 1926 days 0.1
TCGA-A8-A07Z-01A 85 years, female, stage:iia, alive, 1371 days 0.1
TCGA-D8-A1X9-01A 66 years, female, white, stage:iib, alive, 727 days 0.1
TCGA-EW-A1PC-01B 66 years, female, black or african american, stage:iib, alive, 187 days 0.1
TCGA-C8-A26Z-01A female, asian, stage:iia, alive, 470 days 0.1
TCGA-OK-A5Q2-01A 59 years, female, stage:ii, alive, 64 days 0.1
TCGA-E9-A3QA-01A 33 years, female, white, stage:iia, alive, 918 days 0.1
TCGA-E2-A1AZ-01A 63 years, female, white, stage:iib, alive, 2329 days 0.1
TCGA-D8-A1XA-01A 64 years, female, white, stage:ia, alive, 839 days 0.1
TCGA-AN-A0AT-01A 62 years, female, white, stage:iia, alive, 10 days 0.1
TCGA-A8-A08X-01A 43 years, female, stage:iiic, alive, 1308 days 0.1
TCGA-BH-A0B0-01A 56 years, female, black or african american, stage:i, alive, 2477 days 0.1
TCGA-A2-A0YK-01A 61 years, female, white, stage:iia, alive, 588 days 0.1
TCGA-BH-A0H5-01A 45 years, female, white, stage:i, alive, 1620 days 0.1
TCGA-BH-A0EB-01A 69 years, female, white, stage:ia, alive, 745 days 0.1
TCGA-5T-A9QA-01A 52 years, female, black or african american, stage:iia, alive, 303 days 0.1
TCGA-AR-A250-01A 58 years, female, white, stage:iia, alive, 2707 days 0.1
TCGA-BH-A1ES-01A 35 years, female, white, stage:iib, dead, 3462 days 0.1
TCGA-B6-A0IQ-01A 40 years, female, white, stage:iiia, alive, 4285 days 0.1
TCGA-A7-A0CE-01A 57 years, female, white, stage:iia, alive, 1074 days 0.1
TCGA-C8-A12Y-01A female, asian, stage:iib, alive, 1476 days 0.1
TCGA-A1-A0SP-01A 40 years, female, stage:iia, alive, 584 days 0.1
TCGA-AN-A0AM-01A 56 years, female, white, stage:iia, alive, 5 days 0.1
TCGA-A8-A06P-01A 63 years, female, stage:iiia, alive, 396 days 0.1
TCGA-AR-A24H-01A 65 years, female, white, stage:iia, alive, 4894 days 0.1
TCGA-BH-A18K-01A 46 years, female, white, stage:i, dead, 2763 days 0.1
TCGA-A2-A4RW-01A 49 years, female, white, stage:iiic, alive, 222 days 0.1
TCGA-D8-A1JP-01A 73 years, female, white, stage:ia, alive, 639 days 0.1
TCGA-E2-A1B1-01A 45 years, female, white, stage:iib, alive, 2653 days 0.1
TCGA-B6-A0IH-01A 81 years, female, white, stage:iiia, dead, 3418 days 0.1
TCGA-BH-A0E2-01A 49 years, female, black or african american, stage:iiia, alive, 435 days 0.1
TCGA-AR-A1AH-01A 52 years, female, white, stage:iib, alive, 3807 days 0.1
TCGA-E9-A1QZ-01A 61 years, female, white, stage:iia, alive, 755 days 0.1
TCGA-A8-A06Y-01A 66 years, female, stage:iia, alive, 791 days 0.1
TCGA-E2-A10E-01A 64 years, female, white, stage:iia, alive, 865 days 0.1
TCGA-E2-A1IN-01A 60 years, female, white, stage:i, alive, 675 days 0.1
TCGA-PL-A8LY-01A 30 years, female, black or african american, stage:iib, alive, 8 days 0.1
TCGA-AR-A0TP-01A 43 years, female, white, stage:iia, alive, 4275 days 0.1
TCGA-E2-A1LH-01A 59 years, female, white, stage:i, alive, 3247 days 0.1
TCGA-A2-A3KC-01A 55 years, female, black or african american, stage:iib, alive, 1102 days 0.1
TCGA-AR-A254-01A 50 years, female, white, stage:iiia, alive, 2605 days 0.1
TCGA-A2-A0CP-01A 60 years, female, white, stage:ia, alive, 2813 days 0.1
TCGA-A2-A04R-01A 36 years, female, black or african american, stage:ia, alive, 3709 days 0.1
TCGA-A2-A0CL-01A 37 years, female, black or african american, stage:iiia, alive, 3015 days 0.1
TCGA-A8-A09R-01A 82 years, female, stage:iib, alive, 273 days 0.1
TCGA-A2-A0YM-01A 68 years, female, white, stage:iia, alive, 965 days 0.1
TCGA-A7-A0CH-01A 79 years, female, white, stage:iia, alive, 1079 days 0.1
TCGA-AO-A0J4-01A 41 years, female, black or african american, stage:ia, alive, 1587 days 0.1
TCGA-D8-A27H-01A 72 years, female, white, stage:iia, alive, 397 days 0.1
TCGA-C8-A132-01A 56 years, female, asian, stage:iib, alive, 383 days 0.1
TCGA-AO-A0JA-01A 36 years, female, black or african american, stage:iiic, alive, 655 days 0.1
TCGA-EW-A424-01A 51 years, female, white, stage:iiia, alive, 715 days 0.1
TCGA-E9-A5FK-01A 60 years, female, white, stage:iiic, alive, 812 days 0.1
TCGA-AQ-A7U7-01A 55 years, female, white, stage:iiia, dead, 584 days 0.1
TCGA-AC-A3QP-01A 79 years, female, white, stage:iib, alive, 675 days 0.1
TCGA-A7-A0CG-01A 78 years, female, white, stage:iia, alive, 1043 days 0.1
TCGA-EW-A1P4-01A 43 years, female, white, stage:iia, alive, 907 days 0.1
TCGA-AO-A0JL-01A 59 years, female, white, stage:iiia, alive, 1683 days 0.1
TCGA-AN-A0FD-01A 71 years, female, white, stage:iia, alive, 196 days 0.1
TCGA-OL-A5DA-01A 61 years, female, white, stage:iia, alive, 1783 days 0.1
TCGA-BH-A201-01A 64 years, female, white, stage:ia, alive, 856 days 0.1
TCGA-B6-A401-01A 47 years, female, black or african american, stage:iia, alive, 2596 days 0.1
TCGA-E9-A226-01A 45 years, female, white, stage:iiia, dead, 1048 days 0.1
TCGA-A1-A0SJ-01A 39 years, female, black or african american, stage:iiia, alive, 416 days 0.1
TCGA-A2-A0ES-01A 52 years, female, white, stage:iia, alive, 2190 days 0.1
TCGA-A2-A0D0-01A 60 years, female, black or african american, stage:iia, alive, 2048 days 0.1
TCGA-A7-A5ZX-01A 48 years, female, white, stage:iiic, alive, 336 days 0.1
TCGA-A7-A0D9-01A 37 years, female, white, stage:iia, alive, 1139 days 0.1
TCGA-OL-A66K-01A 72 years, female, white, stage:iia, dead, 1275 days 0.1
TCGA-B6-A0IN-01A 45 years, female, white, stage:x, dead, 2573 days 0.1
TCGA-B6-A409-01A 44 years, female, black or african american, stage:iiia, dead, 573 days 0.1
TCGA-A8-A0AB-01A 54 years, female, stage:iia, alive, 518 days 0.1
TCGA-BH-A0BZ-01A 59 years, female, white, stage:iiia, alive, 2255 days 0.1
TCGA-E2-A1IG-01A 45 years, female, white, stage:iib, alive, 2140 days 0.1
TCGA-BH-A0GY-01A 67 years, female, white, stage:iia, alive, 923 days 0.1
TCGA-D8-A1JJ-01A 54 years, female, white, stage:iia, alive, 611 days 0.1
TCGA-BH-A0HL-01A 56 years, female, white, stage:iib, alive, 72 days 0.1
TCGA-E2-A14Z-01A 64 years, female, white, stage:i, dead, 563 days 0.1
TCGA-E2-A10F-01A 47 years, female, white, stage:iia, alive, 878 days 0.1
TCGA-AR-A1AI-01A 47 years, female, white, stage:iia, alive, 3296 days 0.1
TCGA-EW-A1OV-01A 56 years, female, white, stage:iib, alive, 789 days 0.1
TCGA-C8-A8HQ-01A 53 years, female, asian, stage:iib, alive, 380 days 0.1
TCGA-OL-A5D8-01A 40 years, female, black or african american, stage:iib, alive, 973 days 0.1
TCGA-E9-A247-01A 59 years, female, white, stage:ia, alive, 1186 days 0.1
TCGA-A8-A08O-01A 45 years, female, stage:iv, alive, 943 days 0.1
TCGA-LD-A66U-01A 44 years, female, white, stage:iib, alive, 646 days 0.1
TCGA-B6-A0WS-01A 58 years, female, black or african american, stage:x, dead, 2965 days 0.1
