We use cookies to enhance the usability of our website. If you continue, we'll assume that you are happy to receive all cookies. More information. Don't show this again.
IRS1
SECTIONS
  • TISSUE
  • BRAIN
  • SINGLE CELL TYPE
  • TISSUE CELL TYPE
  • PATHOLOGY
  • DISEASE
  • IMMUNE CELL
  • BLOOD PROTEIN
  • SUBCELLULAR
  • CELL LINE
  • STRUCTURE
  • INTERACTION
ABOUT
  • INTRODUCTION
  • HISTORY
  • ORGANIZATION
  • PUBLICATIONS
  • ANTIBODY SUBMISSION
  • ANTIBODY AVAILABILITY
  • ACKNOWLEDGMENTS
  • CONTACT
NEWS
  • NEWS ARTICLES
  • PRESS ROOM
LEARN
  • DICTIONARY
  • PROTEIN CLASSES
  • PROTEIN EVIDENCE
  • METHODS
  • EDUCATIONAL VIDEOS
DATA
  • DOWNLOADABLE DATA
  • PUBLICATION DATA
  • RELEASE HISTORY
  • SARS-COV-2
HELP
  • ANTIBODY VALIDATION
  • ASSAYS & ANNOTATION
  • DISCLAIMER
  • HELP & FAQ
  • PRIVACY STATEMENT
  • LICENCE & CITATION
Fields »
Search result

Field
Term
Gene name
Class
Subclass
Class
Keyword
Chromosome
External id
Tissue
Cell type
Expression
Patient ID
Tissue
Category
Cluster
Reliability
Brain region
Category
Brain region
Category
Brain region
Category
Cluster
Reliability
Cell type
Category
Cluster
Tissue
Cell type
Enrichment
Cancer
Prognosis
Cancer
Category
Cell type
Category
Cell lineage
Category
Cluster
Annotation
Disease
Location
Searches
Location
Cell line
Type
Phase
Reliability
Cancer type
Category
Cluster
Interacting gene
Number of interactions
Pathway
Category
Score
Score
Score
Validation
Validation
Validation
Validation
Antibodies
Protein structure
In atlas
Column


  • SUMMARY

  • TISSUE

  • BRAIN

  • SINGLE CELL

  • TISSUE CELL

  • PATHOLOGY

  • DISEASE

  • IMMUNE

  • BLOOD

  • SUBCELL

  • CELL LINE

  • STRUCTURE

  • INTERACTION

  • IRS1
PATHOLOGY STOMACH CANCER Show tissue menu
BREAST CANCER CARCINOID CERVICAL CANCER COLORECTAL CANCER ENDOMETRIAL CANCER GLIOMA HEAD AND NECK CANCER LIVER CANCER LUNG CANCER LYMPHOMA
MELANOMA OVARIAN CANCER PANCREATIC CANCER PROSTATE CANCER RENAL CANCER SKIN CANCER STOMACH CANCER TESTIS CANCER THYROID CANCER UROTHELIAL CANCER
ANTIBODIES
AND
VALIDATION
Dictionary
Stomach cancer
Human pathology
Stomach cancer
STOMACH CANCER - Interactive survival scatter ploti

The Survival Scatter plot shows the clinical status (i.e. dead or alive) for all individuals in the patient cohort, based on the same data that underlies the corresponding Kaplan-Meier plots. Patients that are alive at last time for follow-up are shown in blue and patients who have died during the study are shown in red.

The x-axis shows the expression levels (FPKM) of the investigated gene in the tumor tissue at the time of diagnosis. The y-axis shows the follow-up time after diagnosis (years). Both axes are complimented with kernel density curves demonstrating the data density over the axes. The top density plot shows the expression levels (FPKM) distribution among dead (red) and alive patients (blue). The right density plot shows the data density of the survived years of dead patients with high and low expression levels respectively, stratified using the cutoff indicated by the vertical dashed line through the Survival Scatter plot. This cutoff is automatically defined based on the FPKM cutoff that minimizes the p-score. The cutoff can be changed by dragging the vertical line or by entering a cutoff value in the square labeled "Current cut-off".

Under the Survival Scatter plot the p-score landscape (black curve; left axis) is shown together with dead median separation (red curve; right axis). Dead median separation is the difference in median mRNA expression between patients who have died with high and low expression, respectively. It is calculated as follows: median FPKM expression of dead patients with high expression - median FPKM expression of dead patients with low expression. This is intended to aid the user in visually exploring custom cutoffs and the associated p-scores and dead median separation.

Individual patient data is displayed and can be filtered by clicking on one or more of the category buttons on the top of the page. Categories describing expression level and patient information include: high, low, alive, dead, female, male and tumor stages. The scale of the x-axis can be toggled between linear and log-scale by clicking on the "x log" button. Mouse-over function shows TCGA ID, patient information and mRNA expression (FPKM) for each patient.

& Survival analysisi

Kaplan-Meier plots summarize results from analysis of correlation between mRNA expression level and patient survival. Patients were divided based on level of expression into one of the two groups "low" (under cut off) or "high" (over cut off). X-axis shows time for survival (years) and y-axis shows the probability of survival, where 1.0 corresponds to 100 percent.

IRS1 is not prognostic in stomach cancer


Stage:


Survival analysis
Current cut offi

Current cut-off shows the cut-off (FPKM) currently selected. It may be changed manually. When the current cut-off is changed, the vertical dashed line indicating cut-off, the interactive survival scatter plot and the Kaplan-Meier curve will be automatically adjusted to show results accordingly.

:
Best expression cut offi

Based on the FPKM value of each gene, patients were classified into two groups and association between prognosis (survival) and gene expression (FPKM) was examined. The best expression cut-off refers the FPKM value that yields maximal difference with regard to survival between the two groups at the lowest log-rank P-value. Best expression cut-off was selected based on survival analysis .

When clicking on this number, the vertical dashed line indicating cut-off, the interactive survival plot, and the Kaplan-Meier curve will be adjusted to show results based on the best expression cut-off.

: 4.39
Median expressioni

Median expression refers to the median FPKM value calculated based on the gene expression (FPKM) data from all patients in this dataset. When clicking on this number, the vertical dashed line indicating cut-off, the interactive survival plot, and the Kaplan-Meier curve will be adjusted to show results based on the median expression.

