We use cookies to enhance the usability of our website. If you continue, we'll assume that you are happy to receive all cookies. More information. Don't show this again.
RXRB
SECTIONS
  • TISSUE
  • BRAIN
  • SINGLE CELL TYPE
  • TISSUE CELL TYPE
  • PATHOLOGY
  • DISEASE
  • IMMUNE CELL
  • BLOOD PROTEIN
  • SUBCELLULAR
  • CELL LINE
  • STRUCTURE
  • INTERACTION
ABOUT
  • INTRODUCTION
  • HISTORY
  • ORGANIZATION
  • PUBLICATIONS
  • ANTIBODY SUBMISSION
  • ANTIBODY AVAILABILITY
  • ACKNOWLEDGMENTS
  • CONTACT
NEWS
  • NEWS ARTICLES
  • PRESS ROOM
LEARN
  • DICTIONARY
  • PROTEIN CLASSES
  • PROTEIN EVIDENCE
  • METHODS
  • EDUCATIONAL VIDEOS
DATA
  • DOWNLOADABLE DATA
  • PUBLICATION DATA
  • RELEASE HISTORY
  • SARS-COV-2
HELP
  • ANTIBODY VALIDATION
  • ASSAYS & ANNOTATION
  • DISCLAIMER
  • HELP & FAQ
  • PRIVACY STATEMENT
  • LICENCE & CITATION
Fields »
Search result

Field
Term
Gene name
Class
Subclass
Class
Keyword
Chromosome
External id
Tissue
Cell type
Expression
Patient ID
Tissue
Category
Cluster
Reliability
Brain region
Category
Brain region
Category
Brain region
Category
Cluster
Reliability
Cell type
Category
Cluster
Tissue
Cell type
Enrichment
Cancer
Prognosis
Cancer
Category
Cell type
Category
Cell lineage
Category
Cluster
Annotation
Disease
Location
Searches
Location
Cell line
Type
Phase
Reliability
Cancer type
Category
Cluster
Interacting gene
Number of interactions
Pathway
Category
Score
Score
Score
Validation
Validation
Validation
Validation
Antibodies
Protein structure
In atlas
Column


  • SUMMARY

  • TISSUE

  • BRAIN

  • SINGLE CELL

  • TISSUE CELL

  • PATHOLOGY

  • DISEASE

  • IMMUNE

  • BLOOD

  • SUBCELL

  • CELL LINE

  • STRUCTURE

  • INTERACTION

  • RXRB
TISSUE PRIMARY DATA COLON Show tissue menu
ADIPOSE TISSUE ADRENAL GLAND AMYGDALA APPENDIX BASAL GANGLIA BONE MARROW BREAST BRONCHUS CEREBELLUM CEREBRAL CORTEX CERVIX CHOROID PLEXUS COLON DUODENUM
ENDOMETRIUM EPIDIDYMIS ESOPHAGUS FALLOPIAN TUBE GALLBLADDER HEART MUSCLE HIPPOCAMPAL FORMATION HYPOTHALAMUS KIDNEY LIVER LUNG LYMPH NODE MIDBRAIN NASOPHARYNX
ORAL MUCOSA OVARY PANCREAS PARATHYROID GLAND PITUITARY GLAND PLACENTA PROSTATE RECTUM RETINA SALIVARY GLAND SEMINAL VESICLE SKELETAL MUSCLE SKIN SMALL INTESTINE
SMOOTH MUSCLE SOFT TISSUE SPINAL CORD SPLEEN STOMACH TESTIS THYMUS THYROID GLAND TONGUE TONSIL URINARY BLADDER VAGINA
ANTIBODIES
AND
VALIDATION
Dictionary
Colon
Tissue proteome
Intestine
COLON - Expression summary
Protein expression
Coloni

On the top, protein expression in current human tissue, based on all annotated cell types, is reported with the units not detected (n), low (l), medium (m) and high (h). Underneath, protein expression in each annotated cell type are reported using the same units.

Protein expression data is based on knowledge-based annotation. For genes where more than one antibody has been used, a collective score is set.

If knowledge-based annotation could not be performed for a gene, no data is displayed here. View antibody staining data further down this page.

h
m
l
n
Endothelial cells: Medium
Glandular cells: High
Peripheral nerve/ganglion: Medium
RNA expressioni

A summary of mRNA expression data available for current tissue based on several datasets. The mRNA expression levels in human tissues are based on RNA-seq data generated by the Human Protein Atlas (HPA), Genotype-Tissue Expression (GTEx) portal and CAGE data generated by the FANTOM5 consortium. Consensus normalized expression levels for human tissues was created by combining the data from HPA and GTEx datasets.

The mRNA expression levels in pig are based on RNA-seq data generated by the Human Protein Atlas (HPA), and for mouse, HPA data and in situ hybridization generated by the Allen brain atlas are reported.

Scroll down to view mRNA expression data in more detail.
Consensus:33.3 nTPM
HPA:5.4 nTPM
GTEx:33.3 nTPM
FANTOM5:52.0 Scaled Tags Per Million

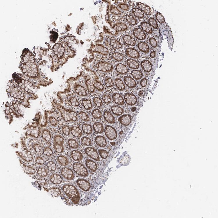
COLON - Antibody stainingi

Antibody staining in the annotated cell types in the current human tissue is reported as not detected, low, medium, or high, based on conventional immunohistochemistry profiling in selected tissues. This score is based on the combination of the staining intensity and fraction of stained cells.

Each image is clickable and will lead to virtual microscopy that enables deeper exploration of all samples and also displays staining intensity scores, fraction scores and subcellular localization as well as patient and tissue information for each sample.

Antibody CAB002003
Endothelial cells Medium
Glandular cells High
Peripheral nerve/ganglion Medium


COLON - HPA RNA-seqi

The RNA-seq details section shows detailed information about the individual samples used for the transcript profiling and results of the RNA-seq analysis.

Information about each individual sample is listed below, including gender, age, a tissue section image and estimated fractions of cell types. nTPM (normalized transcripts per million) values give a quantification of the gene abundance which is comparable between different genes and samples.
Average nTPM 5.4
overview
Male, age 54
Colon sample 67
nTPM: 6.5
Cell types%
Glandular cells:
65

Smooth muscle cells:
10

Other cell types:
25

overview
Female, age 57
Colon sample 68
nTPM: 0
Cell types%
Glandular cells:
40

Smooth muscle cells:
5

Other cell types:
55

overview
Male, age 80
Colon sample 69
nTPM: 4.5
Cell types%
Glandular cells:
55

Smooth muscle cells:
5

Other cell types:
40

overview
Male, age 68
Colon sample 70
nTPM: 0
Cell types%
Glandular cells:
35

Smooth muscle cells:
10

Other cell types:
55

overview
Female, age 68
Colon sample 76
nTPM: 3.6
Cell types%
Glandular cells:
25

Smooth muscle cells:
5

Other cell types:
70

overview
Female, age 61
Colon sample 299
nTPM: 11
Cell types%
Glandular cells:
5

Smooth muscle cells:
65

Other cell types:
30

overview
Male, age 80
Colon sample 300
nTPM: 8.6
Cell types%
Glandular cells:
15

Smooth muscle cells:
20

Other cell types:
65

overview
Female, age 78
Colon sample 368
nTPM: 7.6
Cell types%
Glandular cells:
45

Smooth muscle cells:
5

Other cell types:
50

overview
Male, age 84
Colon sample 381
nTPM: 6.5
Cell types%
Glandular cells:
50

Smooth muscle cells:
15

Other cell types:
35

overview
Male, age 80
Colon sample 384
nTPM: 0
Cell types%
Glandular cells:
20

Smooth muscle cells:
35

Other cell types:
45

overview
Female, age 78
Colon sample 389
nTPM: 5.7
Cell types%
Glandular cells:
35

Smooth muscle cells:
10

Other cell types:
55

overview
Female, age 69
Colon sample 391
nTPM: 0
Cell types%
Glandular cells:
10

Smooth muscle cells:
45

Other cell types:
45

overview
Female, age 72
Colon sample 403
nTPM: 17
Cell types%
Glandular cells:
20

Smooth muscle cells:
15

Other cell types:
65


COLON - GTEx RNA-seqi

RNA-Seq data generated by the Genotype-Tissue Expression (GTEx) project from human tissues is reported as mean nTPM. More information can be found on the GTEx portal.