TCGA-B6-A3ZX-01A 50 years, female, black or african american, stage:iv, dead, 1152 days 0.1
TCGA-EW-A1P7-01A 59 years, female, white, stage:iia, alive, 915 days 0.1
TCGA-AR-A24Q-01A 49 years, female, white, stage:iib, alive, 3172 days 0.1
TCGA-E9-A229-01A 37 years, female, white, stage:ia, alive, 1148 days 0.1
TCGA-AO-A12G-01A 75 years, female, white, stage:iia, alive, 1639 days 0.1
TCGA-D8-A3Z5-01A 54 years, female, white, stage:iiic, alive, 1015 days 0.1
TCGA-BH-A0E1-01A 52 years, female, white, stage:iib, alive, 477 days 0.1
TCGA-AN-A0FX-01A 52 years, female, white, stage:iia, alive, 10 days 0.1
TCGA-E9-A1NC-01A 61 years, female, white, stage:iib, alive, 1203 days 0.1
TCGA-B6-A0IM-01A 75 years, female, black or african american, stage:iib, dead, 3873 days 0.1
TCGA-AC-A23G-01A 76 years, female, white, stage:iia, alive, 2248 days 0.1
TCGA-A1-A0SN-01A 50 years, female, white, stage:iia, alive, 1196 days 0.1
TCGA-AQ-A54O-01A 51 years, male, black or african american, stage:iia, alive, 1001 days 0.1
TCGA-D8-A1XD-01A 37 years, female, white, stage:iiia, alive, 522 days 0.1
TCGA-MS-A51U-01A 44 years, female, white, stage:iib, alive, 681 days 0.1
TCGA-EW-A1PF-01A 50 years, female, white, stage:ia, alive, 439 days 0.1
TCGA-E2-A1IJ-01A 57 years, female, white, stage:i, alive, 865 days 0.1
TCGA-EW-A423-01A 75 years, female, white, stage:iia, alive, 533 days 0.1
TCGA-E2-A15E-01A 40 years, female, white, stage:iia, alive, 630 days 0.1
TCGA-BH-A18M-01A 39 years, female, white, stage:iiia, dead, 2207 days 0.1
TCGA-A2-A0CW-01A 67 years, female, white, stage:iib, alive, 3283 days 0.1
TCGA-D8-A13Y-01A 52 years, female, white, stage:ia, alive, 1728 days 0.1
TCGA-AR-A24K-01A 46 years, female, white, stage:iia, alive, 1548 days 0.1
TCGA-BH-A0HQ-01A 56 years, female, white, stage:iia, alive, 1121 days 0.1
TCGA-A8-A08A-01A 89 years, female, stage:i, alive, 30 days 0.1
TCGA-S3-AA0Z-01A 63 years, female, black or african american, stage:iib, alive, 629 days 0.1
TCGA-A8-A076-01A 66 years, female, stage:iia, alive, 1642 days 0.1
TCGA-AC-A3TN-01A 75 years, female, white, stage:iib, alive, 456 days 0.1
TCGA-A8-A08I-01A 53 years, female, stage:iia, alive, 365 days 0.1
TCGA-AN-A0XP-01A 69 years, female, white, stage:iiia, alive, 9 days 0.1
TCGA-LL-A5YM-01A 88 years, female, black or african american, stage:iiib, alive, 466 days 0.1
TCGA-A2-A0EY-01A 62 years, female, white, stage:iib, alive, 1925 days 0.1
TCGA-GM-A4E0-01A 67 years, female, white, stage:iiic, alive, 2191 days 0.1
TCGA-D8-A1JN-01A 80 years, female, white, stage:iiic, alive, 620 days 0.1
TCGA-S3-AA17-01A 64 years, female, black or african american, stage:iib, alive, 424 days 0.1
TCGA-A8-A08T-01A 64 years, female, stage:iv, dead, 3409 days 0.1
TCGA-E2-A108-01A 64 years, female, white, stage:iiia, alive, 837 days 0.1
TCGA-AO-A0J7-01A 72 years, female, white, stage:iib, alive, 618 days 0.1
TCGA-XX-A899-01A 46 years, female, white, stage:iiia, alive, 467 days 0.1
TCGA-A7-A3J1-01A 63 years, female, white, stage:ia, alive, 343 days 0.1
TCGA-E9-A243-01A 52 years, female, white, stage:iia, alive, 612 days 0.1
TCGA-A8-A097-01A 65 years, female, stage:iib, alive, 365 days 0.1
TCGA-PE-A5DC-01A 72 years, female, white, stage:iiia, dead, 1430 days 0.1
TCGA-BH-A18T-01A 70 years, female, white, stage:iia, dead, 224 days 0.1
TCGA-A7-A5ZW-01A 48 years, female, black or african american, stage:iia, alive, 326 days 0.1
TCGA-BH-A0HX-01A 54 years, female, white, stage:iib, alive, 829 days 0.1
TCGA-D8-A27R-01A 41 years, female, white, stage:iiic, alive, 307 days 0.1
TCGA-GM-A2DC-01A 57 years, female, white, stage:iia, alive, 2535 days 0.1
TCGA-A8-A07S-01A 73 years, female, stage:iia, alive, 243 days 0.1
TCGA-B6-A0WW-01A 58 years, female, black or african american, stage:x, dead, 558 days 0.1
TCGA-A1-A0SM-01A 77 years, male, white, stage:iia, alive, 242 days 0.1
TCGA-EW-A1PB-01A 70 years, female, black or african american, stage:iiia, alive, 608 days 0.1
TCGA-AO-A1KR-01A 51 years, female, white, stage:iia, alive, 2513 days 0.1
TCGA-AO-A12C-01A 42 years, female, white, stage:iib, alive, 2372 days 0.1
TCGA-E2-A105-01A 79 years, female, white, stage:iia, alive, 1308 days 0.1
TCGA-B6-A0RV-01A 42 years, female, white, stage:iiia, alive, 5156 days 0.1
TCGA-B6-A0RU-01A 40 years, female, white, stage:ia, alive, 8605 days 0.1
TCGA-EW-A1J1-01A 38 years, female, white, stage:iib, alive, 575 days 0.1
TCGA-OL-A5S0-01A 66 years, female, black or african american, stage:iib, alive, 620 days 0.1
TCGA-E2-A152-01A 56 years, female, white, stage:i, alive, 2128 days 0.1
TCGA-E9-A1RF-01A 68 years, female, white, stage:iiia, alive, 200 days 0.1
TCGA-C8-A1HM-01A 74 years, female, asian, stage:iia, alive, 375 days 0.1
TCGA-A1-A0SQ-01A 45 years, female, white, stage:iib, alive, 554 days 0.1
TCGA-AC-A6IV-01A 48 years, female, white, stage:iib, alive, 568 days 0.1
TCGA-E9-A1RA-01A 48 years, female, white, stage:ia, alive, 1369 days 0.1
TCGA-A7-A6VY-01A 48 years, female, black or african american, stage:iib, alive, 266 days 0.1
TCGA-E9-A1RE-01A 75 years, female, white, stage:iiia, alive, 1419 days 0.1
TCGA-AR-A0TQ-01A 27 years, female, white, stage:iiia, alive, 2991 days 0.1
TCGA-AR-A255-01A 62 years, female, white, stage:i, alive, 2161 days 0.1
TCGA-AC-A2FK-01A 45 years, female, white, stage:iiic, alive, 2650 days 0.1
TCGA-AN-A0XV-01A 67 years, female, white, stage:iiia, alive, 162 days 0.1
TCGA-AC-A7VC-01A 56 years, female, white, stage:iib, alive, 1 days 0.1
TCGA-E2-A15M-01A 66 years, female, white, stage:iia, dead, 336 days 0.1
TCGA-E9-A1R6-01A 63 years, female, white, stage:iia, alive, 339 days 0.1
TCGA-AO-A0JF-01A 68 years, female, white, stage:iia, alive, 1980 days 0.1
TCGA-A7-A13F-01A 44 years, female, white, stage:iiia, alive, 765 days 0.1
TCGA-E2-A15H-01A 38 years, female, white, stage:iia, alive, 393 days 0.1
TCGA-A2-A0ST-01A 62 years, female, white, stage:iia, alive, 3017 days 0.1
TCGA-E2-A14Q-01A 50 years, female, white, stage:iib, alive, 1163 days 0.1
TCGA-E2-A576-01A 69 years, female, black or african american, stage:ia, alive, 1043 days 0.1
TCGA-Z7-A8R6-01A 46 years, female, white, stage:i, alive, 3256 days 0.1
TCGA-BH-A0HW-01A 62 years, female, asian, stage:ia, alive, 1561 days 0.1
TCGA-E2-A153-01A 51 years, female, white, stage:iib, alive, 707 days 0.1
TCGA-A8-A092-01A 48 years, female, stage:iiia, alive, 942 days 0.1
TCGA-AR-A2LJ-01A 40 years, female, white, stage:iiia, alive, 2632 days 0.1
TCGA-A2-A0EU-01A 79 years, female, white, stage:ia, alive, 1043 days 0.1
TCGA-D8-A143-01A 52 years, female, white, stage:iia, alive, 431 days 0.1