: N/A
Median follow up timei

Median follow up time refers to the median time (years) after diagnosis with this type of cancer, based on clinical data from all patients in this dataset.

: N/A
P scorei

Log-rank P value for Kaplan-Meier plot showing results from analysis of correlation between mRNA expression level and patient survival.

N/A
5-year survival highi

5-year survival for patients with higher expression than the expression cutoff.

For melanoma and glioma, 3-year survival is shown.

N/A
5-year survival lowi

5-year survival for patients with lower expression than the expression cutoff.

For melanoma and glioma, 3-year survival is shown.

N/A
TCGA RNA samplesi

RNA-seq data is reported as average FPKM (number Fragments Per Kilobase of exon per Million reads), generated by the The Cancer Genome Atlas (TCGA) .

Normal distribution across the dataset is visualized with box plots, shown as median and 25th and 75th percentiles. Points are displayed as outliers if they are above or below 1.5 times the interquartile range. FPKM values of the individual samples are presented next to the box plot.

Average FPKM 6.5
Number of samples 354
Samples
Sample Description FPKM
TCGA-BR-8683-01A 75 years, male, asian, stage:iiib, dead, 300 days 31.5
TCGA-D7-6525-01A 58 years, male, white, stage:iiia, dead, 406 days 28.1
TCGA-D7-A4YU-01A 73 years, male, white, stage:iiib, alive, 500 days 26.8
TCGA-D7-6519-01A 64 years, female, white, alive, 625 days 22.4
TCGA-BR-6456-01A 74 years, female, white, stage:iib, dead, 526 days 21.9
TCGA-BR-8361-01A 71 years, female, white, stage:iiic, alive, 946 days 21.7
TCGA-HJ-7597-01A 71 years, female, white, stage:ib, dead, 805 days 20.6
TCGA-VQ-A91Z-01A 67 years, female, white, stage:iiia, alive, 1690 days 19.3
TCGA-D7-8572-01A 57 years, male, white, stage:iib, alive, 511 days 19.0
TCGA-BR-8682-01A 52 years, male, asian, stage:iib, alive, 991 days 18.6
TCGA-BR-8365-01A 70 years, female, white, stage:iia, dead, 533 days 17.9
TCGA-HU-8602-01A 58 years, female, asian, stage:iib, alive, 679 days 17.7
TCGA-VQ-A8E3-01A 79 years, male, white, stage:iia, dead, 661 days 16.8
TCGA-IN-A7NT-01A 73 years, female, white, stage:iib, alive, 323 days 16.6
TCGA-D7-6526-01A 67 years, female, white, stage:iiia, alive, 523 days 16.2
TCGA-VQ-A8PE-01A 78 years, male, white, stage:iiib, dead, 675 days 15.3
TCGA-BR-8485-01A 68 years, female, white, stage:iiic, alive, 280 days 14.9
TCGA-VQ-A94P-01A 57 years, male, white, dead, 81 days 14.9
TCGA-D7-8578-01A 72 years, male, white, stage:ib, alive, 643 days 14.7
TCGA-BR-7957-01A 50 years, female, white, stage:iv, dead, 276 days 14.6
TCGA-MX-A5UG-01A 78 years, male, asian, stage:iiia, dead, 113 days 14.6
TCGA-HU-8604-01A 82 years, female, asian, stage:iia, alive, 694 days 14.0
TCGA-IP-7968-01A 74 years, male, white, stage:iiib, alive, 77 days 13.7
TCGA-VQ-A91S-01A 63 years, male, black or african american, stage:iiib, alive, 1000 days 13.7
TCGA-VQ-AA68-01A 52 years, female, white, stage:iiic, alive, 1328 days 13.6
TCGA-BR-7723-01A 59 years, male, white, stage:iiib, dead, 874 days 12.9
TCGA-VQ-A8E2-01A 57 years, male, asian, stage:iiib, alive, 1319 days 12.8
TCGA-BR-6564-01A 46 years, female, white, stage:iiia, dead, 794 days 12.8
TCGA-BR-6802-01A 65 years, male, white, stage:iiia, alive, 940 days 12.6
TCGA-VQ-A91Y-01A 67 years, male, white, stage:iiic, dead, 296 days 12.5
TCGA-CG-4438-01A 56 years, male, stage:iv, alive, 1645 days 12.5
TCGA-BR-8380-01A 55 years, male, white, stage:iiic, dead, 21 days 12.5
TCGA-RD-A8N4-01A 58 years, female, white, stage:iiia, alive, 2171 days 12.4
TCGA-BR-A4IV-01A 47 years, male, asian, stage:iiib, dead, 869 days 12.4
TCGA-HU-A4H5-01A 71 years, male, asian, stage:ib, alive, 724 days 12.3
TCGA-CG-5723-01A 83 years, male, stage:ii, alive, 3196 days 11.9
TCGA-F1-6875-01A 80 years, male, black or african american, stage:ia, dead, 2197 days 11.9
TCGA-FP-8209-01A 49 years, male, white, stage:ib, dead, 1811 days 11.8
TCGA-BR-7959-01A 59 years, male, white, stage:iiia, alive, 1010 days 11.6
TCGA-RD-A7BW-01A 68 years, female, white, stage:ib, dead, 156 days 11.6
TCGA-BR-A4J9-01A 55 years, male, white, stage:iia, alive, 14 days 11.5
TCGA-BR-8297-01A 58 years, male, white, stage:iiic, alive, 225 days 11.4
TCGA-RD-A8N6-01A 78 years, female, white, stage:iiia, dead, 272 days 11.4
TCGA-D7-6524-01A 53 years, male, white, stage:ii, alive, 543 days 11.4