Distribution across the dataset is visualized with box plots, shown as median and 25th and 75th percentiles. Points are displayed as outliers if they are above or below 1.5 times the interquartile range. nTPM values of the individual samples are presented next to the box plot.
Average nTPM 33.3
GTEx sample id Sample description nTPM
Colon - Sigmoid
Average nTPM: 33.3
Samples: 373

Max nTPM: 53.9
Min nTPM: 18.8
Std nTPM: 6.0
Median nTPM: 32.2
GTEX-1C6VQ-2626-SM-7IGMQ 50-59 years, male 53.9
GTEX-14E6C-2226-SM-5QGQG 40-49 years, male 52.6
GTEX-13PVQ-2726-SM-5L3H7 50-59 years, male 51.5
GTEX-14A5H-1626-SM-5SIAN 60-69 years, male 50.4
GTEX-1A32A-2626-SM-73KX9 50-59 years, female 50.0
GTEX-13PL7-2426-SM-5J2N3 60-69 years, female 49.5
GTEX-11TUW-2326-SM-5EQMO 60-69 years, male 48.5
GTEX-139TS-2226-SM-5J2N1 60-69 years, male 48.5
GTEX-1LB8K-2526-SM-DIPEQ 50-59 years, male 48.4
GTEX-1HCU6-2926-SM-B2LWV 60-69 years, female 47.7
GTEX-1J8EW-2426-SM-CE6T5 60-69 years, female 47.7
GTEX-1H1ZS-2626-SM-9QEIX 70-79 years, male 46.6
GTEX-13CF2-1826-SM-5N9GK 60-69 years, male 46.4
GTEX-1RAZQ-2026-SM-E76P7 30-39 years, male 46.4
GTEX-11ZTS-1526-SM-5N9G7 60-69 years, female 46.3
GTEX-15EO6-2326-SM-6LPKK 50-59 years, male 46.2
GTEX-1GMRU-2626-SM-9WPPM 50-59 years, male 45.8
GTEX-13OW8-2726-SM-5L3FZ 60-69 years, male 45.7
GTEX-11EMC-1426-SM-5N9E4 60-69 years, female 45.0
GTEX-1C4CL-1626-SM-7DUF3 30-39 years, male 45.0
GTEX-13X6J-2826-SM-7EPGA 50-59 years, male 44.7
GTEX-11ONC-1926-SM-5GU75 60-69 years, male 44.6
GTEX-XUW1-1826-SM-4BOQD 50-59 years, female 43.6
GTEX-1I1GR-2226-SM-ARL7F 60-69 years, male 43.1
GTEX-13FHO-2726-SM-5K7VG 60-69 years, male 43.0
GTEX-1HSEH-1926-SM-A96SB 60-69 years, male 43.0
GTEX-13U4I-2626-SM-5SI9C 40-49 years, female 42.9
GTEX-Y9LG-1326-SM-4VBQB 30-39 years, male 42.9
GTEX-XXEK-1826-SM-4BRVC 50-59 years, male 42.7
GTEX-ZVT3-2826-SM-5GU6A 60-69 years, female 42.6
GTEX-1JJEA-2526-SM-CY8HJ 60-69 years, male 42.6
GTEX-131YS-2926-SM-5EGKI 60-69 years, female 42.4
GTEX-1RDX4-1926-SM-E6CJJ 50-59 years, female 42.4
GTEX-XQ8I-2326-SM-4BOQC 50-59 years, male 41.9
GTEX-139UW-2326-SM-5KM1Y 60-69 years, male 41.5
GTEX-1N2DV-1826-SM-E6CJ5 40-49 years, male 41.1
GTEX-12KS4-2326-SM-5EGJB 30-39 years, male 41.0
GTEX-13OW6-2226-SM-5N9FL 50-59 years, male 41.0
GTEX-131XE-1026-SM-5EGKE 50-59 years, male 40.9
GTEX-145LT-0826-SM-5S2QL 40-49 years, male 40.9
GTEX-ZVT4-2626-SM-5N9GJ 50-59 years, female 40.9
GTEX-1GMR2-1826-SM-9KNUP 50-59 years, male 40.9
GTEX-1QCLZ-2026-SM-EAZ4A 60-69 years, female 40.9
GTEX-1GN73-2726-SM-9WYUB 60-69 years, male 40.8
GTEX-147JS-2626-SM-5S2UX 60-69 years, male 40.7
GTEX-1HKZK-2026-SM-9WYUF 40-49 years, male 40.6
GTEX-132NY-2726-SM-5PNY2 60-69 years, male 40.5
GTEX-1QP28-2226-SM-DTX8C 50-59 years, female 40.5
GTEX-11DXY-2026-SM-5N9CZ 60-69 years, male 40.1
GTEX-18A6Q-2226-SM-7LG61 60-69 years, male 40.1
GTEX-1QCLY-2026-SM-EVR4C 30-39 years, male 40.1
GTEX-12WSM-1426-SM-5GCPA 60-69 years, male 40.0
GTEX-13G51-2126-SM-5IJD9 60-69 years, male 40.0
GTEX-WXYG-1726-SM-4ONCU 50-59 years, female 39.8
GTEX-1LG7Y-2226-SM-E9U5K 50-59 years, male 39.8
GTEX-1B932-2126-SM-7IGMU 40-49 years, female 39.7
GTEX-1QP9N-0826-SM-DTX9O 30-39 years, male 39.7
GTEX-17F96-2126-SM-7KFSM 70-79 years, male 39.6
GTEX-1E2YA-2526-SM-7IGOU 50-59 years, male 39.5
GTEX-13OVJ-1826-SM-5KM2D 50-59 years, female 39.4
GTEX-145MH-2726-SM-5QGQ6 50-59 years, male 39.4
GTEX-1IDJH-2826-SM-CJI49 70-79 years, male 39.4
GTEX-1JMLX-2526-SM-CY8HX 50-59 years, male 39.4
GTEX-1RQEC-2626-SM-EVR3Z 60-69 years, male 39.4
GTEX-18465-2726-SM-7LT9I 50-59 years, male 39.3
GTEX-1IL2U-2526-SM-C1YQV 60-69 years, male 39.2
GTEX-14BIN-2426-SM-5TDCF 50-59 years, female 39.0
GTEX-17JCI-2826-SM-7IGNA 60-69 years, female 38.6
GTEX-1GMR3-2526-SM-7P8QS 40-49 years, male 38.6
GTEX-1212Z-1826-SM-5FQSH 60-69 years, male 38.5
GTEX-13FTW-2126-SM-5K7YG 40-49 years, male 38.5
GTEX-1LKK1-2426-SM-DIPES 50-59 years, female 38.4
GTEX-16XZZ-2726-SM-7EWDO 60-69 years, male 38.3
GTEX-1H23P-2626-SM-9KNVN 60-69 years, male 38.3
GTEX-1S82P-2026-SM-E9TIQ 60-69 years, female 38.3
GTEX-13N2G-2226-SM-5IJCU 60-69 years, male 38.0
GTEX-145MO-2626-SM-5QGPD 60-69 years, male 38.0
GTEX-13OW5-2826-SM-5KM1G 60-69 years, male 37.9
GTEX-ZVT2-1726-SM-51MRO 50-59 years, female 37.8
GTEX-1J8JJ-2426-SM-D4P4A 60-69 years, female 37.8
GTEX-1LG7Z-1326-SM-DIPF3 30-39 years, male 37.8
GTEX-17HGU-2626-SM-79OKN 50-59 years, male 37.7
GTEX-183FY-1426-SM-7DHLM 20-29 years, male 37.7
GTEX-X15G-1526-SM-4PQZM 50-59 years, female 37.7
GTEX-1GF9X-1426-SM-7RHGX 40-49 years, female 37.6
GTEX-1LSNL-1626-SM-E9TJY 50-59 years, male 37.5
GTEX-ZPU1-1726-SM-4WWFV 40-49 years, male 37.3
GTEX-1GPI7-1926-SM-9KNUH 20-29 years, male 37.3
GTEX-13D11-0626-SM-5LZYY 50-59 years, female 37.2
GTEX-17GQL-1626-SM-7LG69 60-69 years, male 37.2
GTEX-12WSL-1826-SM-5LZW9 50-59 years, male 37.1
GTEX-YJ8O-1426-SM-5PNV9 40-49 years, female 37.1
GTEX-1IDJU-1926-SM-CL53W 60-69 years, female 37.1
GTEX-ZYY3-2226-SM-5E45A 60-69 years, female 36.9
GTEX-1EH9U-1926-SM-7P8QM 60-69 years, male 36.9
GTEX-117XS-2226-SM-5GIE1 60-69 years, male 36.8
GTEX-14JG6-1626-SM-5YYBC 30-39 years, female 36.6
GTEX-WHWD-1526-SM-4OORV 50-59 years, male 36.6
GTEX-1CB4G-2726-SM-79OO4 60-69 years, male 36.4
GTEX-1N2EF-1726-SM-EXUSI 60-69 years, male 36.4
GTEX-18QFQ-1726-SM-731C9 30-39 years, male 36.3
GTEX-1GTWX-2626-SM-9WPOT 60-69 years, male 36.3
GTEX-1K2DA-1626-SM-CGQGB 50-59 years, male 36.3
GTEX-12WSD-2626-SM-5EGJE 60-69 years, female 36.1
GTEX-15CHQ-2626-SM-686YZ 60-69 years, male 36.0
GTEX-1PBJJ-2026-SM-DTX8U 30-39 years, male 36.0
GTEX-1QW4Y-1426-SM-E76P3 30-39 years, male 35.9
GTEX-148VJ-2426-SM-5NQ9Y 70-79 years, male 35.8
GTEX-15RJ7-1726-SM-6PAL3 40-49 years, male 35.8
GTEX-1HSKV-2326-SM-A9SL9 60-69 years, male 35.8
GTEX-1I1GT-2026-SM-CKZPK 60-69 years, female 35.8
GTEX-11P81-1426-SM-5P9JN 30-39 years, female 35.7
GTEX-1AX9K-1626-SM-73KUS 50-59 years, male 35.7
GTEX-ZV6S-1126-SM-57WE9 40-49 years, female 35.7
GTEX-ZDTS-2726-SM-5L3E2 60-69 years, male 35.6
GTEX-ZYFD-2226-SM-5E43P 50-59 years, male 35.6
GTEX-ZP4G-1526-SM-57WE5 20-29 years, female 35.5
GTEX-14PKV-1926-SM-686YU 20-29 years, female 35.4
GTEX-ZY6K-1326-SM-5GZWP 50-59 years, male 35.4