TCGA-AO-A0JE-01A 53 years, female, black or african american, stage:iiia, alive, 2335 days 0.1
TCGA-A2-A0CY-01A 63 years, female, white, stage:iib, alive, 1673 days 0.1
TCGA-BH-A0HA-01A 31 years, female, white, stage:i, alive, 1611 days 0.1
TCGA-W8-A86G-01A 66 years, female, white, stage:iia, alive, 347 days 0.1
TCGA-AN-A0XN-01A 68 years, female, white, stage:iiia, alive, 10 days 0.1
TCGA-AO-A126-01A 39 years, female, asian, stage:iia, alive, 3307 days 0.1
TCGA-A2-A25A-01A 44 years, female, white, stage:iia, alive, 3276 days 0.1
TCGA-AN-A04C-01A 51 years, female, white, stage:iib, alive, 54 days 0.1
TCGA-A2-A0SY-01A 62 years, female, white, stage:iiia, alive, 1347 days 0.1
TCGA-A2-A04Y-01A 53 years, female, white, stage:iib, alive, 1099 days 0.1
TCGA-LL-A73Y-01A 67 years, female, black or african american, stage:ia, alive, 477 days 0.1
TCGA-D8-A145-01A 80 years, female, white, stage:iia, alive, 410 days 0.1
TCGA-AR-A24O-01A 43 years, female, white, stage:iiia, alive, 3607 days 0.1
TCGA-E9-A244-01A 54 years, female, white, stage:iia, alive, 21 days 0.1
TCGA-BH-A1FL-01A 70 years, female, white, stage:iib, dead, 1673 days 0.1
TCGA-GM-A2DK-01A 58 years, female, white, stage:i, alive, 2645 days 0.1
TCGA-A8-A07R-01A 80 years, female, stage:iiic, alive, 273 days 0.1
TCGA-AR-A256-01A 45 years, female, white, stage:iia, dead, 2854 days 0.1
TCGA-E2-A109-01A 64 years, female, white, stage:iia, alive, 1417 days 0.1
TCGA-BH-A0BJ-01A 41 years, female, white, stage:iib, alive, 660 days 0.1
TCGA-E2-A10A-01A 41 years, female, white, stage:iib, alive, 1229 days 0.1
TCGA-AR-A2LE-01A 69 years, female, white, stage:i, alive, 5062 days 0.1
TCGA-BH-A0H9-01A 69 years, female, white, stage:iia, alive, 1247 days 0.1
TCGA-B6-A0RT-01A 39 years, female, white, stage:iiia, alive, 2721 days 0.1
TCGA-E2-A14N-01A 37 years, female, white, stage:iib, alive, 1434 days 0.1
TCGA-A2-A1FW-01A 62 years, female, white, stage:iiia, alive, 528 days 0.1
TCGA-D8-A27P-01A 64 years, female, white, stage:ia, alive, 49 days 0.1
TCGA-D8-A1J9-01A 48 years, female, white, stage:ia, alive, 532 days 0.1
TCGA-E9-A1R7-01A 64 years, female, white, stage:iia, alive, 1467 days 0.1
TCGA-B6-A0IK-01A 63 years, female, white, stage:iiib, dead, 571 days 0.1
TCGA-AO-A1KO-01A 46 years, female, white, stage:iib, alive, 622 days 0.1
TCGA-B6-A0RH-01A 51 years, female, black or african american, stage:iia, dead, 6456 days 0.1
TCGA-A2-A4S3-01A 59 years, female, black or african american, stage:iib, alive, 666 days 0.1
TCGA-BH-A42U-01A 80 years, female, black or african american, stage:iia, alive, 3364 days 0.1
TCGA-D8-A1JG-01B 62 years, female, white, stage:iia, alive, 1612 days 0.1
TCGA-BH-A1FG-01A 88 years, female, white, stage:i, dead, 3736 days 0.1
TCGA-B6-A0IA-01A 51 years, female, white, stage:iia, alive, 8391 days 0.1
TCGA-A8-A0A4-01A 73 years, female, stage:iia, alive, 396 days 0.1
TCGA-A2-A0T0-01A 59 years, female, white, stage:iib, alive, 533 days 0.1
TCGA-BH-A18H-01A 63 years, female, white, stage:ia, alive, 652 days 0.1
TCGA-A8-A0A1-01A 84 years, female, stage:iia, alive, 365 days 0.1
TCGA-A2-A3XZ-01A 46 years, female, black or african american, stage:i, alive, 1532 days 0.1
TCGA-AC-A23C-01A 62 years, female, white, stage:iib, alive, 585 days 0.1
TCGA-5L-AAT1-01A 63 years, female, white, stage:iv, alive, 1471 days 0.1
TCGA-AO-A03M-01B 29 years, female, white, stage:i, alive, 1866 days 0.1
TCGA-B6-A402-01A 47 years, female, black or african american, stage:i, alive, 2134 days 0.1
TCGA-A2-A04U-01A 47 years, female, white, stage:iia, alive, 2654 days 0.1
TCGA-AO-A03U-01B 31 years, female, white, stage:i, dead, 1793 days 0.1
TCGA-A2-A4RY-01A 47 years, female, white, stage:iiic, alive, 648 days 0.1
TCGA-OL-A66I-01A 36 years, female, black or african american, stage:iia, alive, 714 days 0.1
TCGA-AC-A3W6-01A 90 years, female, white, stage:iiia, alive, 602 days 0.1
TCGA-5L-AAT0-01A 42 years, female, white, stage:iia, alive, 1477 days 0.1
TCGA-A8-A06U-01A 80 years, female, stage:iib, dead, 883 days 0.1
TCGA-BH-A0BP-01A 76 years, female, white, stage:i, dead, 2296 days 0.1
TCGA-A2-A0CU-01A 73 years, female, white, stage:iia, dead, 158 days 0.1
TCGA-B6-A1KI-01A 63 years, female, white, stage:i, alive, 2236 days 0.1
TCGA-S3-AA14-01A 47 years, female, black or african american, stage:i, alive, 529 days 0.1
TCGA-AN-A0XW-01A 36 years, female, white, stage:iiia, alive, 170 days 0.1
TCGA-D8-A4Z1-01A 68 years, female, white, stage:ia, alive, 659 days 0.1
TCGA-BH-A1FD-01A 68 years, female, white, stage:i, dead, 1009 days 0.1
TCGA-A8-A09A-01A 40 years, female, stage:x, alive, 304 days 0.1
TCGA-BH-A0BM-01A 54 years, female, white, stage:iib, alive, 1876 days 0.1
TCGA-BH-A0B4-01A 65 years, male, white, stage:iiia, alive, 1191 days 0.1
TCGA-EW-A6SB-01A 62 years, female, black or african american, stage:ii, alive, 760 days 0.1
TCGA-A8-A07J-01A 35 years, female, stage:iib, alive, 365 days 0.1
TCGA-E2-A15L-01A 65 years, female, black or african american, stage:iia, alive, 626 days 0.1
TCGA-BH-A1FM-01A 44 years, female, white, stage:iiia, dead, 1388 days 0.1
TCGA-AO-A0JD-01A 59 years, female, white, stage:iiia, alive, 2190 days 0.1
TCGA-A8-A09K-01A 68 years, female, stage:iia, alive, 912 days 0.1
TCGA-GM-A2D9-01A 69 years, female, white, stage:i, dead, 1812 days 0.1
TCGA-A2-A259-01A 70 years, female, black or african american, stage:i, alive, 1596 days 0.1
TCGA-PE-A5DD-01A 64 years, female, asian, stage:iia, alive, 1953 days 0.1
TCGA-AR-A1AY-01A 65 years, female, white, stage:i, alive, 1026 days 0.1
TCGA-S3-AA11-01A 67 years, female, black or african american, stage:iia, alive, 421 days 0.1
TCGA-A2-A0CZ-01A 46 years, female, white, stage:iia, alive, 1616 days 0.1
TCGA-AR-A1AL-01A 60 years, female, white, stage:iiia, alive, 2971 days 0.1
TCGA-GM-A2DH-01A 58 years, female, white, stage:i, alive, 2193 days 0.1
TCGA-E2-A14W-01A 78 years, male, white, stage:iia, alive, 974 days 0.1
TCGA-E9-A227-01A 42 years, female, white, stage:iib, alive, 975 days 0.1
TCGA-A2-A1G6-01A 50 years, female, white, stage:iiia, alive, 501 days 0.1
TCGA-D8-A27I-01A 58 years, female, white, stage:iiia, alive, 439 days 0.1
TCGA-OL-A5RU-01A 63 years, female, black or african american, stage:iia, alive, 1219 days 0.1
TCGA-BH-A5IZ-01A 51 years, female, black or african american, stage:iib, alive, 567 days 0.1
TCGA-E9-A6HE-01A 45 years, female, white, stage:iiic, alive, 847 days 0.1
TCGA-AO-A0J9-01A 62 years, female, white, stage:iiic, alive, 1613 days 0.1
TCGA-A2-A0ET-01A 58 years, female, white, stage:iiia, alive, 1066 days 0.1