TCGA-BR-8371-01A 62 years, male, white, stage:iiib, dead, 359 days 11.3
TCGA-VQ-A922-01A 70 years, male, stage:iv, dead, 275 days 11.3
TCGA-BR-8366-01A 80 years, female, white, stage:iia, alive, 29 days 11.3
TCGA-BR-8364-01A 42 years, female, white, stage:iiic, alive, 675 days 11.2
TCGA-CG-5724-01A 59 years, male, stage:iv, dead, 366 days 11.1
TCGA-FP-7998-01A 77 years, male, white, stage:iiic, alive, 678 days 10.9
TCGA-VQ-A8PC-01A 65 years, male, white, stage:iiia, dead, 1407 days 10.9
TCGA-HU-A4GU-01A 74 years, male, asian, stage:iib, alive, 200 days 10.7
TCGA-D7-6528-01A 70 years, female, white, stage:ib, alive, 463 days 10.7
TCGA-CD-A48A-01A 57 years, male, asian, stage:iia, alive, 378 days 10.7
TCGA-MX-A663-01A 66 years, male, white, stage:iia, dead, 300 days 10.6
TCGA-VQ-A91Q-01A 61 years, male, stage:iv, dead, 633 days 10.5
TCGA-D7-6520-01A 53 years, male, white, stage:iiia, alive, 573 days 10.5
TCGA-BR-8384-01A 69 years, male, white, stage:iiic, alive, 113 days 10.3
TCGA-F1-6874-01A 79 years, male, white, stage:ib, alive, 440 days 10.3
TCGA-VQ-A91U-01A 78 years, male, asian, stage:iiia, dead, 52 days 10.3
TCGA-BR-8590-01A 62 years, male, white, stage:iiic, dead, 284 days 10.3
TCGA-EQ-8122-01A 72 years, female, white, stage:iib, dead, 243 days 10.2
TCGA-BR-8592-01A 63 years, female, white, stage:iiib, dead, 191 days 10.0
TCGA-BR-A4J5-01A 56 years, male, asian, stage:iiia, alive, 862 days 10.0
TCGA-BR-8382-01A 67 years, female, white, stage:iiic, dead, 762 days 10.0
TCGA-RD-A8MV-01A 56 years, male, white, stage:iiib, alive, 3720 days 9.9
TCGA-VQ-A94R-01A 63 years, male, white, dead, 1294 days 9.8
TCGA-VQ-A8DZ-01A 70 years, male, black or african american, stage:iv, dead, 396 days 9.7
TCGA-BR-6457-01A 69 years, male, white, stage:iia, alive, 416 days 9.6
TCGA-HU-8249-01A 76 years, male, asian, stage:iiia, alive, 881 days 9.5
TCGA-FP-8210-01A 48 years, male, asian, stage:iiia, dead, 153 days 9.5
TCGA-BR-8080-01A 72 years, female, white, stage:iiic, dead, 292 days 9.4
TCGA-KB-A93G-01A 68 years, male, white, stage:ib, alive, 613 days 9.4
TCGA-BR-8286-01A 49 years, male, white, stage:ii, alive, 895 days 9.4
TCGA-HU-A4H0-01A 72 years, male, asian, stage:iiic, alive, 64 days 9.2
TCGA-HU-8608-01A 70 years, male, asian, stage:iiib, alive, 641 days 9.2
TCGA-D7-8575-01A 75 years, male, white, stage:iiia, dead, 554 days 9.1
TCGA-BR-7958-01A 60 years, male, white, stage:iiib, alive, 899 days 9.1
TCGA-BR-A4PF-01A 72 years, male, white, stage:iiib, alive, 35 days 9.0
TCGA-CG-5721-01A 58 years, male, stage:iv, alive, 183 days 9.0
TCGA-CD-5798-01A 83 years, male, asian, stage:ii, alive, 408 days 9.0
TCGA-BR-6705-01A 68 years, female, white, stage:iiib, dead, 779 days 8.9
TCGA-CD-A489-01A 58 years, male, asian, stage:iia, dead, 344 days 8.8
TCGA-VQ-A8P5-01A 67 years, male, white, stage:iia, dead, 235 days 8.8
TCGA-D7-A6EX-01A 72 years, female, white, stage:iiia, alive, 86 days 8.7
TCGA-BR-8367-01A 56 years, male, white, stage:iiib, dead, 801 days 8.7
TCGA-D7-A6EV-01A 71 years, female, white, stage:iib, alive, 342 days 8.7
TCGA-FP-7916-01A 78 years, male, asian, stage:iiic, dead, 428 days 8.7
TCGA-CD-8533-01A 48 years, male, asian, stage:ii, alive, 468 days 8.7
TCGA-BR-8291-01A 61 years, male, white, stage:iib, dead, 607 days 8.7
TCGA-CG-4301-01A 75 years, female, stage:iv, alive, 92 days 8.5
TCGA-HU-A4HD-01A 73 years, male, asian, stage:iiia, alive, 1016 days 8.5
TCGA-RD-A7BS-01A 46 years, male, white, stage:iiia, dead, 336 days 8.4
TCGA-CD-5803-01A 78 years, female, asian, stage:ii, dead, 341 days 8.3
TCGA-VQ-A8E7-01B 59 years, male, white, stage:iv, alive, 1138 days 8.3
TCGA-VQ-A8PO-01A 74 years, male, white, stage:iib, dead, 282 days 8.3
TCGA-BR-6565-01A 67 years, male, white, stage:iib, dead, 279 days 8.2
TCGA-IN-8663-01A 68 years, male, white, stage:iib, dead, 103 days 8.2
TCGA-IN-7806-01A 50 years, male, white, stage:iib, alive, 1106 days 8.2
TCGA-FP-A4BF-01A 68 years, male, white, stage:iiia, dead, 168 days 8.0
TCGA-B7-A5TN-01A 60 years, male, white, stage:iib, alive, 287 days 8.0
TCGA-BR-8059-01A 72 years, male, white, stage:iii, dead, 439 days 7.9
TCGA-CD-5801-01A male, asian, stage:iiia, dead, 401 days 7.9
TCGA-BR-6566-01A 64 years, female, white, stage:iia, alive, 997 days 7.9
TCGA-B7-A5TK-01A 51 years, male, white, stage:iiia, alive, 288 days 7.8
TCGA-VQ-A91N-01A 59 years, female, stage:iv, dead, 570 days 7.8