GTEX-11EQ9-1526-SM-5PNY7 30-39 years, male 35.3
GTEX-XV7Q-2226-SM-4BRVY 40-49 years, female 35.3
GTEX-Y5LM-1426-SM-5RQJL 40-49 years, female 35.3
GTEX-1F5PK-1726-SM-7RHHW 50-59 years, male 35.3
GTEX-13QBU-2026-SM-5KLZB 40-49 years, female 35.2
GTEX-14A5I-2426-SM-5Q5CP 50-59 years, female 35.2
GTEX-16BQI-2026-SM-7KULQ 30-39 years, female 35.2
GTEX-1PDJ9-2026-SM-E76PT 20-29 years, male 35.2
GTEX-12696-1926-SM-5EGJT 60-69 years, male 35.1
GTEX-ZC5H-2426-SM-4WAZ6 40-49 years, female 35.0
GTEX-V955-1726-SM-4JBHF 60-69 years, male 34.9
GTEX-11EI6-2626-SM-5PNVT 60-69 years, male 34.8
GTEX-15DYW-2426-SM-7KUG8 60-69 years, female 34.8
GTEX-1HBPI-2226-SM-9WYTY 50-59 years, male 34.8
GTEX-1S831-1726-SM-EWROJ 20-29 years, male 34.7
GTEX-18A66-2626-SM-72D67 60-69 years, male 34.6
GTEX-1LSNM-1426-SM-E6CIH 50-59 years, male 34.6
GTEX-145ME-1126-SM-5SIAT 40-49 years, female 34.5
GTEX-14DAQ-2926-SM-664MV 60-69 years, female 34.5
GTEX-X4EO-2726-SM-4E3HS 60-69 years, female 34.5
GTEX-WYVS-1126-SM-4SOJX 40-49 years, female 34.4
GTEX-ZYFG-1826-SM-5GZWX 60-69 years, female 34.4
GTEX-111YS-1826-SM-5GIEP 60-69 years, male 34.3
GTEX-1477Z-2126-SM-5Q5CM 60-69 years, male 34.3
GTEX-1C64N-2226-SM-7SB7C 50-59 years, male 34.3
GTEX-1HSGN-2226-SM-A9SL6 40-49 years, female 34.3
GTEX-1JMQK-2326-SM-ARZN4 60-69 years, male 34.3
GTEX-1JJE9-2526-SM-ARU8K 70-79 years, male 34.2
GTEX-12ZZX-2726-SM-5N9FT 40-49 years, female 34.1
GTEX-1339X-1726-SM-5P9J9 40-49 years, male 33.9
GTEX-1ICG6-2226-SM-B2LY7 70-79 years, female 33.9
GTEX-1J8QM-1226-SM-CY8HI 60-69 years, female 33.9
GTEX-18A67-2226-SM-7LT9Z 50-59 years, male 33.8
GTEX-1HCUA-1926-SM-B2LWE 50-59 years, female 33.8
GTEX-1PIGE-1526-SM-DTXFC 20-29 years, male 33.8
GTEX-1RAZR-2026-SM-E9TKE 40-49 years, male 33.8
GTEX-11DXZ-1626-SM-5GIDI 50-59 years, male 33.7
GTEX-13O61-1526-SM-5KM3P 60-69 years, male 33.7
GTEX-1CB4F-1926-SM-7MKFN 60-69 years, male 33.7
GTEX-ZTTD-2626-SM-57WEX 50-59 years, male 33.7
GTEX-1GZ4H-1326-SM-7P8TE 50-59 years, female 33.7
GTEX-1R9JW-2126-SM-E76QT 30-39 years, female 33.7
GTEX-11GS4-1826-SM-5HL4T 60-69 years, male 33.6
GTEX-1HCVE-2326-SM-9WYUD 50-59 years, male 33.6
GTEX-1PIEJ-1826-SM-EWRMN 20-29 years, female 33.6
GTEX-1R7EU-1826-SM-DTX9L 60-69 years, male 33.6
GTEX-13OVI-2126-SM-5KM3U 60-69 years, female 33.4
GTEX-1122O-1426-SM-5H11R 60-69 years, female 33.3
GTEX-Z93S-2626-SM-57WBX 50-59 years, male 33.3
GTEX-16MTA-1626-SM-6M47N 50-59 years, male 33.2
GTEX-1399R-2126-SM-5K7WZ 30-39 years, male 33.1
GTEX-15G19-2726-SM-6LPKG 60-69 years, male 33.1
GTEX-1LBAC-1726-SM-D3L9W 20-29 years, male 33.1
GTEX-ZVZQ-2626-SM-59HLB 60-69 years, female 33.0
GTEX-1KANA-1726-SM-CY8IG 20-29 years, male 33.0
GTEX-1B97I-1526-SM-73KUK 40-49 years, male 32.9
GTEX-WY7C-1926-SM-4ONCI 50-59 years, male 32.9
GTEX-ZT9W-1726-SM-51MS3 50-59 years, male 32.9
GTEX-1F75W-2126-SM-7RHIA 60-69 years, male 32.8
GTEX-1GL5R-1726-SM-9KNUX 50-59 years, male 32.6
GTEX-1LGRB-2026-SM-COH47 50-59 years, female 32.6
GTEX-XUZC-1526-SM-4BRV4 30-39 years, female 32.5
GTEX-1B8L1-1926-SM-7IGND 60-69 years, male 32.4
GTEX-ZPIC-2626-SM-57WE2 40-49 years, female 32.4
GTEX-14PJ3-1226-SM-5ZZVY 50-59 years, male 32.3
GTEX-11ZU8-1126-SM-5EQ5K 60-69 years, male 32.2
GTEX-12WSG-2426-SM-5EQLZ 50-59 years, female 32.2
GTEX-1JKYR-2026-SM-CNPON 20-29 years, male 32.2
GTEX-17HHE-1626-SM-7DHLN 50-59 years, male 32.1
GTEX-1HBPN-2026-SM-B2LWA 50-59 years, male 32.1
GTEX-1IDJI-2226-SM-CKZPM 50-59 years, female 32.1
GTEX-1QP29-2526-SM-E6CQ3 50-59 years, male 32.1
GTEX-12ZZY-2726-SM-5EQ45 60-69 years, male 32.0
GTEX-1BAJH-2726-SM-7IGNJ 70-79 years, male 32.0
GTEX-ZYT6-2826-SM-5GICX 30-39 years, male 32.0
GTEX-1RMOY-1726-SM-EVYC9 50-59 years, male 32.0
GTEX-1PIIG-2126-SM-EXUSD 30-39 years, male 31.9
GTEX-1B8KE-1526-SM-7DUG2 50-59 years, male 31.8
GTEX-1EMGI-2626-SM-7IGNR 60-69 years, male 31.8
GTEX-ZE7O-2626-SM-51MSS 50-59 years, female 31.8
GTEX-1HFI7-1626-SM-9WYTR 50-59 years, female 31.8
GTEX-1S5ZA-1426-SM-E6CJQ 20-29 years, male 31.8
GTEX-WFG8-1726-SM-4LVM6 20-29 years, male 31.7
GTEX-1K9T9-2926-SM-E9TKD 50-59 years, female 31.7
GTEX-1JN6P-2126-SM-ARL98 60-69 years, male 31.6
GTEX-15ER7-2826-SM-6PAN2 20-29 years, female 31.5
GTEX-1HCU7-2726-SM-A9G3D 50-59 years, male 31.5
GTEX-15RIF-1426-SM-7KUKQ 20-29 years, male 31.4
GTEX-WFG7-1626-SM-4LVMF 20-29 years, male 31.4
GTEX-YECK-2826-SM-5IFHF 60-69 years, male 31.4
GTEX-14PN3-1926-SM-6EU1Y 60-69 years, female 31.3
GTEX-16NGA-0926-SM-718AG 40-49 years, female 31.3
GTEX-1LSVX-2026-SM-E9TJD 60-69 years, male 31.3
GTEX-1LVAM-1726-SM-DHXKQ 50-59 years, female 31.3
GTEX-15UF7-1326-SM-7KUKV 40-49 years, male 31.2
GTEX-16Z82-2426-SM-7KUMS 60-69 years, male 31.2
GTEX-ZAJG-2626-SM-5S2NU 50-59 years, female 31.2
GTEX-1LVAO-2826-SM-E9TJH 60-69 years, male 31.2
GTEX-WYJK-2326-SM-4ONDN 50-59 years, male 31.1
GTEX-WFON-1326-SM-4LVMN 40-49 years, male 31.0
GTEX-ZPCL-1626-SM-57WGC 60-69 years, female 31.0
GTEX-1F5PL-1926-SM-7MXTP 40-49 years, female 31.0
GTEX-1JN76-1326-SM-ARU94 20-29 years, female 31.0
GTEX-WQUQ-2626-SM-4MVNP 60-69 years, male 30.9
GTEX-1MGNQ-2126-SM-EV7AC 40-49 years, male 30.9
GTEX-1OFPY-1226-SM-E76OM 60-69 years, male 30.9
GTEX-13VXT-2026-SM-5L3EW 20-29 years, female 30.8
GTEX-1C2JI-1726-SM-73KUW 50-59 years, male 30.8
GTEX-132AR-2826-SM-5IJFV 50-59 years, female 30.7
GTEX-1GMR8-2926-SM-9KNW5 50-59 years, female 30.7
GTEX-1PBJI-2526-SM-E6CP4 20-29 years, female 30.7
GTEX-1R9PO-2026-SM-E9J4N 60-69 years, female 30.7
GTEX-1J8Q3-2426-SM-CL53S 60-69 years, male 30.6
GTEX-147GR-2826-SM-5RQK8 60-69 years, male 30.5
GTEX-1AX9J-2526-SM-73KUY 60-69 years, male 30.5
GTEX-WHPG-1626-SM-4M1ZL 50-59 years, male 30.5
GTEX-146FH-2426-SM-5Q5EW 50-59 years, female 30.4
GTEX-17MFQ-1226-SM-7KFSA 20-29 years, male 30.4
GTEX-1LVAN-2626-SM-CNPQF 50-59 years, female 30.4
GTEX-14PJ4-1826-SM-5YY97 60-69 years, male 30.3
GTEX-WOFM-1926-SM-4OOSP 20-29 years, male 30.3
GTEX-ZAB5-1426-SM-5HL9D 50-59 years, male 30.3
GTEX-1LGOU-1726-SM-D3L8P 20-29 years, female 30.3
GTEX-18D9A-1326-SM-7LT8P 30-39 years, female 30.2
GTEX-1AMFI-1826-SM-73KWB 50-59 years, female 30.2
GTEX-ZF2S-1826-SM-4WKFF 50-59 years, female 30.2
GTEX-1R9K5-2226-SM-DTX9G 50-59 years, male 30.2
GTEX-13O1R-2426-SM-5KLZZ 60-69 years, male 30.1