TCGA-C8-A1HG-01A female, asian, stage:iia, alive, 345 days 0.1
TCGA-AC-A62X-01A 72 years, female, black or african american, stage:iia, alive, 417 days 0.1
TCGA-BH-A0DI-01A 63 years, female, white, stage:iib, alive, 912 days 0.1
TCGA-AC-A8OP-01A 72 years, female, black or african american, stage:ia, alive, 614 days 0.1
TCGA-E2-A14P-01A 79 years, female, white, stage:iiic, alive, 1246 days 0.1
TCGA-EW-A1IZ-01A 53 years, female, white, stage:iiia, alive, 554 days 0.1
TCGA-AR-A1AU-01A 39 years, female, white, stage:iiia, alive, 2868 days 0.1
TCGA-A2-A0T1-01A 55 years, female, american indian or alaska native, stage:iiic, alive, 521 days 0.1
TCGA-A7-A426-01A 50 years, female, white, stage:iiic, alive, 364 days 0.1
TCGA-AR-A0U0-01A 73 years, female, white, stage:iib, alive, 1988 days 0.1
TCGA-AR-A5QN-01A 68 years, female, white, stage:iiic, alive, 1013 days 0.1
TCGA-BH-A1FB-01A 60 years, female, white, stage:iib, dead, 3669 days 0.1
TCGA-E9-A1R3-01A 70 years, female, white, stage:iiic, alive, 78 days 0.1
TCGA-BH-A0AW-01A 56 years, female, white, stage:iia, alive, 622 days 0.1
TCGA-B6-A0RE-01A 61 years, female, black or african american, stage:x, alive, 7777 days 0.1
TCGA-E9-A1N8-01A 48 years, female, white, stage:iia, alive, 1039 days 0.1
TCGA-A2-A04P-01A 36 years, female, black or african american, stage:iiic, dead, 548 days 0.1
TCGA-LL-A740-01A 61 years, female, black or african american, stage:ia, alive, 441 days 0.1
TCGA-AR-A5QM-01A 62 years, female, white, stage:iia, alive, 2231 days 0.1
TCGA-A8-A07B-01A 69 years, female, stage:iia, alive, 1308 days 0.1
TCGA-AR-A1AV-01A 68 years, male, white, stage:iib, alive, 1864 days 0.1
TCGA-BH-A0HU-01A 52 years, female, white, stage:ia, alive, 392 days 0.1
TCGA-C8-A137-01A 34 years, female, asian, stage:iib, alive, 379 days 0.1
TCGA-E2-A15I-01A 44 years, female, white, stage:iia, alive, 1692 days 0.1
TCGA-BH-A0DG-01A 30 years, female, black or african american, stage:iia, alive, 2041 days 0.1
TCGA-GI-A2C8-01A 63 years, female, white, stage:iiib, alive, 225 days 0.1
TCGA-C8-A273-01A female, asian, stage:iib, alive, 513 days 0.1
TCGA-BH-A0DV-01A 54 years, female, white, stage:iiia, alive, 2064 days 0.1
TCGA-E9-A1N6-01A 52 years, female, white, stage:iib, dead, 678 days 0.1
TCGA-A1-A0SE-01A 56 years, female, white, stage:i, alive, 1321 days 0.1
TCGA-E2-A1L7-01A 40 years, female, white, stage:iiia, alive, 1836 days 0.1
TCGA-D8-A1Y2-01A 71 years, female, white, stage:iia, alive, 433 days 0.1
TCGA-BH-A209-01A 77 years, female, black or african american, stage:i, dead, 3959 days 0.1
TCGA-AC-A3BB-01A 46 years, female, black or african american, stage:iiia, alive, 987 days 0.1
TCGA-A7-A0CD-01A 66 years, female, white, stage:i, alive, 1165 days 0.1
TCGA-AQ-A54N-01A 51 years, female, black or african american, stage:iia, alive, 78 days 0.1
TCGA-EW-A1IX-01A 48 years, female, asian, stage:iia, alive, 1208 days 0.1
TCGA-A8-A06Q-01A 63 years, female, stage:iiia, alive, 31 days 0.1
TCGA-A7-A56D-01A 84 years, female, black or african american, stage:iia, alive, 448 days 0.1
TCGA-BH-A0AY-01A 62 years, female, white, stage:iia, alive, 777 days 0.1
TCGA-A7-A4SC-01A 63 years, female, white, stage:iib, alive, 446 days 0.1
TCGA-GM-A3XL-01A 49 years, female, black or african american, stage:iia, alive, 2108 days 0.1
TCGA-BH-A0BR-01A 59 years, female, white, stage:i, alive, 2330 days 0.1
TCGA-A8-A07L-01A 58 years, female, stage:iiia, alive, 975 days 0.1
TCGA-E9-A3X8-01A 48 years, female, white, stage:iib, alive, 926 days 0.1
TCGA-A2-A0CM-01A 41 years, female, black or african american, stage:iia, dead, 754 days 0.1
TCGA-D8-A146-01A 57 years, female, white, stage:iia, alive, 643 days 0.1
TCGA-A2-A1FZ-01A 63 years, female, white, stage:iia, alive, 683 days 0.1
TCGA-E2-A1IH-01A 80 years, female, white, stage:i, alive, 1026 days 0.1
TCGA-LQ-A4E4-01A 73 years, female, white, stage:iiia, alive, 849 days 0.1
TCGA-EW-A2FS-01A 41 years, female, black or african american, stage:iib, alive, 1604 days 0.1
TCGA-B6-A0IG-01A 50 years, female, white, stage:iib, dead, 4456 days 0.1
TCGA-GM-A2DL-01A 50 years, female, white, stage:i, alive, 3519 days 0.1
TCGA-A2-A0T6-01A 50 years, female, white, stage:iib, alive, 575 days 0.1
TCGA-BH-A0B6-01A 47 years, female, white, stage:i, alive, 2483 days 0.1
TCGA-AR-A1AJ-01A 83 years, female, white, stage:i, alive, 3072 days 0.1
TCGA-A7-A26J-01A 49 years, female, white, stage:iia, alive, 627 days 0.1
TCGA-BH-A0HP-01A 65 years, female, white, stage:iiia, alive, 414 days 0.1
TCGA-A2-A25D-01A 90 years, female, white, stage:iiic, alive, 552 days 0.1
TCGA-BH-A0BC-01A 60 years, female, white, stage:iiic, alive, 974 days 0.1
TCGA-B6-A0IJ-01A 42 years, female, black or african american, stage:iib, alive, 7106 days 0.1
TCGA-HN-A2OB-01A 45 years, female, stage:iib, dead, 1900 days 0.1
TCGA-BH-A18I-01A 53 years, female, white, stage:iia, alive, 1093 days 0.1
TCGA-AR-A0TX-01A 64 years, female, stage:iia, alive, 1972 days 0.1
TCGA-WT-AB44-01A female, white, stage:ia, alive, 883 days 0.1
TCGA-E2-A1LE-01A 71 years, female, white, stage:iiic, dead, 879 days 0.1
TCGA-BH-A28O-01A 50 years, female, white, stage:iiic, alive, 1120 days 0.1
TCGA-3C-AALJ-01A 62 years, female, black or african american, stage:iib, alive, 1474 days 0.1
TCGA-OL-A6VQ-01A 49 years, female, white, stage:iia, alive, 600 days 0.1
TCGA-3C-AALK-01A 52 years, female, black or african american, stage:ia, alive, 1448 days 0.1
TCGA-D8-A1Y1-01A 80 years, female, white, stage:iiia, dead, 302 days 0.1
TCGA-EW-A6S9-01A 34 years, female, black or african american, stage:iia, alive, 463 days 0.1
TCGA-A1-A0SF-01A 54 years, female, white, stage:iia, alive, 1463 days 0.1
TCGA-AN-A0AL-01A 41 years, female, white, stage:iiib, alive, 227 days 0.1
TCGA-A8-A06X-01A 77 years, female, stage:iib, dead, 943 days 0.1
TCGA-A7-A0DB-01A 56 years, female, white, stage:iia, alive, 1007 days 0.1
TCGA-A7-A26H-01A 72 years, female, white, stage:iia, alive, 724 days 0.1
TCGA-D8-A1JS-01A 77 years, female, white, stage:ia, alive, 371 days 0.1
TCGA-EW-A1P8-01A 58 years, female, white, stage:iiic, dead, 239 days 0.1
TCGA-LL-A50Y-01A 84 years, female, white, stage:iia, alive, 762 days 0.1
TCGA-A8-A09M-01A 75 years, female, stage:iiic, alive, 1006 days 0.1
TCGA-A7-A4SA-01A 40 years, female, white, stage:iib, alive, 454 days 0.1
TCGA-B6-A0X1-01A 48 years, female, white, dead, 7455 days 0.1
TCGA-LD-A9QF-01A 73 years, female, black or african american, stage:ia, alive, 323 days 0.1
TCGA-D8-A1XB-01A 62 years, female, white, stage:iib, alive, 552 days 0.1