TCGA-BR-6458-01A 57 years, female, white, stage:iib, dead, 588 days 7.7
TCGA-RD-A8N9-01A 63 years, female, asian, stage:ii, alive, 1083 days 7.7
TCGA-RD-A8NB-01A 80 years, female, white, stage:iiia, dead, 513 days 7.6
TCGA-BR-8484-01A 61 years, male, white, stage:iiia, dead, 766 days 7.6
TCGA-RD-A8N2-01A 59 years, female, white, stage:ib, alive, 3540 days 7.6
TCGA-D7-6521-01A 65 years, male, white, alive, 564 days 7.5
TCGA-D7-6522-01A 58 years, male, white, stage:ib, alive, 566 days 7.5
TCGA-IN-A7NR-01A 64 years, female, white, stage:iv, alive, 198 days 7.5
TCGA-IN-A6RL-01A 84 years, male, white, dead, 406 days 7.4
TCGA-HU-A4GQ-01A 71 years, male, asian, stage:iiic, dead, 3 days 7.4
TCGA-BR-8373-01A 65 years, female, white, stage:iiia, alive, 450 days 7.4
TCGA-RD-A8N5-01A 78 years, male, white, stage:iiia, dead, 1747 days 7.3
TCGA-BR-6803-01A 54 years, female, white, stage:iia, alive, 949 days 7.3
TCGA-VQ-AA6F-01A 58 years, male, white, stage:iib, alive, 1646 days 7.3
TCGA-HU-A4G8-01A 71 years, female, asian, stage:iib, alive, 690 days 7.2
TCGA-D7-A747-01A 57 years, male, white, stage:iib, dead, 255 days 7.1
TCGA-BR-7901-01A 74 years, male, white, stage:iib, dead, 105 days 7.1
TCGA-VQ-A8PP-01A 76 years, male, stage:iv, dead, 712 days 7.0
TCGA-VQ-A928-01A 49 years, male, white, stage:iv, dead, 174 days 7.0
TCGA-BR-6710-01A 41 years, male, white, stage:ib, alive, 273 days 7.0
TCGA-D7-A6EY-01A 72 years, female, white, stage:iiib, dead, 348 days 6.9
TCGA-BR-8077-01A 58 years, female, white, stage:iiib, alive, 21 days 6.9
TCGA-CG-4440-01A 68 years, female, stage:iv, dead, 122 days 6.9
TCGA-D7-8576-01A 54 years, female, white, stage:iiib, dead, 446 days 6.9
TCGA-BR-8686-01A 69 years, male, asian, stage:iiib, dead, 635 days 6.9
TCGA-BR-8486-01A 90 years, female, white, stage:ia, alive, 615 days 6.9
TCGA-BR-8483-01A 59 years, male, white, stage:iiia, alive, 164 days 6.9
TCGA-D7-A4YX-01A 63 years, male, white, stage:iib, alive, 1108 days 6.9
TCGA-BR-8058-01A 53 years, female, white, stage:iiib, alive, 1133 days 6.8
TCGA-BR-4187-01A 56 years, male, white, dead, 141 days 6.8
TCGA-BR-7715-01A 65 years, male, white, stage:iia, alive, 1023 days 6.8
TCGA-VQ-A8DV-01A 48 years, male, white, stage:ib, dead, 403 days 6.7
TCGA-FP-8099-01A 79 years, male, white, stage:iia, alive, 519 days 6.7
TCGA-BR-8081-01A 71 years, female, white, stage:iib, alive, 981 days 6.7
TCGA-VQ-AA6K-01A 60 years, male, white, stage:iiic, dead, 378 days 6.5
TCGA-F1-A448-01A 70 years, male, white, stage:iiib, alive, 647 days 6.5
TCGA-CG-4465-01A 69 years, female, stage:iv, dead, 274 days 6.5
TCGA-RD-A8MW-01A 72 years, male, white, stage:iiib, dead, 1153 days 6.4
TCGA-BR-A4J7-01A 49 years, male, asian, stage:iib, alive, 989 days 6.4
TCGA-BR-8677-01A 74 years, female, white, stage:iiib, alive, 813 days 6.4
TCGA-VQ-A8P8-01A 72 years, female, black or african american, stage:iib, alive, 942 days 6.4
TCGA-MX-A666-01A 61 years, male, white, stage:iia, alive, 427 days 6.4
TCGA-VQ-A8PM-01A 56 years, male, white, stage:iv, dead, 57 days 6.4
TCGA-CD-8530-01A 52 years, male, asian, stage:ii, alive, 377 days 6.3
TCGA-D7-6822-01A 77 years, male, white, stage:ib, alive, 375 days 6.3
TCGA-BR-6709-01A 57 years, female, white, stage:iiib, dead, 370 days 6.3
TCGA-KB-A93H-01A 79 years, female, asian, stage:iib, alive, 1145 days 6.3
TCGA-BR-8368-01A 84 years, female, white, stage:ib, alive, 131 days 6.3
TCGA-CG-5734-01A 68 years, male, stage:iiia, dead, 243 days 6.3
TCGA-VQ-AA64-01A 68 years, male, white, stage:iiib, dead, 560 days 6.2
TCGA-BR-7716-01A 62 years, female, white, stage:iib, alive, 1210 days 6.2
TCGA-CG-5718-01A 78 years, female, stage:ii, dead, 1095 days 6.1
TCGA-VQ-A8PD-01A 69 years, male, white, stage:iiic, dead, 496 days 6.1
TCGA-VQ-A8DU-01A 63 years, male, white, stage:iiia, dead, 166 days 6.0
TCGA-BR-7196-01A 64 years, male, white, stage:iv, alive, 666 days 6.0
TCGA-FP-A8CX-01A 60 years, male, white, stage:iiic, alive, 7 days 6.0
TCGA-B7-A5TI-01A 52 years, male, white, stage:iiic, alive, 595 days 6.0
TCGA-VQ-A8PQ-01A 50 years, female, white, stage:iv, dead, 476 days 5.9
TCGA-HU-A4GX-01A 70 years, female, asian, stage:iiic, alive, 616 days 5.9
TCGA-MX-A5UJ-01A 86 years, female, white, stage:iiia, alive, 600 days 5.9
TCGA-KB-A93J-01A 78 years, male, white, stage:ii, alive, 1124 days 5.9
TCGA-VQ-A8PJ-01A 53 years, male, stage:iv, dead, 82 days 5.9