GTEX-ZG7Y-1826-SM-4WWD3 50-59 years, male 30.1
GTEX-1PFEY-1726-SM-DPRZ4 30-39 years, male 30.1
GTEX-11ZTT-1626-SM-5EQKR 60-69 years, female 30.0
GTEX-12WSJ-1426-SM-5GCON 40-49 years, female 30.0
GTEX-ZLFU-1426-SM-4WWEU 40-49 years, male 30.0
GTEX-13X6K-2726-SM-5O9DG 60-69 years, female 29.9
GTEX-14AS3-1026-SM-5TDD7 40-49 years, female 29.8
GTEX-17HG3-1126-SM-7DUFC 30-39 years, female 29.8
GTEX-1HBPM-2626-SM-9WYU5 60-69 years, female 29.8
GTEX-1I1GP-2826-SM-A9SKZ 50-59 years, male 29.8
GTEX-13SLW-2826-SM-5Q5ES 70-79 years, male 29.7
GTEX-1C64O-2426-SM-7P8R3 60-69 years, male 29.7
GTEX-1EU9M-2726-SM-7P8QD 60-69 years, male 29.7
GTEX-1HSMO-2526-SM-A9SKP 60-69 years, male 29.7
GTEX-17KNJ-1826-SM-7LT9N 50-59 years, male 29.6
GTEX-ZQG8-2426-SM-57WEE 60-69 years, female 29.6
GTEX-117YX-0526-SM-5EGJH 50-59 years, male 29.5
GTEX-11I78-1326-SM-5PNY9 50-59 years, female 29.5
GTEX-ZF29-1826-SM-4WKG8 60-69 years, female 29.5
GTEX-139D8-2926-SM-5IJBM 30-39 years, female 29.4
GTEX-13RTJ-1926-SM-5YYA2 60-69 years, male 29.4
GTEX-11DXX-1926-SM-5EGJK 60-69 years, female 29.3
GTEX-131XG-1526-SM-5GCNQ 50-59 years, female 29.3
GTEX-ZA64-1426-SM-5CVMC 20-29 years, male 29.3
GTEX-1QPFJ-2426-SM-EVR3L 30-39 years, female 29.3
GTEX-WH7G-1426-SM-4LVMU 40-49 years, male 29.2
GTEX-ZE9C-2126-SM-4WKGY 60-69 years, male 29.2
GTEX-ZXES-1726-SM-5E43G 30-39 years, female 29.2
GTEX-1H1DE-1626-SM-9KNU5 20-29 years, male 29.2
GTEX-1B996-2726-SM-7DUGG 60-69 years, male 29.0
GTEX-YF7O-1626-SM-5IFII 50-59 years, male 29.0
GTEX-1H1E6-1826-SM-A9G21 30-39 years, male 29.0
GTEX-1HB9E-2526-SM-D4P35 50-59 years, male 28.9
GTEX-YFCO-1526-SM-5YYB8 40-49 years, male 28.8
GTEX-1HSMQ-2526-SM-A9SMK 50-59 years, male 28.8
GTEX-1J1OQ-2826-SM-D3L88 40-49 years, female 28.8
GTEX-1JMPZ-2626-SM-ARU8Z 30-39 years, male 28.7
GTEX-14C39-1626-SM-5S2P4 40-49 years, male 28.6
GTEX-14C5O-2626-SM-5RQI5 60-69 years, male 28.6
GTEX-1A3MV-1026-SM-72D5U 30-39 years, male 28.6
GTEX-1OJC3-1826-SM-DTX93 20-29 years, male 28.6
GTEX-145LS-2926-SM-5O99G 60-69 years, female 28.5
GTEX-14PK6-1826-SM-69LOM 70-79 years, female 28.5
GTEX-Y8LW-1126-SM-4VDS4 50-59 years, female 28.5
GTEX-11PRG-2026-SM-5GU5F 50-59 years, male 28.4
GTEX-13111-1926-SM-5GCOL 50-59 years, male 28.4
GTEX-1399U-2226-SM-5KLZI 50-59 years, female 28.4
GTEX-YJ8A-1726-SM-5P9IQ 20-29 years, male 28.4
GTEX-1H3VY-2526-SM-9KNW1 50-59 years, male 28.4
GTEX-14E1K-1626-SM-664MO 50-59 years, male 28.3
GTEX-14PHX-1126-SM-5YYA5 50-59 years, male 28.3
GTEX-1CAMR-1026-SM-7P8QI 20-29 years, male 28.3
GTEX-1QP67-1426-SM-E8VOO 40-49 years, female 28.3
GTEX-Y8E4-2326-SM-EAZAZ 40-49 years, male 28.3
GTEX-1211K-1826-SM-5EGJ2 60-69 years, female 28.2
GTEX-ZLWG-1826-SM-DO11I 50-59 years, female 28.2
GTEX-ZLV1-1326-SM-DO11Q 60-69 years, female 28.1
GTEX-13PVR-1726-SM-5Q5EC 60-69 years, female 28.0
GTEX-Y3I4-1126-SM-4TT7Y 50-59 years, male 28.0
GTEX-1IKOE-2126-SM-A96T5 30-39 years, female 28.0
GTEX-1JMQJ-2626-SM-CY8HQ 50-59 years, male 28.0
GTEX-15RJE-2226-SM-6M46A 40-49 years, male 27.8
GTEX-1H3NZ-2526-SM-9KNVO 60-69 years, male 27.8
GTEX-1I6K6-1926-SM-A96SN 30-39 years, male 27.8
GTEX-1PPH8-2226-SM-EWRN7 20-29 years, male 27.8
GTEX-1QP2A-2226-SM-DTXF6 50-59 years, male 27.7
GTEX-12BJ1-2026-SM-5FQUH 60-69 years, male 27.6
GTEX-13CF3-1326-SM-5LZXZ 60-69 years, female 27.6
GTEX-15RIE-2026-SM-7KFRW 60-69 years, male 27.6
GTEX-1CAMS-2626-SM-7PBY3 40-49 years, female 27.6
GTEX-13113-1426-SM-5EGHU 60-69 years, female 27.5
GTEX-13X6I-2726-SM-5Q5ET 60-69 years, male 27.5
GTEX-Y5V6-1626-SM-4VDT2 60-69 years, male 27.5
GTEX-ZF28-2526-SM-57WFH 60-69 years, male 27.5
GTEX-1I1CD-2826-SM-A9SL4 60-69 years, female 27.5
GTEX-139T6-1426-SM-5P9J7 50-59 years, male 27.4
GTEX-1P4AB-2626-SM-DTXEU 50-59 years, male 27.4
GTEX-11P7K-1826-SM-5HL5A 30-39 years, male 27.3
GTEX-1JK1U-1426-SM-CNPOW 60-69 years, male 27.3
GTEX-14E6E-1726-SM-5S2R6 30-39 years, male 27.2
GTEX-17F9Y-2626-SM-7IGN9 70-79 years, female 27.2
GTEX-WI4N-2226-SM-4OOS9 40-49 years, female 27.2
GTEX-ZQUD-1026-SM-4YCEZ 30-39 years, male 27.1
GTEX-15ETS-2326-SM-7KUGC 40-49 years, female 27.0
GTEX-12ZZW-2426-SM-5DUWE 50-59 years, male 26.9
GTEX-111CU-1226-SM-5EGIN 50-59 years, male 26.8
GTEX-XAJ8-0726-SM-47JY5 40-49 years, male 26.7
GTEX-15UF6-2726-SM-7KULY 70-79 years, female 26.6
GTEX-W5WG-2026-SM-4LMIB 50-59 years, female 26.4
GTEX-13FH7-1626-SM-5J2O9 50-59 years, female 26.3
GTEX-ZTSS-1226-SM-51MSZ 40-49 years, male 26.3
GTEX-1JKYN-2226-SM-ARZNE 30-39 years, male 26.3
GTEX-ZAB4-2426-SM-5HL8A 40-49 years, male 26.2
GTEX-1L5NE-1926-SM-D3L9R 50-59 years, male 26.2
GTEX-183WM-2526-SM-731BP 70-79 years, female 26.1
GTEX-15G1A-1926-SM-7KUFF 30-39 years, male 26.1
GTEX-1KXAM-1926-SM-D3LAG 60-69 years, male 26.1
GTEX-11VI4-1426-SM-5GU6O 40-49 years, female 26.0
GTEX-13OVK-1026-SM-7KFTC 40-49 years, male 26.0
GTEX-1A3MX-2326-SM-718B4 60-69 years, male 26.0
GTEX-X5EB-1126-SM-46MVV 40-49 years, male 25.7
GTEX-13W3W-2226-SM-5LU4M 60-69 years, female 25.3
GTEX-144GM-1126-SM-79OJK 20-29 years, male 25.1
GTEX-ZZ64-0826-SM-5E449 20-29 years, male 24.9
GTEX-1JMPY-1026-SM-ARZN1 30-39 years, male 24.9
GTEX-1AMEY-1826-SM-72D5L 30-39 years, female 24.8
GTEX-14BMU-1326-SM-5RQIH 20-29 years, female 24.6
GTEX-1H3VE-2326-SM-9KNVU 40-49 years, male 24.6
GTEX-1RLM8-1726-SM-E9TKF 50-59 years, male 24.2
GTEX-11EM3-1626-SM-5N9CO 20-29 years, female 24.0
GTEX-XBED-1726-SM-47JYO 60-69 years, male 24.0
GTEX-15DZA-1026-SM-6PAND 30-39 years, female 23.8
GTEX-15F5U-1426-SM-7KUN2 40-49 years, male 23.8
GTEX-15FZZ-1826-SM-6LLJP 30-39 years, female 23.7
GTEX-VJYA-2126-SM-4KL1O 60-69 years, male 23.7
GTEX-11TT1-0926-SM-5GU5M 20-29 years, male 23.5
GTEX-1HBPH-2526-SM-ACKXK 40-49 years, female 23.5
GTEX-WHSE-2726-SM-EZ6ML 20-29 years, male 22.9
GTEX-WRHK-1126-SM-4MVOJ 20-29 years, female 22.7
GTEX-YEC3-2026-SM-DKPOL 50-59 years, male 22.6
GTEX-1C475-1526-SM-7DHM3 40-49 years, female 22.5
GTEX-1J1R8-1426-SM-CL55O 40-49 years, male 22.5
GTEX-17EUY-1726-SM-79OK4 20-29 years, male 22.1
GTEX-Y114-1626-SM-4TT7I 50-59 years, female 21.6
GTEX-1AYCT-1926-SM-793AE 50-59 years, male 20.9
GTEX-11EQ8-2626-SM-5N9BO 60-69 years, male 18.8
Show allShow less
Colon - Transverse
Average nTPM: 27.9
Samples: 406