TCGA-BH-A0HO-01A 48 years, female, white, stage:iia, alive, 76 days 0.1
TCGA-C8-A12V-01A 55 years, female, asian, stage:iia, alive, 385 days 0.1
TCGA-A2-A0EV-01A 80 years, female, white, stage:ia, alive, 968 days 0.1
TCGA-EW-A2FV-01A 39 years, female, white, stage:iiic, alive, 788 days 0.1
TCGA-A2-A0EX-01A 46 years, female, white, stage:iib, alive, 752 days 0.1
TCGA-A2-A1FX-01A 61 years, female, white, stage:iiia, alive, 1847 days 0.1
TCGA-BH-A0H6-01A 82 years, female, white, stage:i, alive, 747 days 0.1
TCGA-A8-A09X-01A 62 years, female, stage:iiic, dead, 426 days 0.1
TCGA-AQ-A04J-01A 45 years, female, white, stage:iia, alive, 819 days 0.1
TCGA-B6-A0RQ-01A 68 years, female, white, stage:iib, dead, 4267 days 0.1
TCGA-AN-A0XO-01A 59 years, female, white, stage:iiia, alive, 375 days 0.1
TCGA-OL-A5D6-01A 71 years, female, black or african american, stage:iia, dead, 1104 days 0.1
TCGA-BH-A0E7-01A 79 years, female, white, stage:iib, alive, 1363 days 0.1
TCGA-EW-A1PG-01A 53 years, female, white, stage:iib, alive, 1051 days 0.1
TCGA-BH-A0AV-01A 52 years, female, black or african american, stage:i, alive, 1820 days 0.1
TCGA-AN-A049-01A 62 years, female, white, stage:iia, alive, 19 days 0.1
TCGA-AR-A24Z-01A 57 years, female, white, stage:iia, alive, 3001 days 0.1
TCGA-OL-A66L-01A 71 years, female, black or african american, stage:ia, alive, 1301 days 0.1
TCGA-A2-A25B-01A 39 years, female, black or african american, stage:iib, alive, 1291 days 0.1
TCGA-A8-A08J-01A 52 years, female, stage:iv, dead, 1127 days 0.1
TCGA-A7-A13H-01A 62 years, female, white, stage:iib, alive, 899 days 0.1
TCGA-D8-A73U-01A 88 years, female, white, stage:iia, alive, 492 days 0.1
TCGA-D8-A1JD-01A 41 years, female, white, stage:iib, alive, 552 days 0.1
TCGA-GM-A2DI-01A 52 years, female, white, stage:i, alive, 2590 days 0.0
TCGA-S3-AA10-01A 65 years, female, black or african american, stage:iia, alive, 586 days 0.0
TCGA-C8-A3M7-01A 60 years, female, asian, stage:iiib, dead, 1034 days 0.0
TCGA-E9-A22A-01A 74 years, female, white, stage:iia, alive, 1189 days 0.0
TCGA-AC-A23H-01A 90 years, female, white, stage:iia, dead, 174 days 0.0
TCGA-E2-A1B6-01A 44 years, female, white, stage:iia, alive, 867 days 0.0
TCGA-A2-A0CR-01A 55 years, female, asian, stage:iib, alive, 3283 days 0.0
TCGA-A8-A0A7-01A 57 years, female, stage:iib, alive, 30 days 0.0
TCGA-LL-A440-01A 61 years, female, white, stage:ia, alive, 759 days 0.0
TCGA-AN-A0FN-01A 61 years, female, white, stage:ia, alive, 218 days 0.0
TCGA-E2-A1B4-01A 74 years, female, white, stage:iiia, dead, 1004 days 0.0
TCGA-AN-A0AK-01A 76 years, female, white, stage:iia, alive, 224 days 0.0
TCGA-A2-A4RX-01A 67 years, female, black or african american, stage:iia, alive, 742 days 0.0
TCGA-A2-A25F-01A 66 years, female, white, stage:iia, alive, 322 days 0.0
TCGA-E2-A15A-01A 45 years, female, white, stage:iiic, alive, 710 days 0.0
TCGA-AC-A62Y-01A 79 years, female, white, stage:iib, alive, 530 days 0.0
TCGA-A8-A085-01A 44 years, male, stage:iib, alive, 1124 days 0.0
TCGA-A7-A26G-01A 50 years, female, black or african american, stage:iia, alive, 722 days 0.0
TCGA-E2-A14V-01A 53 years, female, white, stage:iib, alive, 1042 days 0.0
TCGA-D8-A1XU-01A 56 years, female, white, stage:ia, alive, 395 days 0.0
TCGA-BH-A0B9-01A 44 years, female, white, stage:ia, alive, 1572 days 0.0
TCGA-XX-A89A-01A 68 years, female, white, stage:iib, alive, 488 days 0.0
TCGA-BH-A6R9-01A 61 years, female, white, stage:iia, alive, 160 days 0.0
TCGA-AC-A2FF-01A female, asian, stage:iib, alive, 2759 days 0.0
TCGA-A2-A0EP-01A 56 years, female, white, stage:i, alive, 3603 days 0.0
TCGA-BH-A18J-01A 56 years, female, white, stage:iv, dead, 612 days 0.0
TCGA-A8-A07F-01A 65 years, female, stage:iib, alive, 577 days 0.0
TCGA-AO-A03V-01A 41 years, female, white, stage:i, alive, 1351 days 0.0
TCGA-D8-A1J8-01A 77 years, female, white, stage:iib, alive, 431 days 0.0
TCGA-AO-A12F-01A 36 years, female, white, stage:iia, alive, 1842 days 0.0
TCGA-LL-A5YO-01A 50 years, female, black or african american, stage:ia, alive, 440 days 0.0
TCGA-LL-A441-01A 62 years, female, black or african american, stage:ia, alive, 996 days 0.0
TCGA-S3-AA15-01A 51 years, female, black or african american, stage:iib, alive, 525 days 0.0
TCGA-C8-A12O-01A 50 years, female, asian, stage:iia, alive, 385 days 0.0
TCGA-A7-A13D-01A 46 years, female, black or african american, stage:iia, alive, 965 days 0.0
TCGA-B6-A1KN-01A 58 years, female, white, stage:iiib, alive, 4233 days 0.0
TCGA-BH-A8G0-01A 54 years, female, white, stage:iib, alive, 662 days 0.0
TCGA-A1-A0SB-01A 70 years, female, white, stage:i, alive, 259 days 0.0
TCGA-C8-A275-01A 56 years, female, asian, stage:iia, alive, 1 days 0.0
TCGA-A7-A26F-01B 55 years, female, white, stage:ia, alive, 738 days 0.0
TCGA-D8-A1XW-01A 53 years, female, white, stage:iia, alive, 1309 days 0.0
TCGA-E9-A248-01A 51 years, female, white, stage:iia, alive, 59 days 0.0
TCGA-GM-A5PV-01A 63 years, female, white, stage:iib, alive, 412 days 0.0
TCGA-B6-A0I9-01A 62 years, female, white, stage:iv, dead, 362 days 0.0
TCGA-BH-A0C7-01B 48 years, female, white, stage:iib, alive, 2767 days 0.0
TCGA-GI-A2C9-01A 58 years, female, black or african american, stage:iib, alive, 3342 days 0.0
TCGA-A8-A07E-01A 81 years, female, stage:x, alive, 608 days 0.0
TCGA-Z7-A8R5-01A 61 years, female, white, stage:iiia, alive, 3287 days 0.0
TCGA-AO-A0JG-01A 49 years, female, white, stage:iiia, alive, 798 days 0.0
TCGA-C8-A130-01A 52 years, female, asian, stage:iiia, alive, 370 days 0.0
TCGA-D8-A27W-01A 55 years, female, white, stage:iiib, alive, 373 days 0.0
TCGA-BH-A0H7-01A 65 years, female, white, stage:iiia, alive, 702 days 0.0
TCGA-E2-A1BC-01A 63 years, female, stage:ia, alive, 501 days 0.0
TCGA-BH-A1FN-01A 34 years, female, white, stage:iia, dead, 2192 days 0.0
TCGA-AC-A5EH-01A 76 years, female, black or african american, stage:iib, alive, 511 days 0.0
TCGA-A1-A0SH-01A 39 years, female, white, stage:iia, alive, 1437 days 0.0
TCGA-AR-A1AO-01A 47 years, female, white, stage:iia, alive, 2618 days 0.0
TCGA-AR-A1AP-01A 80 years, female, white, stage:i, alive, 2856 days 0.0
TCGA-AO-A128-01A 61 years, female, white, stage:iia, alive, 3248 days 0.0
TCGA-AC-A2FO-01A 65 years, female, white, stage:iib, alive, 2255 days 0.0
TCGA-E9-A3Q9-01A 78 years, female, white, stage:iiic, alive, 1001 days 0.0
TCGA-LL-A8F5-01A 61 years, female, black or african american, stage:iia, alive, 596 days 0.0
TCGA-OL-A5D7-01A 70 years, female, black or african american, stage:iia, alive, 1780 days 0.0