TCGA-KB-A6F7-01A 54 years, female, stage:ib, alive, 1935 days 5.9
TCGA-SW-A7EB-01A 45 years, male, white, stage:iiia, alive, 176 days 5.8
TCGA-CG-4475-01A 76 years, male, stage:iib, alive, 699 days 5.7
TCGA-BR-4257-01A 79 years, female, white, dead, 294 days 5.7
TCGA-SW-A7EA-01A 61 years, female, white, stage:ib, alive, 579 days 5.7
TCGA-VQ-A91D-01A 70 years, male, white, stage:iiic, dead, 356 days 5.7
TCGA-VQ-A923-01A 90 years, male, white, stage:iiia, dead, 61 days 5.7
TCGA-IN-8462-01A 80 years, male, white, stage:iib, alive, 572 days 5.7
TCGA-BR-8296-01A 58 years, female, white, stage:iiic, dead, 474 days 5.6
TCGA-D7-6818-01A 53 years, male, white, stage:iiia, dead, 376 days 5.6
TCGA-IN-A7NU-01A 69 years, male, white, stage:iiib, alive, 356 days 5.6
TCGA-CD-8535-01A 59 years, male, asian, stage:iiia, alive, 390 days 5.6
TCGA-CD-8527-01A 72 years, female, asian, stage:ii, dead, 218 days 5.5
TCGA-D7-6815-01A 70 years, female, white, stage:iib, alive, 486 days 5.5
TCGA-VQ-AA6J-01A 75 years, male, black or african american, stage:iiib, alive, 838 days 5.5
TCGA-BR-8680-01A 45 years, male, asian, stage:iv, alive, 972 days 5.4
TCGA-BR-8687-01A 67 years, female, white, stage:iiic, dead, 250 days 5.4
TCGA-D7-A4Z0-01A 60 years, female, white, stage:iib, alive, 449 days 5.4
TCGA-HU-A4GJ-01A 60 years, female, asian, stage:iiic, alive, 650 days 5.4
TCGA-BR-7722-01A 62 years, male, white, stage:iib, dead, 466 days 5.4
TCGA-CD-5813-01A 60 years, male, asian, stage:ii, dead, 377 days 5.3
TCGA-CD-8526-01A 73 years, female, asian, stage:iiia, alive, 381 days 5.3
TCGA-CG-5719-01A 54 years, female, stage:iv, alive, 31 days 5.3
TCGA-BR-A44T-01A 53 years, female, white, stage:iia, alive, 1038 days 5.3
TCGA-CD-8532-01A 52 years, male, asian, stage:ii, dead, 354 days 5.3
TCGA-BR-4267-01A 51 years, male, white, stage:ib, dead, 188 days 5.3
TCGA-D7-8579-01A 66 years, female, white, stage:iib, alive, 636 days 5.3
TCGA-VQ-A8PF-01A 77 years, male, stage:iiib, dead, 76 days 5.3
TCGA-FP-8211-01A 62 years, male, white, stage:iib, alive, 413 days 5.3
TCGA-BR-4253-01A 80 years, female, white, stage:iiia, dead, 124 days 5.2
TCGA-CG-4306-01A 90 years, male, stage:iv, dead, 31 days 5.2
TCGA-CD-A487-01A 51 years, male, asian, stage:iib, alive, 374 days 5.1
TCGA-RD-A7BT-01A 66 years, male, native hawaiian or other pacific islander, stage:iv, dead, 262 days 5.1
TCGA-VQ-A91V-01A 58 years, male, stage:iiia, alive, 1297 days 5.1
TCGA-D7-A74A-01A 61 years, female, white, stage:iiia, alive, 607 days 5.1
TCGA-CG-4441-01A 83 years, male, stage:iiia, dead, 426 days 5.1
TCGA-FP-8631-01A 68 years, male, white, stage:iiia, alive, 17 days 5.1
TCGA-CD-8529-01A 65 years, male, asian, stage:iv, alive, 374 days 5.0
TCGA-VQ-A91X-01A 74 years, male, white, stage:iiib, dead, 289 days 5.0
TCGA-BR-4256-01A 80 years, male, white, dead, 284 days 4.9
TCGA-VQ-A94U-01A 71 years, male, white, stage:iib, alive, 819 days 4.9
TCGA-VQ-A91A-01A 67 years, male, white, stage:iiib, alive, 1200 days 4.9
TCGA-FP-A9TM-01A 77 years, male, white, alive, 189 days 4.9
TCGA-VQ-A927-01A 81 years, male, white, stage:iiib, dead, 200 days 4.8
TCGA-VQ-A924-01A 69 years, male, stage:ii, dead, 1686 days 4.8
TCGA-BR-8284-01A 72 years, female, white, stage:iiic, dead, 245 days 4.8
TCGA-CG-5717-01A 58 years, male, stage:ii, dead, 212 days 4.8
TCGA-HU-A4HB-01A 68 years, male, asian, stage:iib, dead, 477 days 4.8
TCGA-HU-A4GP-01A 62 years, female, asian, stage:iia, alive, 273 days 4.7
TCGA-VQ-A8PH-01A 62 years, male, white, stage:iiib, dead, 389 days 4.7
TCGA-VQ-AA6A-01A 56 years, male, white, stage:iiic, alive, 1184 days 4.6
TCGA-CD-A48C-01A 80 years, female, asian, stage:iib, dead, 353 days 4.5
TCGA-CD-8524-01A 61 years, female, asian, stage:ii, alive, 388 days 4.5
TCGA-BR-8588-01A 55 years, female, white, stage:iib, alive, 389 days 4.5
TCGA-BR-8369-01A 76 years, female, white, stage:iiib, alive, 427 days 4.4
TCGA-R5-A7ZR-01A 70 years, female, black or african american, stage:iii, dead, 185 days 4.4
TCGA-BR-A4J8-01A 71 years, female, white, stage:iiib, alive, 411 days 4.4
TCGA-BR-8690-01A 54 years, female, white, stage:iiib, alive, 325 days 4.4
TCGA-B7-A5TJ-01A 74 years, male, white, stage:iib, alive, 335 days 4.3
TCGA-BR-7197-01A 69 years, male, white, stage:ii, alive, 280 days 4.3
TCGA-VQ-A94O-01A 74 years, male, black or african american, stage:iiic, dead, 640 days 4.3
TCGA-IN-A6RJ-01A 64 years, male, white, stage:ia, alive, 379 days 4.2