Max nTPM: 50.7
Min nTPM: 15.8
Std nTPM: 4.6
Median nTPM: 27.5
GTEX-11TUW-2026-SM-5EQL8 60-69 years, male 50.7
GTEX-11GSP-1626-SM-5986N 60-69 years, female 43.2
GTEX-13U4I-2426-SM-5LU34 40-49 years, female 41.9
GTEX-X5EB-0926-SM-46MVT 40-49 years, male 40.9
GTEX-ZYFC-2626-SM-5NQ6S 50-59 years, male 40.6
GTEX-145MO-2426-SM-5NQ9W 60-69 years, male 39.2
GTEX-14C39-1926-SM-5ZZW5 40-49 years, male 39.1
GTEX-18A7A-2226-SM-7LT8K 50-59 years, female 38.8
GTEX-13OVI-2026-SM-5J1MU 60-69 years, female 37.7
GTEX-RWS6-1826-SM-47JXX 60-69 years, female 37.6
GTEX-17GQL-1526-SM-7LTAC 60-69 years, male 37.5
GTEX-1QMI2-2626-SM-E6CR4 60-69 years, male 37.5
GTEX-1LG7Y-2126-SM-DIPER 50-59 years, male 37.4
GTEX-13O61-1626-SM-5KM3T 60-69 years, male 37.2
GTEX-1HCU6-2726-SM-A9SKV 60-69 years, female 36.9
GTEX-XPVG-1826-SM-4B64X 50-59 years, male 36.7
GTEX-1JMLX-2726-SM-CM2SB 50-59 years, male 36.6
GTEX-1AYD5-1726-SM-7RHFW 50-59 years, male 36.3
GTEX-X4EO-2526-SM-EWRM8 60-69 years, female 36.3
GTEX-16Z82-2226-SM-6LPJ7 60-69 years, male 36.2
GTEX-1S82U-0726-SM-E9TKI 30-39 years, female 36.2
GTEX-18D9B-2526-SM-718BN 60-69 years, male 36.1
GTEX-1HCU9-1326-SM-B2LXT 20-29 years, male 36.1
GTEX-OOBJ-1426-SM-E6CHH 60-69 years, male 35.8
GTEX-YEC3-2426-SM-DO11A 50-59 years, male 35.7
GTEX-11ONC-2026-SM-5HL61 60-69 years, male 35.5
GTEX-14PJ3-0926-SM-69LQG 50-59 years, male 35.4
GTEX-17MF6-2426-SM-7LTAM 40-49 years, male 35.2
GTEX-1HSMQ-2726-SM-C1YRE 50-59 years, male 35.2
GTEX-1LBAC-1626-SM-CXZKV 20-29 years, male 35.1
GTEX-XXEK-1926-SM-4BRVD 50-59 years, male 35.0
GTEX-U412-1726-SM-EZ6KX 60-69 years, male 35.0
GTEX-U3ZH-1326-SM-4DXSF 30-39 years, male 34.8
GTEX-15ER7-2926-SM-7KUFK 20-29 years, female 34.7
GTEX-UJMC-1326-SM-4IHLS 50-59 years, male 34.7
GTEX-YEC4-1926-SM-5IFHJ 40-49 years, male 34.4
GTEX-1I1GR-2526-SM-CNNQF 60-69 years, male 34.2
GTEX-13O21-2426-SM-5MR4A 50-59 years, male 34.1
GTEX-XBEW-1926-SM-4SOJO 40-49 years, male 34.1
GTEX-17F9E-1826-SM-7IGMC 50-59 years, male 33.9
GTEX-1N5O9-2726-SM-E76QH 60-69 years, male 33.9
GTEX-NFK9-2026-SM-3LK5K 40-49 years, male 33.6
GTEX-OXRN-2026-SM-E6CHK 50-59 years, male 33.6
GTEX-1C2JI-1626-SM-7EPHC 50-59 years, male 33.5
GTEX-1GMR2-1726-SM-9JGI2 50-59 years, male 33.5
GTEX-1PPGY-2826-SM-DTX9H 60-69 years, male 33.5
GTEX-1GN73-2626-SM-9KNUQ 60-69 years, male 33.4
GTEX-139TS-1926-SM-5IJFO 60-69 years, male 33.3
GTEX-148VJ-2626-SM-5QGPI 70-79 years, male 33.3
GTEX-14BIN-3026-SM-5ZZUS 50-59 years, female 33.3
GTEX-17HII-2726-SM-7MGVM 50-59 years, male 33.3
GTEX-X3Y1-1726-SM-4PQZL 40-49 years, male 33.0
GTEX-Y5LM-1526-SM-4VDTA 40-49 years, female 32.9
GTEX-1399R-2226-SM-5P9JB 30-39 years, male 32.8
GTEX-V955-1626-SM-4JBHJ 60-69 years, male 32.8
GTEX-1PPH8-2026-SM-DTX7P 20-29 years, male 32.8
GTEX-111YS-1626-SM-5GZZ9 60-69 years, male 32.6
GTEX-ZVT2-1926-SM-5GU5T 50-59 years, female 32.6
GTEX-11EQ9-1426-SM-5987G 30-39 years, male 32.5
GTEX-15DZA-0926-SM-69LQ3 30-39 years, female 32.5
GTEX-1I1GT-1926-SM-ARU7D 60-69 years, female 32.5
GTEX-1K2DA-2026-SM-CGQGK 50-59 years, male 32.5
GTEX-1LSVX-1726-SM-DHXJP 60-69 years, male 32.5
GTEX-Y3I4-1426-SM-4TT9C 50-59 years, male 32.4
GTEX-1PWST-2426-SM-EWRMP 70-79 years, male 32.3
GTEX-1S5VW-2926-SM-E9U6H 60-69 years, male 32.3
GTEX-1BAJH-2326-SM-7IGMO 70-79 years, male 32.2
GTEX-WOFM-2026-SM-4OOSQ 20-29 years, male 32.2
GTEX-WY7C-1626-SM-4ONC8 50-59 years, male 32.2
GTEX-11P81-1126-SM-5GU5G 30-39 years, female 32.1
GTEX-1C64O-2326-SM-73KU8 60-69 years, male 32.1
GTEX-OHPM-1426-SM-3TW8Y 50-59 years, male 32.1
GTEX-S341-1426-SM-4AD6U 40-49 years, female 32.1
GTEX-1GF9X-1526-SM-7P8QP 40-49 years, female 32.1
GTEX-1MUQO-2626-SM-EWRO3 60-69 years, male 32.1
GTEX-11ZVC-2126-SM-5EGJ1 50-59 years, female 32.0
GTEX-13FH7-1526-SM-5J2N6 50-59 years, female 31.9
GTEX-17HGU-2426-SM-7EWDP 50-59 years, male 31.9
GTEX-ZT9W-1826-SM-51MQX 50-59 years, male 31.9
GTEX-1RAZQ-2126-SM-DTX9V 30-39 years, male 31.9
GTEX-S4P3-1226-SM-4AD4Y 50-59 years, female 31.8
GTEX-13OW5-2626-SM-5MR3M 60-69 years, male 31.7
GTEX-UJHI-1126-SM-4IHLN 50-59 years, female 31.7
GTEX-1211K-1726-SM-5FQUJ 60-69 years, female 31.6
GTEX-13QBU-1826-SM-5IJG3 40-49 years, female 31.6
GTEX-ZYFG-1926-SM-5GID5 60-69 years, female 31.4
GTEX-WH7G-1326-SM-4LVMS 40-49 years, male 31.3
GTEX-1R9PM-1526-SM-DPRY8 20-29 years, male 31.2
GTEX-14DAQ-2726-SM-5S2QY 60-69 years, female 31.1
GTEX-18QFQ-1526-SM-72D57 30-39 years, male 31.1
GTEX-1C6VQ-2726-SM-73KUL 50-59 years, male 31.1
GTEX-WQUQ-2526-SM-4MVNO 60-69 years, male 31.1
GTEX-1NV5F-2226-SM-DTX8O 60-69 years, female 31.1
GTEX-147JS-2526-SM-5S2Q8 60-69 years, male 31.0
GTEX-1S83E-1626-SM-EV7B9 40-49 years, male 31.0
GTEX-WFON-1426-SM-4LVMT 40-49 years, male 30.9
GTEX-1E2YA-2626-SM-7MGWW 50-59 years, male 30.9
GTEX-14E6E-1526-SM-5RQIG 30-39 years, male 30.8
GTEX-XYKS-2226-SM-4E3IU 60-69 years, female 30.8
GTEX-1GL5R-2426-SM-7MXV1 50-59 years, male 30.8
GTEX-1RDX4-1826-SM-EVR54 50-59 years, female 30.8
GTEX-1L5NE-2026-SM-CXZKR 50-59 years, male 30.7
GTEX-1RMOY-1626-SM-EVYC8 50-59 years, male 30.7
GTEX-13111-0726-SM-5DUVE 50-59 years, male 30.6