TCGA-BH-A1FU-01A 44 years, female, white, stage:ia, dead, 1688 days 0.0
TCGA-AR-A1AS-01A 54 years, female, asian, stage:iib, alive, 1150 days 0.0
TCGA-AC-A2QI-01A 76 years, female, white, stage:iiia, alive, 588 days 0.0
TCGA-AO-A0J2-01A 41 years, female, white, stage:ia, alive, 997 days 0.0
TCGA-LL-A6FR-01A 50 years, female, black or african american, stage:iia, alive, 489 days 0.0
TCGA-B6-A0X7-01A 62 years, female, white, stage:x, dead, 1781 days 0.0
TCGA-D8-A27F-01A 40 years, female, white, stage:iia, alive, 488 days 0.0
TCGA-E9-A1RG-01A 62 years, female, white, stage:iiia, alive, 647 days 0.0
TCGA-B6-A0RS-01A 38 years, female, white, stage:iia, dead, 3063 days 0.0
TCGA-OL-A97C-01A 67 years, female, black or african american, stage:iib, alive, 271 days 0.0
TCGA-AR-A2LN-01A 65 years, female, white, stage:iia, alive, 1161 days 0.0
TCGA-E9-A1N9-01A 58 years, female, white, stage:iia, alive, 1101 days 0.0
TCGA-A1-A0SK-01A 54 years, female, asian, stage:iia, dead, 967 days 0.0
TCGA-LD-A74U-01A 79 years, female, white, stage:iiic, alive, 402 days 0.0
TCGA-EW-A1P1-01A 68 years, female, white, stage:iiic, alive, 1210 days 0.0
TCGA-D8-A1XS-01A 48 years, male, white, stage:iiic, alive, 496 days 0.0
TCGA-A8-A08P-01A 70 years, female, stage:iiia, alive, 943 days 0.0
TCGA-AO-A0JC-01A 64 years, female, white, stage:iia, alive, 1547 days 0.0
TCGA-AN-A0XT-01A 54 years, female, white, stage:iiia, alive, 10 days 0.0
TCGA-D8-A27V-01A 62 years, female, white, stage:iia, alive, 381 days 0.0
TCGA-AO-A0JJ-01A 54 years, female, white, stage:iib, alive, 1887 days 0.0
TCGA-AR-A0TZ-01A 43 years, female, white, dead, 3262 days 0.0
TCGA-AC-A6IW-01A 73 years, female, black or african american, stage:iia, alive, 413 days 0.0
TCGA-D8-A1JU-01A 51 years, female, white, stage:ia, alive, 447 days 0.0
TCGA-LL-A9Q3-01A 69 years, female, white, stage:iiic, alive, 532 days 0.0
TCGA-AN-A0XL-01A 61 years, female, white, stage:iia, alive, 163 days 0.0
TCGA-BH-A18Q-01A 56 years, female, white, stage:iib, dead, 1692 days 0.0
TCGA-E2-A1LS-01A 46 years, female, white, stage:ia, alive, 1604 days 0.0
TCGA-E2-A1LB-01A 41 years, female, black or african american, stage:iib, alive, 2306 days 0.0
TCGA-E2-A14R-01A 62 years, female, white, stage:iia, alive, 1174 days 0.0
TCGA-A8-A084-01A 81 years, female, stage:iib, alive, 458 days 0.0
TCGA-A8-A0A9-01A 80 years, female, stage:iia, alive, 822 days 0.0
TCGA-OL-A66O-01A 39 years, female, black or african american, stage:iib, alive, 528 days 0.0
TCGA-A2-A0EM-01A 73 years, female, white, stage:ia, alive, 3094 days 0.0
TCGA-D8-A1XJ-01A 76 years, female, white, stage:iiia, alive, 663 days 0.0
TCGA-C8-A1HK-01A female, asian, stage:iib, alive, 366 days 0.0
TCGA-AC-A2QJ-01A 48 years, female, white, stage:iiib, dead, 446 days 0.0
TCGA-BH-A42V-01A 41 years, female, black or african american, stage:ib, alive, 635 days 0.0
TCGA-BH-A18N-01A 88 years, female, white, stage:iia, dead, 1148 days 0.0
TCGA-BH-A1FC-01A 78 years, female, black or african american, stage:iia, dead, 3472 days 0.0
TCGA-D8-A1XZ-01A 81 years, female, white, stage:iiia, alive, 466 days 0.0
TCGA-A2-A0CO-01A 86 years, female, white, stage:iib, dead, 3492 days 0.0
TCGA-AN-A0FS-01A 55 years, female, white, stage:ia, alive, 210 days 0.0
TCGA-A2-A3XW-01A 42 years, female, black or african american, stage:iib, alive, 1712 days 0.0
TCGA-E9-A22E-01A 56 years, female, white, stage:iiia, alive, 1269 days 0.0
TCGA-E2-A572-01A 72 years, female, black or african american, stage:iiia, alive, 1208 days 0.0
TCGA-BH-A18L-01A 50 years, female, white, stage:iiia, dead, 811 days 0.0
TCGA-AN-A04A-01A 36 years, female, white, stage:iiia, alive, 90 days 0.0
TCGA-OL-A5RZ-01A 57 years, female, black or african american, stage:ia, alive, 679 days 0.0
TCGA-E9-A5FL-01A 65 years, female, white, stage:iib, alive, 24 days 0.0
TCGA-BH-A0DE-01A 62 years, female, white, stage:iia, alive, 2372 days 0.0
TCGA-D8-A1JM-01A 59 years, female, white, stage:iib, alive, 590 days 0.0
TCGA-AO-A0J5-01A 48 years, female, white, stage:iv, dead, 792 days 0.0
TCGA-A2-A3XV-01A 46 years, female, black or african american, stage:iia, alive, 996 days 0.0
TCGA-B6-A0I1-01A 73 years, female, black or african american, stage:iia, dead, 2361 days 0.0
TCGA-E2-A159-01A 51 years, female, white, stage:iia, alive, 762 days 0.0
TCGA-E2-A1LL-01A 74 years, female, black or african american, stage:iiia, alive, 1309 days 0.0
TCGA-BH-A0HY-01A 60 years, female, white, stage:i, alive, 1545 days 0.0
TCGA-AR-A2LQ-01A 59 years, female, white, stage:iib, alive, 1233 days 0.0
TCGA-B6-A0RM-01A 57 years, female, black or african american, stage:x, dead, 2373 days 0.0
TCGA-AN-A0FZ-01A 45 years, female, white, stage:iiia, alive, 10 days 0.0
TCGA-AR-A24M-01A 38 years, female, white, stage:iiia, alive, 3660 days 0.0
TCGA-AN-A0XR-01A 55 years, female, white, stage:iiia, alive, 10 days 0.0
TCGA-BH-A0DX-01A 62 years, female, white, stage:i, alive, 2156 days 0.0
TCGA-E2-A3DX-01A 43 years, female, white, stage:iiic, alive, 1325 days 0.0
TCGA-EW-A3E8-01B 60 years, female, white, stage:iib, alive, 1035 days 0.0
TCGA-A2-A0EO-01A 54 years, female, white, stage:ia, alive, 2442 days 0.0
TCGA-BH-A0RX-01A 59 years, female, white, stage:iia, alive, 170 days 0.0
TCGA-A2-A3XY-01A 49 years, female, black or african american, stage:iib, dead, 1093 days 0.0
TCGA-A2-A04V-01A 39 years, female, white, stage:iia, dead, 1920 days 0.0
TCGA-LL-A5YP-01A 49 years, female, black or african american, stage:iib, alive, 450 days 0.0
TCGA-EW-A1J2-01A 50 years, female, black or african american, alive, 403 days 0.0
TCGA-BH-A0DH-01A 64 years, female, white, stage:iib, alive, 1156 days 0.0
TCGA-E2-A1B5-01A 46 years, female, white, stage:iia, alive, 984 days 0.0
TCGA-A8-A07I-01A 69 years, female, stage:iiia, alive, 426 days 0.0
TCGA-EW-A1OY-01A 63 years, female, white, stage:iia, alive, 908 days 0.0
TCGA-A7-A4SF-01A 54 years, female, black or african american, stage:iia, alive, 545 days 0.0
TCGA-C8-A131-01A 82 years, female, asian, stage:iiia, alive, 411 days 0.0
TCGA-BH-A0BO-01A 54 years, female, white, stage:i, alive, 2197 days 0.0
TCGA-LL-A5YN-01A 46 years, female, black or african american, stage:iia, alive, 447 days 0.0
TCGA-BH-A0HF-01A 77 years, female, white, stage:ia, alive, 727 days 0.0
TCGA-AR-A2LH-01A 55 years, female, white, stage:iii, dead, 616 days 0.0
TCGA-AN-A041-01A 29 years, female, white, stage:iib, alive, 7 days 0.0
TCGA-A8-A07C-01A 57 years, female, stage:iia, alive, 1034 days 0.0
TCGA-LL-A6FQ-01A 77 years, female, black or african american, stage:iiia, alive, 80 days 0.0