TCGA-BR-6801-01A 70 years, male, white, stage:iia, alive, 1223 days 4.2
TCGA-HF-7133-01A female, stage:iv, alive, 1918 days 4.2
TCGA-BR-A4J6-01A 69 years, female, white, stage:iia, alive, 20 days 4.2
TCGA-R5-A7ZF-01A 65 years, female, black or african american, stage:iv, dead, 259 days 4.2
TCGA-HF-7132-01A male, stage:ii, alive, 2351 days 4.1
TCGA-VQ-A8PK-01A 58 years, male, white, stage:iiib, dead, 543 days 4.1
TCGA-VQ-A92D-01A 67 years, male, white, stage:ib, alive, 2032 days 4.1
TCGA-BR-8372-01A 63 years, male, white, stage:iiic, alive, 951 days 4.1
TCGA-IN-AB1V-01A 63 years, male, white, stage:ia, alive, 479 days 4.1
TCGA-D7-A748-01A 41 years, female, white, stage:iv, dead, 132 days 4.1
TCGA-CG-5725-01A 72 years, male, stage:ib, dead, 457 days 4.1
TCGA-HF-A5NB-01A 75 years, female, stage:iiic, alive, 928 days 4.0
TCGA-FP-7829-01A 69 years, male, white, stage:iib, alive, 594 days 4.0
TCGA-BR-8289-01A 57 years, male, white, stage:iv, dead, 81 days 4.0
TCGA-HU-8610-01A 75 years, male, asian, stage:ia, alive, 23 days 3.9
TCGA-F1-A72C-01A 68 years, male, asian, stage:iia, alive, 346 days 3.9
TCGA-CG-4444-01A 76 years, male, stage:iiia, alive, 1431 days 3.9
TCGA-CD-A4MH-01A 86 years, female, asian, stage:iia, alive, 371 days 3.9
TCGA-BR-4280-01A 78 years, female, white, stage:iii, dead, 201 days 3.9
TCGA-BR-8589-01A 56 years, male, white, stage:iiib, alive, 825 days 3.9
TCGA-BR-6563-01A 60 years, male, white, stage:iib, alive, 679 days 3.9
TCGA-RD-A8N0-01A 53 years, female, white, stage:iiib, alive, 1236 days 3.9
TCGA-CG-4443-01A 68 years, male, stage:ia, alive, 912 days 3.9
TCGA-HU-A4H4-01A 53 years, female, asian, stage:iib, alive, 725 days 3.8
TCGA-D7-8570-01A 44 years, male, white, stage:iiib, alive, 752 days 3.8
TCGA-HU-A4GC-01A 74 years, male, asian, stage:iiib, alive, 99 days 3.8
TCGA-R5-A805-01A 71 years, male, white, stage:iiib, dead, 281 days 3.7
TCGA-CG-4477-01A 58 years, female, stage:ib, alive, 942 days 3.7
TCGA-BR-4191-01A 72 years, male, white, dead, 558 days 3.7
TCGA-D7-8574-01A 72 years, male, white, stage:iiia, alive, 523 days 3.6
TCGA-CG-5720-01A 71 years, male, stage:ib, dead, 30 days 3.6
TCGA-HU-A4GY-01A 77 years, female, asian, stage:iiia, alive, 8 days 3.6
TCGA-BR-8060-01A 75 years, female, white, stage:iib, dead, 348 days 3.6
TCGA-VQ-A8PB-01A 65 years, female, white, stage:ii, dead, 1043 days 3.6
TCGA-IN-7808-01A 59 years, male, white, dead, 105 days 3.5
TCGA-D7-5578-01A 80 years, male, white, stage:iiia, alive, 385 days 3.5
TCGA-HU-8238-01A 56 years, male, asian, alive, 46 days 3.5
TCGA-CG-4460-01A 66 years, female, stage:iv, dead, 669 days 3.5
TCGA-VQ-AA69-01A 35 years, male, white, stage:iiia, alive, 864 days 3.4
TCGA-VQ-A925-01A 66 years, male, white, stage:iiia, dead, 138 days 3.4
TCGA-IN-AB1X-01A 78 years, female, white, stage:iia, alive, 411 days 3.4
TCGA-CG-4437-01A 83 years, male, stage:ii, alive, 245 days 3.4
TCGA-HU-A4H6-01A 72 years, female, asian, stage:iiia, alive, 644 days 3.4
TCGA-IN-A6RR-01A 84 years, male, white, dead, 205 days 3.4
TCGA-CG-4305-01A 69 years, male, stage:ii, alive, 485 days 3.3
TCGA-ZA-A8F6-01A 71 years, male, white, stage:ib, alive, 525 days 3.2
TCGA-BR-7704-01A 69 years, female, white, stage:ii, alive, 1072 days 3.2
TCGA-BR-4279-01A 44 years, male, white, stage:ii, dead, 291 days 3.1
TCGA-BR-A44U-01A 70 years, male, white, stage:iiib, dead, 422 days 3.1
TCGA-HU-A4GF-01A 69 years, male, asian, stage:iia, alive, 785 days 3.1
TCGA-CD-5804-01A 90 years, male, asian, alive, 368 days 3.0
TCGA-VQ-A8P3-01A 72 years, male, white, stage:iiia, alive, 1132 days 3.0
TCGA-BR-6452-01A 78 years, female, white, stage:iia, alive, 1055 days 3.0
TCGA-F1-6177-01A 90 years, male, black or african american, stage:i, dead, 200 days 3.0
TCGA-BR-8381-01A 51 years, male, white, stage:iib, alive, 224 days 2.9
TCGA-CD-5799-01A 45 years, male, asian, stage:ii, alive, 396 days 2.9
TCGA-RD-A8N1-01A 70 years, male, white, stage:iiib, alive, 3519 days 2.9
TCGA-VQ-AA6D-01A 52 years, female, stage:iiia, alive, 521 days 2.9
TCGA-CG-4466-01A 81 years, female, stage:ib, alive, 577 days 2.8
TCGA-BR-8591-01A 79 years, male, white, stage:iiic, alive, 856 days 2.8
TCGA-BR-7717-01A 63 years, male, white, stage:iv, dead, 552 days 2.8
TCGA-HU-A4H3-01A 56 years, female, asian, stage:iiic, alive, 882 days 2.7
TCGA-VQ-A91E-01A 67 years, female, white, stage:iiib, alive, 664 days 2.7