GTEX-Q734-1126-SM-48TZY 40-49 years, female 30.6
GTEX-T6MO-0826-SM-4DM51 40-49 years, female 30.6
GTEX-1QW4Y-1326-SM-EWRMZ 30-39 years, male 30.6
GTEX-13S86-1626-SM-5Q5C5 40-49 years, male 30.5
GTEX-PLZ6-0926-SM-3P5ZQ 30-39 years, male 30.5
GTEX-145ME-0826-SM-5O9AF 40-49 years, female 30.4
GTEX-14E1K-1826-SM-793DT 50-59 years, male 30.3
GTEX-1GF9U-1526-SM-7MXUW 40-49 years, female 30.3
GTEX-1IGQW-2326-SM-CE6RV 60-69 years, male 30.3
GTEX-P78B-1726-SM-3P5ZV 40-49 years, female 30.2
GTEX-TML8-1326-SM-4DXTO 40-49 years, female 30.1
GTEX-SJXC-2226-SM-EVYAK 60-69 years, male 30.1
GTEX-PX3G-1426-SM-48U1J 20-29 years, female 30.0
GTEX-WEY5-1426-SM-4LMJ3 40-49 years, female 30.0
GTEX-1HCVE-2526-SM-A9G2G 50-59 years, male 30.0
GTEX-1MJK3-0926-SM-EV7AY 20-29 years, male 29.9
GTEX-1QP9N-1026-SM-E6CPX 30-39 years, male 29.9
GTEX-145LT-0926-SM-5LU9C 40-49 years, male 29.8
GTEX-18A7B-2026-SM-72D71 70-79 years, male 29.8
GTEX-OXRL-1426-SM-3NM9E 50-59 years, male 29.8
GTEX-R55C-1126-SM-48FCJ 40-49 years, male 29.8
GTEX-14PJ4-1926-SM-6LLHG 60-69 years, male 29.7
GTEX-1AX9I-2626-SM-73KU5 60-69 years, male 29.7
GTEX-QCQG-1626-SM-48U26 50-59 years, female 29.7
GTEX-1GZ4I-2426-SM-9WPPP 50-59 years, male 29.7
GTEX-1IDJD-2226-SM-A96TD 30-39 years, male 29.7
GTEX-TKQ2-1326-SM-4DXT9 50-59 years, male 29.6
GTEX-Y9LG-1526-SM-4WWDR 30-39 years, male 29.6
GTEX-RM2N-0926-SM-48FD1 50-59 years, male 29.5
GTEX-RU1J-1326-SM-46MUL 20-29 years, female 29.5
GTEX-1KANB-1526-SM-CXZK4 50-59 years, male 29.5
GTEX-12WSL-1626-SM-5GCMU 50-59 years, male 29.4
GTEX-17F96-2026-SM-79ON4 70-79 years, male 29.4
GTEX-QLQ7-1126-SM-CYPRB 60-69 years, male 29.4
GTEX-U3ZM-1126-SM-4DXUB 40-49 years, male 29.3
GTEX-11LCK-2026-SM-5A5MA 30-39 years, male 29.2
GTEX-1IDJF-1826-SM-CKZOE 20-29 years, male 29.2
GTEX-PLZ5-1126-SM-3P613 50-59 years, male 29.1
GTEX-XUW1-1926-SM-4BOP1 50-59 years, female 29.1
GTEX-14PJM-2626-SM-686ZD 50-59 years, female 29.0
GTEX-1C4CL-2126-SM-7IGQC 30-39 years, male 29.0
GTEX-1KANA-1926-SM-DHXKF 20-29 years, male 29.0
GTEX-1B8KZ-1326-SM-7DUG6 50-59 years, male 28.9
GTEX-ZV6S-1226-SM-59HLH 40-49 years, female 28.9
GTEX-1R7EU-1926-SM-E9U62 60-69 years, male 28.9
GTEX-QEL4-1926-SM-D3L8D 50-59 years, male 28.9
GTEX-178AV-1326-SM-6LPJX 40-49 years, male 28.8
GTEX-YF7O-1726-SM-5IFJ9 50-59 years, male 28.8
GTEX-15G1A-1826-SM-7KUKO 30-39 years, male 28.7
GTEX-17EUY-1826-SM-7DUEZ 20-29 years, male 28.7
GTEX-P4QT-1426-SM-3NMCX 50-59 years, female 28.7
GTEX-1PFEY-1426-SM-E9U6U 30-39 years, male 28.7
GTEX-1339X-1626-SM-5IJDN 40-49 years, male 28.6
GTEX-15CHC-1626-SM-5ZZWS 60-69 years, female 28.6
GTEX-15SHU-2526-SM-6M47D 40-49 years, female 28.6
GTEX-1LGRB-1426-SM-CNNPT 50-59 years, female 28.6
GTEX-1N2DV-1426-SM-DPRYQ 40-49 years, male 28.6
GTEX-13FHP-2426-SM-5KLZ5 50-59 years, male 28.5
GTEX-14AS3-1126-SM-5Q5CR 40-49 years, female 28.5
GTEX-14H4A-1926-SM-5ZZWN 40-49 years, female 28.5
GTEX-1AX8Z-2726-SM-73KUC 60-69 years, male 28.5
GTEX-1I6K6-1826-SM-B2LX5 30-39 years, male 28.5
GTEX-14PKV-2126-SM-664O3 20-29 years, female 28.4
GTEX-1CAMR-0926-SM-7MXTD 20-29 years, male 28.4
GTEX-1JN76-1226-SM-C1YRM 20-29 years, female 28.4
GTEX-14DAR-1526-SM-5RQIX 50-59 years, male 28.3
GTEX-14ICL-1226-SM-5S2RD 30-39 years, male 28.3
GTEX-ZV7C-1526-SM-5NQ72 50-59 years, male 28.3
GTEX-1HCU7-2626-SM-C1YQO 50-59 years, male 28.3
GTEX-15UF6-2626-SM-6M466 70-79 years, female 28.2
GTEX-R55D-1826-SM-48FEF 50-59 years, male 28.2
GTEX-ZLV1-1226-SM-4WWBX 60-69 years, female 28.2
GTEX-ZYVF-2826-SM-5GIDK 50-59 years, female 28.2
GTEX-1HKZK-2126-SM-A9SL3 40-49 years, male 28.2
GTEX-147F3-1926-SM-5SIB9 50-59 years, female 28.1
GTEX-16XZZ-2626-SM-6M47S 60-69 years, male 28.1
GTEX-U3ZN-2126-SM-4DXU1 30-39 years, female 28.1
GTEX-WYJK-2226-SM-4ONDJ 50-59 years, male 28.1
GTEX-Y8LW-1226-SM-4WWDP 50-59 years, female 28.1
GTEX-1IDJC-1326-SM-CL53H 50-59 years, male 28.1
GTEX-1JKYN-2326-SM-CGQG7 30-39 years, male 28.1
GTEX-1LVAM-1626-SM-EV79Y 50-59 years, female 28.1
GTEX-12KS4-2426-SM-5LU8P 30-39 years, male 28.0
GTEX-O5YW-1426-SM-3MJHF 50-59 years, male 27.9
GTEX-Y3IK-1826-SM-4WWDS 50-59 years, female 27.9
GTEX-OIZF-1426-SM-2HML2 60-69 years, male 27.9
GTEX-13VXT-2426-SM-5LU46 20-29 years, female 27.8
GTEX-14PJ5-0926-SM-6LLIK 60-69 years, female 27.8
GTEX-Z93S-2426-SM-5HL8N 50-59 years, male 27.8
GTEX-1HSEH-1726-SM-B2LXH 60-69 years, male 27.8
GTEX-1HSGN-2626-SM-CE6S1 40-49 years, female 27.8
GTEX-1JMPZ-2426-SM-C1YQP 30-39 years, male 27.8
GTEX-OXRO-0726-SM-E9U4C 60-69 years, female 27.8
GTEX-139T6-1326-SM-5IFFO 50-59 years, male 27.7
GTEX-1F5PK-1926-SM-7MXT7 50-59 years, male 27.7
GTEX-OHPN-2026-SM-E9TIA 60-69 years, female 27.7
GTEX-1KANC-0926-SM-D3LA9 50-59 years, female 27.6
GTEX-15CHQ-2526-SM-6EU24 60-69 years, male 27.5
GTEX-Q2AH-1226-SM-48TZL 40-49 years, male 27.5
GTEX-WFG7-1526-SM-4LVMG 20-29 years, male 27.5
GTEX-ZP4G-1726-SM-4WWCM 20-29 years, female 27.5
GTEX-ZPIC-2226-SM-57WDX 40-49 years, female 27.5
GTEX-PSDG-1826-SM-EAZ2S 50-59 years, male 27.5
GTEX-16MT8-2726-SM-7IGLJ 60-69 years, female 27.4
GTEX-17JCI-2626-SM-7EWE6 60-69 years, female 27.4
GTEX-XAJ8-0426-SM-47JYJ 40-49 years, male 27.4