TCGA-AR-A24V-01A 52 years, female, white, stage:iib, alive, 3203 days 0.0
TCGA-C8-A1HL-01A female, asian, stage:iiia, alive, 317 days 0.0
TCGA-A8-A086-01A 59 years, female, stage:iia, alive, 396 days 0.0
TCGA-A2-A0D4-01A 37 years, female, black or african american, stage:iib, alive, 767 days 0.0
TCGA-E2-A1IO-01A 37 years, female, white, stage:i, alive, 1855 days 0.0
TCGA-AR-A24S-01A 61 years, female, white, stage:i, alive, 2976 days 0.0
TCGA-B6-A0IE-01A 38 years, female, black or african american, stage:iiia, dead, 1993 days 0.0
TCGA-E9-A24A-01A 69 years, female, white, stage:iia, alive, 747 days 0.0
TCGA-LL-A6FP-01A 90 years, female, white, stage:iia, alive, 677 days 0.0
TCGA-A2-A3XT-01A 45 years, female, black or african american, stage:iib, alive, 2770 days 0.0
TCGA-AN-A04D-01A 58 years, female, white, stage:iib, alive, 52 days 0.0
TCGA-C8-A135-01A 64 years, female, asian, stage:iib, alive, 393 days 0.0
TCGA-S3-A6ZG-01A 71 years, female, black or african american, stage:iib, alive, 562 days 0.0
TCGA-A8-A06O-01A 60 years, female, stage:i, alive, 396 days 0.0
TCGA-BH-A18G-01A 81 years, female, white, stage:ia, alive, 149 days 0.0
TCGA-E9-A1R0-01A 58 years, female, white, stage:iia, alive, 860 days 0.0
TCGA-D8-A27G-01A 75 years, female, white, stage:iia, alive, 409 days 0.0
TCGA-E2-A107-01A 54 years, female, white, stage:iiia, alive, 1047 days 0.0
TCGA-BH-A0BA-01A 51 years, female, white, stage:iiic, alive, 1132 days 0.0
TCGA-D8-A1XQ-01A 69 years, female, white, stage:iia, alive, 499 days 0.0
TCGA-B6-A0IP-01A 74 years, female, white, stage:ia, dead, 3926 days 0.0
TCGA-E2-A1B0-01A 50 years, female, white, stage:iiia, alive, 1631 days 0.0
TCGA-E2-A158-01A 43 years, female, white, stage:iia, alive, 450 days 0.0
TCGA-AO-A03P-01A 54 years, female, black or african american, stage:iib, dead, 2911 days 0.0
TCGA-A2-A04Q-01A 48 years, female, white, stage:ia, alive, 2385 days 0.0
TCGA-AN-A03X-01A 74 years, female, white, stage:iia, alive, 10 days 0.0
TCGA-EW-A1OZ-01A 56 years, female, black or african american, stage:iia, alive, 1229 days 0.0
TCGA-AN-A0FT-01A 63 years, female, white, stage:iib, alive, 214 days 0.0
TCGA-A2-A1G1-01A 85 years, female, white, stage:iib, alive, 584 days 0.0
TCGA-C8-A12W-01A 49 years, female, asian, stage:iiib, alive, 385 days 0.0
TCGA-BH-A1EN-01A 78 years, female, white, stage:iia, dead, 2127 days 0.0
TCGA-A2-A4S2-01A 62 years, female, white, stage:iiia, alive, 643 days 0.0
TCGA-AR-A1AR-01A 50 years, female, white, stage:iiia, dead, 524 days 0.0
TCGA-BH-A0B1-01A 66 years, female, white, stage:iib, alive, 1148 days 0.0
TCGA-A2-A04T-01A 62 years, female, white, stage:iia, alive, 2246 days 0.0
TCGA-AC-A5XS-01A 74 years, female, white, stage:iia, alive, 588 days 0.0
TCGA-EW-A1J3-01A 61 years, female, white, stage:ia, alive, 504 days 0.0
TCGA-GM-A2DB-01A 62 years, female, white, stage:iia, alive, 2406 days 0.0
TCGA-AO-A129-01A 29 years, female, white, stage:iib, alive, 3286 days 0.0
TCGA-JL-A3YW-01A female, asian, stage:iib, alive, 360 days 0.0
TCGA-PL-A8LZ-01A 29 years, female, black or african american, stage:iiib, alive, 302 days 0.0
TCGA-A8-A06Z-01A 84 years, female, stage:iib, alive, 31 days 0.0
TCGA-E9-A1RB-01A 40 years, female, white, stage:iia, dead, 976 days 0.0
TCGA-BH-A0DZ-01A 43 years, female, white, stage:iib, alive, 495 days 0.0
TCGA-AC-A8OS-01A 71 years, female, white, stage:iia, alive, 70 days 0.0
TCGA-AR-A0TU-01A 35 years, female, stage:iia, alive, 709 days 0.0
TCGA-D8-A1XK-01A 55 years, female, white, stage:iib, alive, 441 days 0.0
TCGA-A8-A06R-01A 69 years, female, stage:iib, alive, 547 days 0.0
TCGA-AO-A0JM-01A 40 years, female, stage:iib, alive, 2184 days 0.0
TCGA-BH-A1F2-01A 53 years, female, white, stage:iiib, dead, 959 days 0.0
TCGA-D8-A3Z6-01A 56 years, female, white, stage:iiic, alive, 563 days 0.0
TCGA-BH-A0DL-01A 64 years, female, white, stage:iia, alive, 2381 days 0.0
TCGA-EW-A3U0-01A 61 years, female, black or african american, stage:iiia, alive, 532 days 0.0
TCGA-B6-A0I2-01A 45 years, female, white, stage:ia, alive, 4361 days 0.0
TCGA-A2-A0YF-01A 67 years, female, black or african american, stage:i, alive, 1535 days 0.0
TCGA-A8-A079-01A 69 years, female, stage:iiib, alive, 274 days 0.0
TCGA-A1-A0SI-01A 52 years, female, white, stage:iib, alive, 635 days 0.0
TCGA-OL-A66J-01A 80 years, female, white, stage:i, alive, 1996 days 0.0
TCGA-A7-A6VV-01A 51 years, female, black or african american, stage:iia, alive, 313 days 0.0
TCGA-AN-A0FV-01A 58 years, female, white, stage:iia, alive, 10 days 0.0
TCGA-AN-A0AS-01A 70 years, female, white, stage:iiia, alive, 10 days 0.0
TCGA-OL-A66P-01A 75 years, female, black or african american, stage:iia, alive, 428 days 0.0
TCGA-A2-A0T3-01A 37 years, female, white, stage:ib, alive, 1516 days 0.0
TCGA-A7-A425-01A 70 years, female, white, stage:iiic, alive, 447 days 0.0
TCGA-AN-A0XS-01A 63 years, female, white, stage:iiia, alive, 10 days 0.0
TCGA-A2-A0D1-01A 76 years, female, white, stage:iia, alive, 1051 days 0.0
TCGA-D8-A13Z-01A 51 years, female, white, alive, 635 days 0.0
TCGA-E2-A15O-01A 89 years, female, black or african american, stage:i, alive, 1545 days 0.0
TCGA-C8-A26Y-01A 90 years, female, asian, stage:iia, alive, 394 days 0.0
TCGA-A2-A0CX-01A 52 years, female, white, stage:iia, alive, 1728 days 0.0
TCGA-AC-A2FG-01A 80 years, female, white, stage:iib, alive, 1853 days 0.0
TCGA-BH-A18F-01A 50 years, female, white, stage:iia, alive, 1001 days 0.0
TCGA-BH-A6R8-01A 46 years, female, black or african american, stage:iia, alive, 293 days 0.0
TCGA-C8-A26W-01A 58 years, female, asian, stage:iib, alive, 381 days 0.0
TCGA-AR-A1AN-01A 46 years, female, white, stage:iia, alive, 2920 days 0.0
TCGA-BH-A208-01A 48 years, female, white, stage:iib, dead, 1759 days 0.0
TCGA-BH-A0C0-01A 63 years, female, white, stage:iia, alive, 1270 days 0.0
TCGA-BH-A0EE-01A 68 years, female, white, stage:iib, alive, 943 days 0.0
TCGA-AN-A0XU-01A 54 years, female, white, stage:iia, alive, 10 days 0.0
TCGA-AN-A046-01A 68 years, female, white, stage:iia, alive, 10 days 0.0
TCGA-GM-A3NW-01A 63 years, female, white, stage:iia, alive, 3361 days 0.0
TCGA-AC-A2B8-01A 84 years, female, white, stage:iib, alive, 677 days 0.0
TCGA-E2-A1L8-01A 52 years, female, black or african american, stage:iib, alive, 2240 days 0.0
TCGA-A7-A4SD-01A 52 years, female, black or african american, stage:iia, alive, 441 days 0.0
TCGA-C8-A26X-01A 58 years, female, asian, stage:iia, alive, 376 days 0.0
TCGA-E9-A22D-01A 38 years, female, white, stage:iia, alive, 1248 days 0.0