TCGA-BR-8295-01A 60 years, female, white, stage:iib, dead, 67 days 2.7
TCGA-D7-8573-01A 57 years, male, white, stage:iia, alive, 593 days 2.7
TCGA-BR-4201-01A 66 years, female, white, dead, 940 days 2.7
TCGA-VQ-AA6G-01A 68 years, male, white, stage:iia, dead, 792 days 2.6
TCGA-VQ-A8PX-01A 51 years, male, stage:ia, alive, 1964 days 2.6
TCGA-VQ-A8PU-01A 72 years, female, white, stage:iiia, dead, 832 days 2.5
TCGA-BR-7707-01A 69 years, female, white, stage:ib, alive, 1090 days 2.5
TCGA-HU-A4H2-01A 58 years, female, asian, stage:iiib, alive, 394 days 2.4
TCGA-CD-5800-01A female, asian, stage:ii, alive, 400 days 2.4
TCGA-FP-7735-01A 77 years, male, black or african american, stage:ib, dead, 106 days 2.3
TCGA-VQ-A91K-01A 69 years, male, white, stage:iiia, alive, 1862 days 2.3
TCGA-ZQ-A9CR-01A 79 years, female, white, stage:iiic, dead, 24 days 2.3
TCGA-HU-A4GT-01A 71 years, female, asian, stage:iia, alive, 198 days 2.3
TCGA-CG-4436-01A 57 years, male, stage:ib, alive, 243 days 2.3
TCGA-CG-5732-01A 66 years, male, stage:iv, dead, 2100 days 2.3
TCGA-R5-A7ZE-01B 66 years, female, white, stage:iiia, dead, 554 days 2.3
TCGA-CG-5722-01A 67 years, female, stage:iv, alive, 30 days 2.2
TCGA-CG-5726-01A 73 years, male, stage:ia, dead, 881 days 2.1
TCGA-HU-A4G3-01A 54 years, male, asian, stage:iib, alive, 170 days 2.1
TCGA-CD-8534-01A 41 years, male, asian, stage:ii, alive, 367 days 2.1
TCGA-HU-A4G2-01A 46 years, male, asian, stage:iib, alive, 739 days 2.1
TCGA-3M-AB46-01A male, white, stage:ib, alive, 1765 days 2.0
TCGA-HU-A4GH-01A 75 years, male, asian, stage:ia, alive, 358 days 2.0
TCGA-HU-A4GD-01A 56 years, male, asian, stage:iib, alive, 692 days 2.0
TCGA-CD-8525-01A 82 years, female, asian, stage:iiia, alive, 383 days 2.0
TCGA-CD-8528-01A 43 years, female, asian, stage:iiia, alive, 375 days 2.0
TCGA-CD-8531-01A 66 years, female, asian, stage:iiia, alive, 383 days 2.0
TCGA-RD-A7C1-01A 82 years, male, white, stage:ib, dead, 507 days 1.9
TCGA-BR-A4QL-01A 75 years, female, white, stage:iiib, dead, 491 days 1.9
TCGA-BR-6852-01A 64 years, female, white, stage:iia, alive, 1367 days 1.8
TCGA-CD-A4MG-01A 76 years, male, asian, stage:iia, dead, 200 days 1.8
TCGA-IN-A6RS-01A 76 years, male, white, stage:ia, alive, 383 days 1.8
TCGA-BR-6707-01A 75 years, male, white, stage:iia, alive, 605 days 1.8
TCGA-B7-5818-01A 62 years, male, white, stage:ib, alive, 356 days 1.8
TCGA-CG-4469-01A 70 years, male, stage:iv, dead, 215 days 1.8
TCGA-BR-6453-01A 54 years, male, white, stage:iia, alive, 485 days 1.8
TCGA-VQ-A94T-01A 73 years, male, stage:iiib, dead, 342 days 1.7
TCGA-BR-A4CS-01A 77 years, male, white, stage:iiic, dead, 45 days 1.7
TCGA-BR-7851-01A 74 years, male, white, stage:iib, dead, 574 days 1.7
TCGA-D7-A6F0-01A 79 years, female, white, stage:ib, alive, 678 days 1.6
TCGA-BR-6455-01A 59 years, male, white, stage:iib, dead, 422 days 1.6
TCGA-D7-A6F2-01A 62 years, male, white, stage:ib, alive, 476 days 1.5
TCGA-IN-A6RN-01A 72 years, female, white, stage:iia, alive, 594 days 1.5
TCGA-CD-A486-01A 68 years, male, asian, stage:iia, dead, 192 days 1.5
TCGA-VQ-A8E0-01A 68 years, male, black or african american, stage:iiia, dead, 562 days 1.4
TCGA-HF-7134-01A male, stage:ia, alive, 1588 days 1.4
TCGA-BR-8678-01A 76 years, male, white, stage:ib, alive, 754 days 1.3
TCGA-HU-8244-01A 77 years, female, asian, stage:ia, alive, 742 days 1.3
TCGA-D7-5577-01A 53 years, female, white, stage:iiia, dead, 782 days 1.3
TCGA-VQ-A8DT-01A 43 years, male, stage:iiib, alive, 1484 days 1.3
TCGA-R5-A7O7-01A 52 years, male, white, stage:iv, alive, 1389 days 1.2
TCGA-D7-6527-01A 62 years, male, white, stage:ii, dead, 312 days 1.1
TCGA-HU-A4G9-01A 67 years, female, asian, stage:ia, alive, 736 days 1.1
TCGA-BR-A4J4-01A 39 years, male, asian, stage:iiib, alive, 16 days 1.0
TCGA-HU-A4H8-01A 77 years, male, asian, stage:ib, alive, 428 days 0.7
TCGA-D7-A6EZ-01A 66 years, male, white, stage:iiia, dead, 618 days 0.6
TCGA-VQ-A8P2-01A 68 years, male, white, stage:iiia, alive, 1160 days 0.5
TCGA-BR-8487-01A 64 years, female, white, stage:iia, alive, 34 days 0.4
TCGA-IN-A6RI-01A 45 years, male, white, stage:i, alive, 559 days 0.4
TCGA-BR-8676-01A 59 years, male, white, stage:iiib, alive, 229 days 0.4
TCGA-R5-A7ZI-01A 44 years, female, white, stage:iv, alive, 2267 days 0.2
Show allShow less
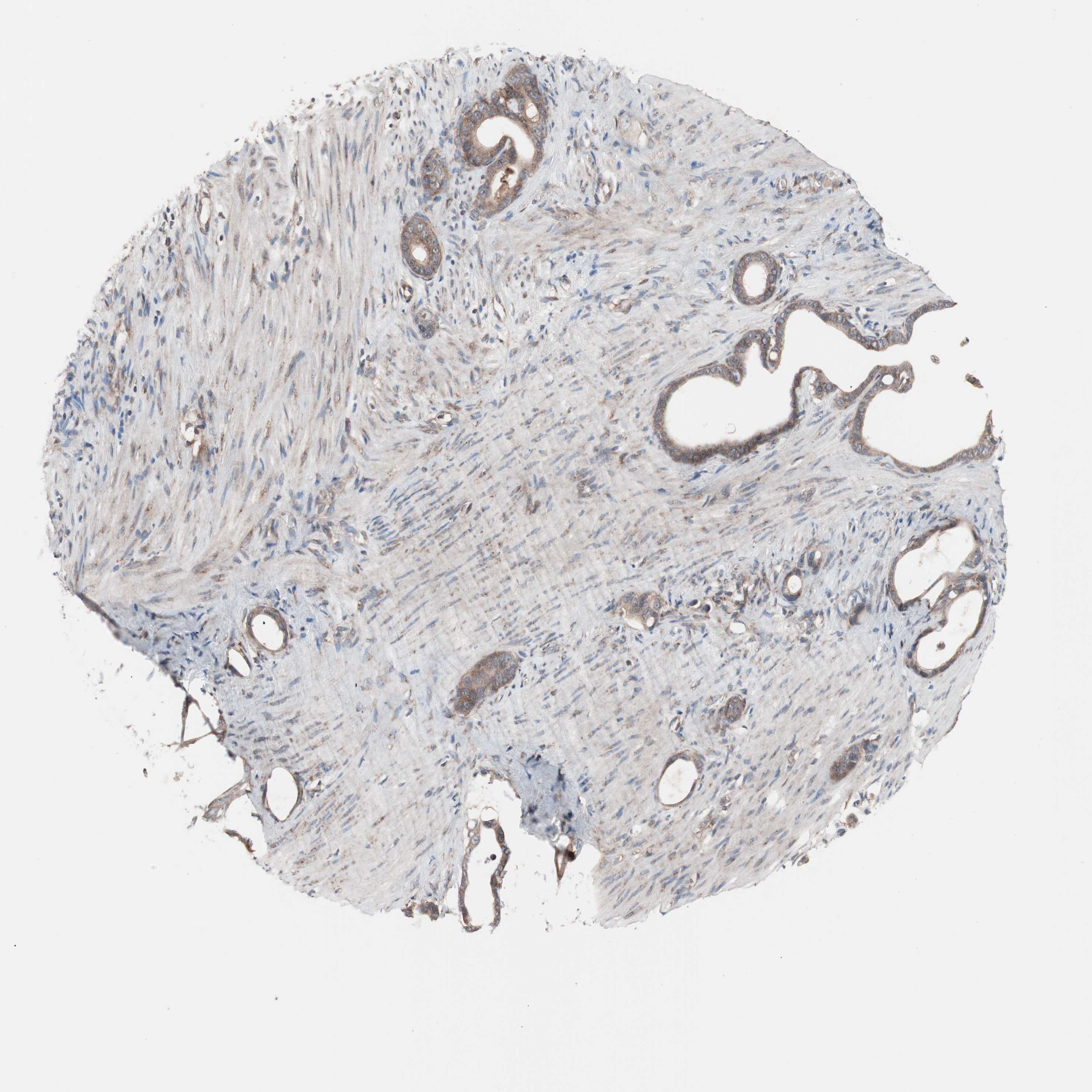
STOMACH CANCER - Protein expressioni