GTEX-ZEX8-1926-SM-4WKFR 50-59 years, male 27.4
GTEX-1JJ6O-2426-SM-ARU8J 60-69 years, male 27.4
GTEX-1MCC2-1626-SM-DIPEW 30-39 years, female 27.4
GTEX-11I78-1226-SM-5A5K6 50-59 years, female 27.3
GTEX-12ZZZ-2426-SM-5GCNN 60-69 years, male 27.3
GTEX-14JIY-3326-SM-6871E 60-69 years, male 27.3
GTEX-1H1DG-2226-SM-9WPPC 70-79 years, male 27.3
GTEX-1128S-1626-SM-5H12O 60-69 years, female 27.2
GTEX-11TTK-2426-SM-5PNYO 60-69 years, female 27.2
GTEX-13D11-0826-SM-5KLZJ 50-59 years, female 27.2
GTEX-13O3P-2326-SM-5KM55 50-59 years, male 27.2
GTEX-15CHR-1426-SM-7DUGV 50-59 years, male 27.2
GTEX-XGQ4-1226-SM-4AT67 50-59 years, male 27.2
GTEX-1LG7Z-1426-SM-CXKYV 30-39 years, male 27.2
GTEX-131XE-0826-SM-5HL9W 50-59 years, male 27.1
GTEX-S7SF-1926-SM-4AT5B 20-29 years, female 27.1
GTEX-TKQ1-0626-SM-4DXTS 30-39 years, male 27.1
GTEX-XQ8I-2126-SM-4BOOM 50-59 years, male 27.1
GTEX-1GPI7-1726-SM-7P8R1 20-29 years, male 27.0
GTEX-11DXZ-1726-SM-5H12M 50-59 years, male 26.9
GTEX-VJYA-2026-SM-4KL1K 60-69 years, male 26.9
GTEX-WHWD-1226-SM-4OOS1 50-59 years, male 26.9
GTEX-13O3O-2526-SM-5L3DR 60-69 years, female 26.8
GTEX-1A3MV-1126-SM-718BS 30-39 years, male 26.8
GTEX-1CAMS-2526-SM-7EPH7 40-49 years, female 26.8
GTEX-QLQW-0426-SM-447A7 30-39 years, male 26.8
GTEX-WYVS-1826-SM-4OND6 40-49 years, female 26.8
GTEX-1LVAN-2526-SM-CNPPC 50-59 years, female 26.8
GTEX-12C56-0626-SM-5EGGC 20-29 years, male 26.7
GTEX-16NGA-1026-SM-7KFS3 40-49 years, female 26.7
GTEX-ZY6K-1226-SM-5GZYL 50-59 years, male 26.7
GTEX-W5WG-2426-SM-4LMI6 50-59 years, female 26.6
GTEX-1R9K5-2126-SM-E8VN1 50-59 years, male 26.6
GTEX-13FTW-1826-SM-5IJEN 40-49 years, male 26.5
GTEX-13PVR-1626-SM-73KVF 60-69 years, female 26.5
GTEX-1S3DN-1826-SM-EV79K 50-59 years, male 26.5
GTEX-111VG-2226-SM-5N9DU 60-69 years, male 26.4
GTEX-14BMV-2426-SM-5S2PP 50-59 years, male 26.4
GTEX-14JG6-1726-SM-69LPL 30-39 years, female 26.4
GTEX-ZF29-1726-SM-4WKFV 60-69 years, female 26.4
GTEX-1QCLZ-1926-SM-E6CR3 60-69 years, female 26.4
GTEX-1CB4I-2226-SM-7P8SL 50-59 years, male 26.3
GTEX-1JKYR-1926-SM-C1YR7 20-29 years, male 26.3
GTEX-14ICK-1026-SM-6AJA4 40-49 years, male 26.2
GTEX-16NPV-2626-SM-6M484 50-59 years, female 26.2
GTEX-133LE-1526-SM-5IFEN 20-29 years, female 26.1
GTEX-1399U-1926-SM-5IFH7 50-59 years, female 26.1
GTEX-14C5O-2526-SM-73KU2 60-69 years, male 26.1
GTEX-OXRK-1726-SM-3NB16 50-59 years, female 26.1
GTEX-PWCY-1026-SM-48TD4 20-29 years, female 26.1
GTEX-XBED-1526-SM-4AT5W 60-69 years, male 26.1
GTEX-ZVP2-1526-SM-5NQ82 50-59 years, male 26.1
GTEX-1J1R8-1126-SM-CNPQ3 40-49 years, male 26.1
GTEX-1K9T9-2826-SM-D4P3F 50-59 years, female 26.1
GTEX-11DXX-1826-SM-5H126 60-69 years, female 26.0
GTEX-1399S-1926-SM-5J2M5 30-39 years, female 26.0
GTEX-XUZC-1326-SM-4BRV2 30-39 years, female 26.0
GTEX-YB5E-1626-SM-5IFIQ 40-49 years, male 26.0
GTEX-1EMGI-2726-SM-7P8S4 60-69 years, male 26.0
GTEX-1GMR3-2826-SM-9WPOG 40-49 years, male 26.0
GTEX-1QCLY-1726-SM-DPRXY 30-39 years, male 26.0
GTEX-17KNJ-1726-SM-7LG6A 50-59 years, male 25.9
GTEX-XV7Q-2126-SM-4BRVX 40-49 years, female 25.9
GTEX-1H1DE-1526-SM-ARL9B 20-29 years, male 25.9
GTEX-1LH75-2126-SM-EVR5F 50-59 years, female 25.9
GTEX-1122O-1526-SM-5N9CL 60-69 years, female 25.8
GTEX-1GZ4H-1226-SM-9KNUA 50-59 years, female 25.8
GTEX-T5JW-1126-SM-4DM5V 20-29 years, female 25.7
GTEX-1IDJU-2026-SM-A9SLM 60-69 years, female 25.7
GTEX-12WSJ-1526-SM-5GCNI 40-49 years, female 25.6
GTEX-Y8E4-2426-SM-4WWDN 40-49 years, male 25.6
GTEX-1NSGN-2326-SM-E9U5X 50-59 years, male 25.6
GTEX-1B8KE-1926-SM-731EE 50-59 years, male 25.5
GTEX-R55G-1226-SM-48FDC 40-49 years, female 25.5
GTEX-ZAB4-2226-SM-5HL97 40-49 years, male 25.5
GTEX-146FQ-1926-SM-5NQBY 30-39 years, male 25.4
GTEX-1I4MK-1126-SM-B2LWS 50-59 years, female 25.4
GTEX-1RAZA-1726-SM-DPS13 20-29 years, male 25.4
GTEX-SNMC-1126-SM-4DM5M 20-29 years, male 25.3
GTEX-SNOS-1226-SM-4DM5H 40-49 years, male 25.3
GTEX-ZPU1-1926-SM-57WDT 40-49 years, male 25.3
GTEX-13OVG-1426-SM-5K7VP 60-69 years, male 25.2
GTEX-13OW6-2126-SM-5N9GL 50-59 years, male 25.2
GTEX-13W3W-2126-SM-5K7UX 60-69 years, female 25.2
GTEX-PWN1-1426-SM-48TDF 40-49 years, female 25.2
GTEX-ZTSS-1126-SM-5985O 40-49 years, male 25.2
GTEX-1NHNU-2326-SM-E6CQE 50-59 years, male 25.2
GTEX-1POEN-2026-SM-E6CRL 30-39 years, female 25.2
GTEX-132AR-2726-SM-5PNVN 50-59 years, female 25.1
GTEX-1AMFI-1726-SM-7189L 50-59 years, female 25.1
GTEX-Y114-1526-SM-4TT79 50-59 years, female 25.1
GTEX-18D9U-1926-SM-7KFTM 40-49 years, male 25.0
GTEX-1B996-2626-SM-73KZ1 60-69 years, male 25.0
GTEX-1F75B-2726-SM-7P8QO 50-59 years, male 25.0
GTEX-OIZH-1426-SM-3NB1O 50-59 years, male 24.9
GTEX-1PIGE-1426-SM-E9U61 20-29 years, male 24.9
GTEX-117YX-0826-SM-5H11J 50-59 years, male 24.8
GTEX-147GR-2726-SM-664OO 60-69 years, male 24.8
GTEX-X15G-1326-SM-4PQZJ 50-59 years, female 24.8
GTEX-ZDTT-1926-SM-5HL5W 60-69 years, male 24.8
GTEX-11O72-2226-SM-5PNW2 40-49 years, male 24.7
GTEX-13QJ3-2626-SM-9OSXQ 50-59 years, male 24.7
GTEX-14XAO-2026-SM-69LOI 60-69 years, female 24.6
GTEX-15RIF-1326-SM-6LPKO 20-29 years, male 24.6
GTEX-SE5C-1526-SM-4BRWU 40-49 years, female 24.5