TCGA-E9-A1RH-01A 63 years, female, white, stage:iia, alive, 1417 days 0.0
TCGA-GM-A2DO-01A 54 years, female, black or african american, stage:i, alive, 2596 days 0.0
TCGA-BH-A0HK-01A 81 years, female, white, stage:iib, alive, 178 days 0.0
TCGA-A2-A0SW-01A 82 years, female, white, stage:iv, dead, 1365 days 0.0
TCGA-D8-A27N-01A 36 years, female, white, stage:iiia, alive, 519 days 0.0
TCGA-B6-A2IU-01A 62 years, female, white, stage:iia, alive, 5176 days 0.0
TCGA-E9-A1NF-01A 60 years, female, white, stage:iia, dead, 1072 days 0.0
TCGA-AC-A3W5-01A 65 years, female, black or african american, stage:iia, alive, 504 days 0.0
TCGA-B6-A0WZ-01A 50 years, female, black or african american, stage:ii, alive, 6292 days 0.0
TCGA-B6-A0I6-01A 49 years, female, black or african american, stage:iia, dead, 991 days 0.0
TCGA-C8-A8HR-01A 49 years, female, asian, stage:iiia, alive, 408 days 0.0
TCGA-GM-A2DA-01A 46 years, female, white, stage:iib, dead, 6593 days 0.0
TCGA-BH-A0DQ-01A 42 years, female, white, stage:iib, alive, 98 days 0.0
TCGA-AQ-A04L-01B 48 years, female, white, stage:iia, alive, 3957 days 0.0
TCGA-C8-A8HP-01A 59 years, female, asian, stage:iiia, alive, 396 days 0.0
TCGA-E2-A1LG-01A 50 years, female, black or african american, stage:iia, alive, 1523 days 0.0
TCGA-D8-A140-01A 62 years, female, white, stage:iib, alive, 403 days 0.0
TCGA-S3-A6ZH-01A 29 years, female, black or african american, stage:iiic, alive, 641 days 0.0
TCGA-AC-A2BK-01A 78 years, female, black or african american, stage:iiia, alive, 2222 days 0.0
TCGA-AN-A0FL-01A 62 years, female, white, stage:iia, alive, 231 days 0.0
TCGA-E2-A10C-01A 54 years, female, white, stage:iib, alive, 1220 days 0.0
TCGA-E2-A2P6-01A 77 years, female, stage:iib, alive, 1051 days 0.0
TCGA-D8-A1JA-01A 60 years, female, white, alive, 502 days 0.0
TCGA-A7-A13E-01A 62 years, female, white, stage:iib, dead, 614 days 0.0
TCGA-AN-A0FY-01A 55 years, female, white, stage:ia, alive, 10 days 0.0
TCGA-E2-A15C-01A 61 years, female, white, stage:i, alive, 694 days 0.0
TCGA-A8-A0A2-01A 66 years, female, stage:iia, alive, 579 days 0.0
TCGA-A2-A3Y0-01A 57 years, female, black or african american, stage:iib, alive, 1546 days 0.0
TCGA-BH-A1EO-01A 68 years, female, white, stage:iia, dead, 2798 days 0.0
TCGA-AO-A0JB-01A 50 years, female, white, stage:iiia, alive, 1542 days 0.0
TCGA-S3-AA12-01A 82 years, female, black or african american, stage:iiia, alive, 574 days 0.0
TCGA-D8-A1JF-01A 79 years, female, white, stage:iiia, alive, 366 days 0.0
TCGA-E9-A1NA-01A 58 years, female, white, stage:iia, alive, 1112 days 0.0
TCGA-E9-A1N4-01A 41 years, female, white, stage:iiia, alive, 1000 days 0.0
TCGA-A2-A0D2-01A 45 years, female, white, stage:iia, alive, 1027 days 0.0
TCGA-AN-A0FW-01A 67 years, female, white, stage:iiia, alive, 11 days 0.0
TCGA-AC-A4ZE-01A 63 years, female, white, stage:iib, alive, 890 days 0.0
TCGA-PE-A5DE-01A 41 years, female, white, stage:iia, alive, 2645 days 0.0
TCGA-AO-A03R-01A 57 years, female, white, stage:iib, alive, 2091 days 0.0
TCGA-BH-A0HB-01A 56 years, female, white, stage:ia, alive, 806 days 0.0
TCGA-BH-A8FY-01A 87 years, female, white, stage:ia, dead, 295 days 0.0
TCGA-BH-A5J0-01A 63 years, female, black or african american, stage:ia, alive, 715 days 0.0
TCGA-AR-A0TY-01A 54 years, female, white, stage:iia, dead, 1699 days 0.0
TCGA-D8-A1XR-01A 56 years, female, white, stage:iib, alive, 482 days 0.0
TCGA-B6-A0IB-01A 64 years, female, white, stage:iv, dead, 3941 days 0.0
TCGA-BH-A0H0-01A 69 years, female, white, stage:ia, alive, 461 days 0.0
TCGA-A8-A07W-01A 76 years, female, stage:iv, alive, 304 days 0.0
TCGA-LL-A7SZ-01A 49 years, female, black or african american, stage:iib, alive, 594 days 0.0
TCGA-AQ-A04H-01B 61 years, female, white, stage:iiia, alive, 754 days 0.0
TCGA-GM-A2DD-01A 53 years, female, white, stage:i, alive, 2282 days 0.0
TCGA-E2-A150-01A 48 years, female, white, stage:iia, alive, 1935 days 0.0
TCGA-D8-A1JK-01A 90 years, female, white, stage:iia, alive, 612 days 0.0
TCGA-UU-A93S-01A 63 years, female, black or african american, stage:iv, dead, 116 days 0.0
TCGA-E2-A15K-01A 58 years, female, white, stage:iib, alive, 275 days 0.0
TCGA-C8-A12Q-01A 78 years, female, asian, stage:iiia, dead, 385 days 0.0
TCGA-C8-A12P-01A 55 years, female, asian, stage:iib, alive, 358 days 0.0
TCGA-E2-A14O-01A 76 years, female, white, stage:iiia, alive, 1359 days 0.0
TCGA-A8-A09W-01A 70 years, female, stage:iiib, alive, 30 days 0.0
TCGA-AC-A62V-01A 58 years, male, black or african american, stage:iv, dead, 348 days 0.0
TCGA-AN-A0FJ-01A 60 years, female, white, stage:iv, alive, 242 days 0.0
TCGA-E9-A54Y-01A 63 years, female, white, stage:iiia, alive, 725 days 0.0
TCGA-C8-A12L-01A 67 years, female, asian, stage:iia, alive, 363 days 0.0
TCGA-AN-A0G0-01A 56 years, female, white, stage:iia, alive, 16 days 0.0
TCGA-B6-A0X5-01A 61 years, female, black or african american, stage:iib, dead, 2097 days 0.0
Show allShow less
BREAST CANCER - Protein expressioni

A mouse-over function shows sample information and annotation data. Click on an image to view it in a full screen mode. Samples can be filtered based on level of antibody staining by selecting one or several of the following categories: high, medium, low and not detected. The assay and annotation is described here.

Note that samples used for immunohistochemistry by the Human Protein Atlas do not correspond to samples in the TCGA dataset.

 

Antibody stainingi

Antibody staining in the annotated cell types in the current human tissue is reported as not detected, low, medium, or high, based on conventional immunohistochemistry profiling in selected tissues. This score is based on the combination of the staining intensity and fraction of stained cells.

Each image is clickable and will lead to virtual microscopy that enables deeper exploration of all samples and also displays staining intensity scores, fraction scores and subcellular localization as well as patient and tissue information for each sample.


Antibody HPA038811
 Staining
  High
  Medium
  Low
  Not detected
 Intensity
  Strong
  Moderate
  Weak
  Negative
 Quantity
  >75%
  75%-25%
  <25%
  None
 Location
  Nuclear
  Cytoplasmic/membranous
  Cytoplasmic/membranous,nuclear
  None
Click images for details

Contact

  • NEWS ARTICLES
  • PRESS ROOM

The Project

  • INTRODUCTION
  • ORGANIZATION
  • PUBLICATIONS

The Human Protein Atlas

  • DOWNLOADABLE DATA
  • LICENCE & CITATION
  • HELP & FAQ
The Human Protein Atlas project is funded
by the Knut & Alice Wallenberg Foundation.


contact@proteinatlas.org