A mouse-over function shows sample information and annotation data. Click on an image to view it in a full screen mode. Samples can be filtered based on level of antibody staining by selecting one or several of the following categories: high, medium, low and not detected. The assay and annotation is described here.

Note that samples used for immunohistochemistry by the Human Protein Atlas do not correspond to samples in the TCGA dataset.

 

Antibody stainingi

Antibody staining in the annotated cell types in the current human tissue is reported as not detected, low, medium, or high, based on conventional immunohistochemistry profiling in selected tissues. This score is based on the combination of the staining intensity and fraction of stained cells.

Each image is clickable and will lead to virtual microscopy that enables deeper exploration of all samples and also displays staining intensity scores, fraction scores and subcellular localization as well as patient and tissue information for each sample.


Antibody CAB005261
 Staining
  High
  Medium
  Low
  Not detected
 Intensity
  Strong
  Moderate
  Weak
  Negative
 Quantity
  >75%
  75%-25%
  <25%
  None
 Location
  Nuclear
  Cytoplasmic/membranous
  Cytoplasmic/membranous,nuclear
  None
Click images for details

Contact

  • NEWS ARTICLES
  • PRESS ROOM

The Project

  • INTRODUCTION
  • ORGANIZATION
  • PUBLICATIONS

The Human Protein Atlas

  • DOWNLOADABLE DATA
  • LICENCE & CITATION
  • HELP & FAQ
The Human Protein Atlas project is funded
by the Knut & Alice Wallenberg Foundation.


contact@proteinatlas.org