GTEX-1F75I-2426-SM-9WPOY 40-49 years, male 24.5
GTEX-15DCE-2026-SM-7KUFE 20-29 years, male 24.4
GTEX-11NSD-1626-SM-5986U 20-29 years, male 24.3
GTEX-144GL-2526-SM-5TDDL 50-59 years, male 24.3
GTEX-P4PP-1426-SM-3NM9L 30-39 years, female 24.3
GTEX-S4UY-0826-SM-4AD4Z 40-49 years, female 24.3
GTEX-1IKK5-2726-SM-CNPQ6 60-69 years, male 24.3
GTEX-1N2EF-1926-SM-DTX8M 60-69 years, male 24.3
GTEX-13PL7-2526-SM-5IFGR 60-69 years, female 24.2
GTEX-1MGNQ-2026-SM-EAZ51 40-49 years, male 24.2
GTEX-139YR-2126-SM-5KM11 50-59 years, male 24.1
GTEX-14PHX-1526-SM-68717 50-59 years, male 24.1
GTEX-15SB6-1226-SM-7KUMP 50-59 years, female 24.1
GTEX-1AMEY-1926-SM-73KVT 30-39 years, female 24.1
GTEX-Q2AI-0926-SM-48U1F 40-49 years, male 24.1
GTEX-13OVJ-1726-SM-5IJDZ 50-59 years, female 24.0
GTEX-145LS-2726-SM-5Q5D8 60-69 years, female 24.0
GTEX-145MN-1726-SM-5SIA6 30-39 years, male 24.0
GTEX-1H11D-2626-SM-9JGH4 40-49 years, male 24.0
GTEX-1JMPY-0426-SM-C1YQ3 30-39 years, male 24.0
GTEX-1CB4F-2026-SM-79OLU 60-69 years, male 23.9
GTEX-QDVJ-1326-SM-48U1X 50-59 years, male 23.9
GTEX-12BJ1-2126-SM-5BC5O 60-69 years, male 23.8
GTEX-1H1E6-1926-SM-9OSWD 30-39 years, male 23.8
GTEX-1KXAM-2126-SM-CY8I9 60-69 years, male 23.8
GTEX-QV31-0826-SM-CKZNC 30-39 years, male 23.8
GTEX-17EVQ-1826-SM-7IGPH 70-79 years, male 23.7
GTEX-S3XE-1126-SM-4AD4N 50-59 years, male 23.6
GTEX-1JJE9-2426-SM-D3L8T 70-79 years, male 23.6
GTEX-ZF2S-1926-SM-4WWAN 50-59 years, female 23.5
GTEX-1QP67-1326-SM-EAZ4D 40-49 years, female 23.5
GTEX-XMK1-1726-SM-4B64Z 40-49 years, male 23.4
GTEX-18A66-2426-SM-7KFSQ 60-69 years, male 23.3
GTEX-R53T-1326-SM-48FCQ 50-59 years, female 23.2
GTEX-ZDYS-2326-SM-4WKG6 50-59 years, male 23.2
GTEX-1EH9U-2026-SM-7PBYS 60-69 years, male 23.2
GTEX-11P7K-1526-SM-5EGI7 30-39 years, male 23.1
GTEX-14PK6-1726-SM-6871J 70-79 years, female 23.1
GTEX-17HHE-1826-SM-79OKE 50-59 years, male 23.1
GTEX-ZPCL-1826-SM-57WF1 60-69 years, female 23.1
GTEX-ZXES-1626-SM-5NQ7L 30-39 years, female 23.1
GTEX-1JK1U-1526-SM-AHZ46 60-69 years, male 23.1
GTEX-11VI4-1526-SM-5EQKC 40-49 years, female 23.0
GTEX-13OVK-0826-SM-7KULZ 40-49 years, male 23.0
GTEX-1F5PL-2126-SM-7PC2O 40-49 years, female 23.0
GTEX-QMRM-1226-SM-447C6 50-59 years, male 22.9
GTEX-1HSMP-2326-SM-D3L8R 70-79 years, male 22.9
GTEX-1AYCT-1826-SM-731EG 50-59 years, male 22.6
GTEX-15DYW-2326-SM-6PAMU 60-69 years, female 22.4
GTEX-1OKEX-1226-SM-DTXEC 60-69 years, male 22.4
GTEX-1RAZR-1926-SM-E6CRF 40-49 years, male 22.4
GTEX-16AAH-1326-SM-7KFRG 50-59 years, male 22.2
GTEX-R45C-2126-SM-EZ6KZ 60-69 years, female 22.0
GTEX-11P82-1026-SM-5BC5J 20-29 years, male 21.9
GTEX-18D9A-1126-SM-7KFRJ 30-39 years, female 21.9
GTEX-ZG7Y-2126-SM-DO117 50-59 years, male 21.9
GTEX-131XG-1826-SM-5LZV4 50-59 years, female 21.8
GTEX-14BMU-1526-SM-5TDE6 20-29 years, female 21.8
GTEX-QDVN-1326-SM-48TZ3 50-59 years, male 21.8
GTEX-S4Q7-0826-SM-4AD5E 20-29 years, male 21.8
GTEX-1ICLZ-2426-SM-CKZOD 60-69 years, male 21.8
GTEX-1B932-2826-SM-73KUD 40-49 years, female 21.6
GTEX-1IOXB-2626-SM-CJI2N 50-59 years, male 21.6
GTEX-1MA7W-0626-SM-EV79Z 20-29 years, female 21.6
GTEX-1R9JW-2026-SM-EAZ4O 30-39 years, female 21.6
GTEX-1H3VY-2426-SM-9WPPD 50-59 years, male 21.5
GTEX-1LGOU-1626-SM-D3LAK 20-29 years, female 21.4
GTEX-WHSB-0926-SM-4M1XJ 50-59 years, male 21.3
GTEX-ZLWG-1726-SM-DNZZ2 50-59 years, female 21.3
GTEX-15RIE-1826-SM-6M48P 60-69 years, male 21.2
GTEX-1PIEJ-2026-SM-E6CPA 20-29 years, female 21.2
GTEX-WVJS-2426-SM-EZ6LI 50-59 years, male 21.2
GTEX-U4B1-1126-SM-4DXV3 40-49 years, male 21.1
GTEX-ZZ64-0726-SM-5GZX4 20-29 years, male 21.1
GTEX-ZGAY-2126-SM-4YCFB 40-49 years, female 20.7
GTEX-13X6H-1926-SM-7EWD3 50-59 years, female 20.6
GTEX-1HFI7-1726-SM-A9G22 50-59 years, female 20.4
GTEX-O5YT-1426-SM-3MJHC 20-29 years, male 20.2
GTEX-17F98-1026-SM-7IGO8 40-49 years, female 19.4
GTEX-1C475-1626-SM-731FP 40-49 years, female 19.4
GTEX-13CF3-1426-SM-5K7YY 60-69 years, female 19.3
GTEX-144GN-1126-SM-5LU33 50-59 years, male 18.9
GTEX-1QPFJ-2326-SM-E6CR7 30-39 years, female 18.8
GTEX-111CU-1426-SM-5GZYP 50-59 years, male 18.7
GTEX-1JN1M-2626-SM-CY8I3 60-69 years, female 18.5
GTEX-1IKOE-2026-SM-AHZ31 30-39 years, female 17.4
GTEX-1J1OQ-2726-SM-AHZ3R 40-49 years, female 17.4
GTEX-11EM3-1526-SM-5A5KN 20-29 years, female 17.3
GTEX-117YW-1826-SM-5PNY5 50-59 years, male 17.2
GTEX-11TT1-1026-SM-5PNW7 20-29 years, male 16.2
GTEX-144GM-1226-SM-5LU52 20-29 years, male 15.8
Show allShow less

COLON - FANTOM5 CAGEi

RNA expression in human tissues obtained through Cap Analysis of Gene Expression (CAGE) generated by the FANTOM5 project are reported as Scaled Tags Per Million.

Max Scaled Tags Per Million 52.0
FANTOM5 sample id Sample description Scaled Tags Per Million
Colon
Scaled Tags Per Million: 52.0
FF:10014-101C5 62,83,84 years, mixed 52.0

Contact

  • NEWS ARTICLES
  • PRESS ROOM

The Project

  • INTRODUCTION
  • ORGANIZATION
  • PUBLICATIONS

The Human Protein Atlas

  • DOWNLOADABLE DATA
  • LICENCE & CITATION
  • HELP & FAQ
The Human Protein Atlas project is funded
by the Knut & Alice Wallenberg Foundation.


contact@proteinatlas.org